MSK 1 Flashcards

(41 cards)

1
Q

why do we want to use high exposure with MSK rads? how can you accentuate this?

A
  • because bone is high in density we need the high contrast/exposure
  • can be accentuated with a low kVP
How well did you know this?
1
Not at all
2
3
4
5
Perfectly
2
Q

in large animal, where is the marker placed for MSK rads?

A

lateral or dosal/cranial

How well did you know this?
1
Not at all
2
3
4
5
Perfectly
3
Q

what does cartilage look like on rads?

A

trick question: nothing! it shows up as black space because of it’s high water content

How well did you know this?
1
Not at all
2
3
4
5
Perfectly
4
Q

in regards to terminology, the switch from cranial to dorsal happens at which joint?

A

the carpus/tarsus

How well did you know this?
1
Not at all
2
3
4
5
Perfectly
5
Q

why would you take a rotated lateral pelvis view rad?

A

to differentiat where lesions are; sicne the acetabuli are usually superimposed, if there is pathology there, you want to slightly separate them to see where exactly the problem is

How well did you know this?
1
Not at all
2
3
4
5
Perfectly
6
Q

if a VD of the pelvis is taen properly, the medial aspect of the femur should line up/cross over with the

A

ischial tuberosity. the lesser trochanter of the femur shoud line up nicely with it!

How well did you know this?
1
Not at all
2
3
4
5
Perfectly
7
Q

what is the difference between the trochlear ridges and the chondyles?

A

the chondyles are the articular surface with the tibia, and the trochlear ridges articulate with the patella but not the tibia

How well did you know this?
1
Not at all
2
3
4
5
Perfectly
8
Q

if you look at a VD of the pevlis and the obturators look asymmetric, what does this tell you?

A

it means you need to retake the rad, you were probbaly a little bit oblique

How well did you know this?
1
Not at all
2
3
4
5
Perfectly
9
Q

how much of the femoral head should normally be “covered” by the acetabulum?

A

50% or greater

How well did you know this?
1
Not at all
2
3
4
5
Perfectly
10
Q

the interchondylar eminince of the tibia is where _____ inserts

A

the cruciates!!!

How well did you know this?
1
Not at all
2
3
4
5
Perfectly
11
Q

true or false: the absence of luxating patella on rads rules out luxating paella as a differential

A

false! just because the patella isn’t off midline and visibly luxating doesn’t mean the patient does not have luxating patella!

How well did you know this?
1
Not at all
2
3
4
5
Perfectly
12
Q

in small animal practice: if your radiographic focus is the bone, say the femur, what are your landmarks for the radiograph (aka how much should you include)

A

you sould center the image on the bone of interest, and include the joint proximal and distal to the joint

How well did you know this?
1
Not at all
2
3
4
5
Perfectly
13
Q

if your area of interest for the rad is a joint, what are your landmarks, aka, what should you include in the rad?

A

should be centered on the joint of interest, and include 1/3 of the adjacent diaphyses on either side of the joint, proximally and distally

How well did you know this?
1
Not at all
2
3
4
5
Perfectly
14
Q

please remember that romero said bones are twinkies and not oreos. please explain what he meant

A

on a rad it looks lke there’s just two cortices, when in reality the bone is cylindrical. just remember it’s not an oreo

How well did you know this?
1
Not at all
2
3
4
5
Perfectly
15
Q

what is an apophysis?

A

in young animals, a separate area of ossification, usually at sites of insertion for soft tissues

How well did you know this?
1
Not at all
2
3
4
5
Perfectly
16
Q

what is the periosteum?

A

the soft tissue covering the cortex of the bone

How well did you know this?
1
Not at all
2
3
4
5
Perfectly
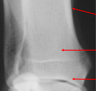
17
Q

use the red arrows to label the bone from top to bottom

A
  • epiphysis
  • physis
  • metaphysis
  • diaphysis
18
Q

what is the arrow pointing to?

