Describe the appearance of the carnivore and horse kidney:
Unilobar/unipyramidal
Describe the appearance of the cow/pig kidney:
multilobar/multipyramidal (only cows have external lobulation)
What is the function of the filtration apparatus (glomerulus and Bowman’s capsule)?
filtration of plasma
What is the function of the proximal tubules?
Reabsorption of Na, Cl, K, albumin, glucose, water and bicarbonate
What is the function of the loop of Henle?
Countercurrent mechanism and Na/K+ ATPase pumps, reabsorbs Na and Cl producing hypotonic solution moves into DCT
What is the function of the distal convoluted tubules?
water reabsorption via solute gradient (hypotonic in tubules, iso/hypertonic in interstitium) and ADH effects
Fill the blanks in below:


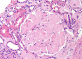
Name the pathology that is shown in the glomerulus below:

Amyloidosis
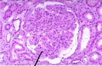
Name the pathology that is occuring on the glomerulus below:

glomerular hyperplasia
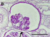
Name the pathology that is occuring in the glomeruli below:

Glomerular atrophy
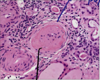
Name the pathology that is occuring below:

fibrosis of the glomerular tuft
What is azotaemia?
intravascular accumulation of nitrogenous waste products
What is uraemia?
large amount of urea in the blood
What percentage of renal tissue must be non-functional before azotaemia and overt clinical signs of renal disease will occur?
70-75% of kidney
What pathologic effects are seen with a loss of 70-80% of renal nephrons?
i. Retention of nitrogenous wastes (decrease GFR) = aoztaemia and uremia (GFR ~ 5% of normal
ii. Decreased concentrating ability - PU/PD
iii. Failure of biochemical homestasis - acid base and electrolyte disturbances
iv. disturbances in endocrine function: decrease vitamin D and EPO
Compare acute renal failure to chronic renal failure considering:
i. Appearance of the kidneys
ii. Serum biochemistry findings
iii. How the prognosis varies between the two

Explain how kindey disease can lead to infarction of a variety of tissues:
Explain how renal damage can cause stomatitis and gastritis:
How does renal damage cause hypoplastic anaemia?
How does kidney disease cause fibrous osteodystrophy?
Name the condition that is shown below:

Renal dysplasia
What species is primary neoplasia common in?
Budgerigar
What is an example of a primary renal tumour?
Nephroblastoma: pigs and chickens
Renal carcinoma: Dogs, cattle and sheep
Bilateral renal lymphoma: Cats
What are the two ways that infectious glomerulitis occur?