Lecture 3 Flashcards

(17 cards)

1
Q

the higher the anatomic number means what?

A

the more the absroption whih leads to w whiter image

How well did you know this?
1
Not at all
2
3
4
5
Perfectly
2
Q

why can’t you see the heart chambers as well as the blood inside the chambers on a radiograph?

A

fluid is the same opacity as soft tissue so you can’t see the fluid in the heart or like an abscess in the liver, etc

How well did you know this?
1
Not at all
2
3
4
5
Perfectly
3
Q

what is a silhouette sign?

A

as similar adjacent tissue types are exposed, we are unable to differentiate their edges

How well did you know this?
1
Not at all
2
3
4
5
Perfectly
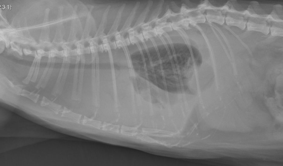
4
Q

why can’t you see the heart in this radiograph?

A

it sppears the lungs are now the same opacity as the heart (lungs are full of fluid) leading to effacement

How well did you know this?
1
Not at all
2
3
4
5
Perfectly
5
Q

what are the anatomical landmarks for a thoracic radiograph?

A

the thoracic inlet, and all of the diaphram and then some

How well did you know this?
1
Not at all
2
3
4
5
Perfectly
6
Q

what are the anatomical landmarks for an abdominal radiograph?

A

the diaphram until the end of the pelvis

How well did you know this?
1
Not at all
2
3
4
5
Perfectly
7
Q

if youre doing a radiograph of a joint what landmarks should you use?

A

have the joint the center, and extend until the mid diaphysis above and below the joint

How well did you know this?
1
Not at all
2
3
4
5
Perfectly
8
Q

if you’re taking a radiograph of a bone, what are you landmarks for collomation?

A

include the joint above and below the joint

How well did you know this?
1
Not at all
2
3
4
5
Perfectly
9
Q

how many views do you need of the skull?

A

4 is the standard may need 6, but for skulls CT is best

How well did you know this?
1
Not at all
2
3
4
5
Perfectly
10
Q

how many views do you need for the thorax?

A

2, a lateral and a VD or DV

How well did you know this?
1
Not at all
2
3
4
5
Perfectly
11
Q

if you are checking for metastasis in the lungs/chest, how many views do you need?

A

3, both laterals and a VD/DV

How well did you know this?
1
Not at all
2
3
4
5
Perfectly
12
Q

for a cardiac eval, which views do you need?

A

a lateral and VD

How well did you know this?
1
Not at all
2
3
4
5
Perfectly
13
Q

if checking for heart failure, what views do you need for radiograph?

A

a lateral and a DV

How well did you know this?
1
Not at all
2
3
4
5
Perfectly
14
Q

why can you only see the the lung masses in the DV radiograph and not in the VD radiograph?

A

on the VD, the dorsal lung is against the table and has become (dependent), meaing it’s been squished and is no longer full of air. This makes it appear as soft tissue rather than air, and the soft tissue masses are effeced and do not show up. On the DV, the ventral lung has now become squished and the dorsal lung is airated, making it a different opacity than the lung masses so they appear on the radiograph.

How well did you know this?
1
Not at all
2
3
4
5
Perfectly
15
Q

how many views do you need for an admoninal ?

A

2 is minimum (one lateral and VD/DV)
3 is best

How well did you know this?
1
Not at all
2
3
4
5
Perfectly
16
Q

when doing a radigraph of the limb, how many views do you need?

A

2 views are usually enough to diagnose, BUT for cuboidal joints like the carpus and tarsus 2 views may not be enough, best practice for these joints is 4 views especially in large animal (sometimes for equine 8 views may be needed)

17
Q

whichever structure is ______ to the plate will move in the same direction as the generator