A

an apophysis, a separate ossification center. this one is the tibial tuberosity

19
Q

label the bone types on this rad from top to bottom

A
  • cortical bone (cortex)
  • trabecular bone (medulla)
  • subchondral bone (on articular surfaces/joints)
20
Q

what is the top arrow pointing to?

A

a nutrient foramen

21
Q

what are the ABCD’S of reading the film of an MSK rad?

A
  • alginment
  • bone
  • cartilage
  • device
  • soft tissues
22
Q

the most notable fat pad is located in the

23
Q

should you be able to see cartilage normally on rads?

A

no! cartilag and joint fluid have similar opacity on radiographs and often will appear invisible because o the high water content

24
Q

why is sedation important for getting rads of fractures?

A

because motion unsharpness will lead to missed hairline fractures, esp with LA

25
what is the difference between chip fracture and a slab fracture?
a chip fracture is exactly what it sounds like, just a chip off a bone. a sab fracture goes through 2 joints, like when a peice of a glacier melts and falls of the main iceberg
26
if physical exam findings are highly suggestive of a fracture, but rads are not revealing, consider....
recheck rads in 7-10 days to allow some of the healing process to happen, which will make the fracture become more apparent/visible
27
yur fracture will only be visible if the beam is....
parallel to the fracture axsis. think of a big canyon or valley with walls on the side, and you want the beam to go right through the middle to be parallel with the valley/fracture
28
describe the healing physiolgoy fora fracture in each of these time points: - day 1 - 5-10 days - 10-20 days - more than 30 days - more than 3 months
day 1: sharp margins/good definition of fracture 5-10 days: margins soften (like a melting ice cube), and the fracture gap widens 10-20 days: callus formation, fracture narrows more than 30 days: fracture dissapears more than 3 months: continued remodelling, cortical shadow appears.
29
radiographs are sensitive for fractures, but not as sensitive as _____
nuclear scintigraphy
30
what are the advantages and disadvantages of nuclear scintigraphy used to detect a fracture?
- good: it is very sensitive for small fractures and will show colletion in areas of increased bone turnover - bad: it's not specific, it can't tell you what the fracture us or what kind of fracture, etc
31
bone healing depends on what 5 things?
- age (young animals heal faster) - location (areas with good or bad blood supply) - fracture type (comminuted vs simple) - stabilization (remember too much stability also bad) - concurrent disease mneumonic: a little fish ate cheese
32
what, according to romero, is the difference between primary and secondary bone healing ?
primary: good reduction of the fracture and good stabilization, little to no periosteal reaction secondary: there is a bridging callus that happens in 5 stages
33
briefly describe the 5 stages of radiographic bone healing
stage 1: sharp margins, well defined, soft tissue swelling usually present but can be variable stage 2: 5-10 days post fracture, resoprtion of the fracture margins, loss of sharp magination, widening of fracture gap stage 3: 10-20 days post fracture, formation of the endostal and periosteal callus, fracture gap decreases stage 4: more than 30 days post fracture, fracture lines dissapearing and callus remodelling stage 5: months after fracture, continued remodelling of the callus, cortical shadow, cortical remodelling alone lines of stress
34
what phase of bone healing is this and why?
stage 1-2: there are sharp fracture margins
35
what phase of bone healing is this and why?
stage 3: can see callus formation and the margins of the fracture become less sharp and more hazy
36
what phase of bone healing is this and why?
stage 4: there is remodelling, a thickened callus, and the gap is nearly closed
37
what stage of fracture healing is this and why?
stage 5, can't see the fracture anymore and the callus has been reduced almost completely
38
what are the 3 big "complications" with fracture healing?
- malunion - delayed union - non union
39
what is a bone sequestrum?
a non viable bone fragment, aka dead bone that has lost blood supply and will not heal, often becomes infected
40
in regards to a bone sequestrum, what is an involcrum, and what is a cloaca?
involcrum is the parent bone bed cloaca is the draining tract
41
true or false: bone sequestrums can't be sterile
false! it can be sterile. if there is a lack in blood supply, the bone fragment can die and become nonviable without an infection present