What is an example of a bacteria that can cause granulomatous hepatitis?
Mycobacteria
Name the process that is occuring below:

Cholestatic liver disease
Name the plant below:
i) Describe the pathogenesis of a cow with cholestasis after grazing on this plant
ii) any other lesions that might be seen?

Lantana Camara toxin
i. ) contains triterpenes A and B –> inhibition of bile secretory mechanisms in hepatocytes –> cholestasis
ii. ) jaundice, photosensitisation, swollen-yellow orange gall bladder is seen
You are called out to a farm and you see some dead jaundiced sheep lying around. The farmer tells you they have been consuming perrenial ryegrass and he suspects they died of a toxin. On necropsy you have the following findings below.
i. ) describe symtoms seen
ii. ) suggest a possible toxin that could be responsible for the lesion

i)
gross: jaundice and photosensitisation, bile stained (orange) liver, atrophy and fibrosis. Especially of the left lobe –> boxing glove appearance
histopathology: cholangitis + necrosis of biliary epithelium w/cholestasis + dilated bile ducts
ii) Mycotoxin produced by fungus pithomyces chartarum
What is the cause of secondary (type III) photosensitisation?
hepatic dysfunction or biliary obstruction –> impairs excretion of phylloerythrin (from chlorophyll)
What is inflammation centered on the bile ducts called?
Cholangitis
What is the likely cause of bacterial cholangitis?
result of ascending bacterial infection
What is the likely cause of lymphocytic cholangtis?
probably immune mediated
What are some potential causes of destructive cholangitis?
ideopathic or drug reaction to sulfonamides
Name the parasitic agent responsible for the pathology seen below and name the condition:

Fascioliasis - thinking fasicola hepatica (Aus)
biochemical finding = hypoalbuminaemia
Name a toxin that could result in the pathology that is shown below:
a. Explain the pattern that would be seen histologically
b. Explain why this particularly pattern is observed
c. Explian why megakaryocytes are seen

Pyrrolizidine alkaloids
a. Centrilobular necrosis
b. contain the p450 enzyme that metabolises the alkaloids into a toxin
c. Prevents cell division but cells continue DNA synthesis –> megalocytic hepatocytes
For the image below:
a. ) Name the disease
b. ) The toxin
c. ) The bacteria that produced it

a. ) Lupinosis
b. ) Phompsin
c. ) Diaporthe toxica
For the image below:

Explain the pathogenesis of a congenital portosystemic shunt and provide an example of one other clinical sign that may result:
Is a intrahepatic shunt more common in large or small breed dogs?
predominantely large breed dogs
Is an extrahepatic shunt more common in large of small breed dogs and is it more or less common than intraheaptic?
More common than intrahepatic. Predominantly seen in small-breed dogs and cats.
What are the three main causes of portal hypertension? Provide an example of each.
What is the main consequnece of portal hypertension?
Developement of acquired portosystemic shunts
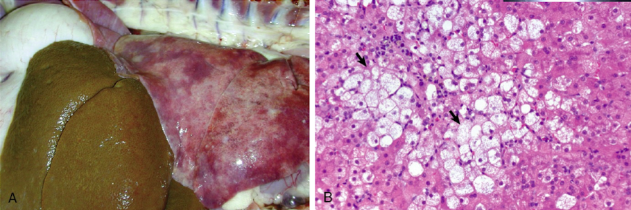
Name the condition that is shown below and provide an example of a potential cause:

Hepatic lipidosis - caused by excessive mobilisation of triglycerides from adipose tissue
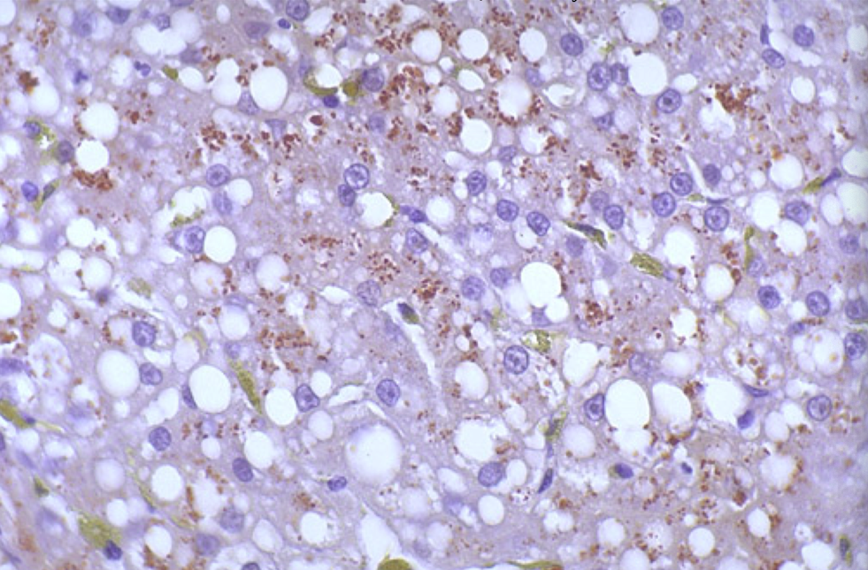
Name the condition that is shown below and provide an example of a condition that could have caused it:

Glycogen accumulation in liver occurs with diabeties mellitus, glucocorticoid-induced in dogs
Name the condition that is occuring below:

Copper accumulation
What are the stages that are involved in copper toxicosis in sheep?
Describe the histopathology seen in chronic copper toxicosis in sheep:
Centrilobular hepatocellular necrosis and renal tubular necrosis