MSK 2 Flashcards

(51 cards)

1
Q

aggressive bone lesions are typcially the result of

A

neoplasia or osteomyelitis

How well did you know this?
1
Not at all
2
3
4
5
Perfectly
2
Q

list a few examples of nonaggressive bone lesions

A

osteoma, cartilaginous exostoses, enthesophytosis

How well did you know this?
1
Not at all
2
3
4
5
Perfectly
3
Q

what are some ways to differentiate between nonaggressive and aggresive bone lesions?

A
  • bone lysis
  • periosteal reaction
  • cortical integrity
  • zone of transition
How well did you know this?
1
Not at all
2
3
4
5
Perfectly
4
Q

if there is bone lysis present, what does this tell you about the type of bone lesion?

A

bone lysis usually happens with aggressive processes and suggests there is more bone destruction and prouction, HOWEVER, lysis does not always associated with an aggressive lesions

How well did you know this?
1
Not at all
2
3
4
5
Perfectly
5
Q

characterize the following into aggressive or nonaggressive bone lesions:
- cortical destruction
- periosteal reaction
- zone of transition

A

aggressive: cortical destruction, periosteal reaction is not smooth, zone of transition is not distinct
nonaggressive: no cortical destruction, no periosteal reaction, zone of transition is sharp

How well did you know this?
1
Not at all
2
3
4
5
Perfectly
6
Q

what 3 things classify an aggressive bone lesion?

A
  • cortical destruction
  • periosteal reaction
  • non distinct/long zone of transition
How well did you know this?
1
Not at all
2
3
4
5
Perfectly
7
Q

what 3 things classify a non aggressive bone lesion?

A
  • no cortical destruction
  • no periosteal reaction
  • sharp zone of transition
How well did you know this?
1
Not at all
2
3
4
5
Perfectly
8
Q

what are the 3 types of bone lysis?

A
  • geographic
  • moth eaten
  • permiative
How well did you know this?
1
Not at all
2
3
4
5
Perfectly
9
Q

what is the most aggressive type of lysis, and what is the least aggressive?

A

geographic<moth eaten<permiative

How well did you know this?
1
Not at all
2
3
4
5
Perfectly
10
Q

what does geographic bone lysis look like?

A
  • margins are well defined with clear demarcation of the adjacent normal bone
How well did you know this?
1
Not at all
2
3
4
5
Perfectly
11
Q

what kind of bone lysis is this and why? is this an aggressive or non aggressive bone lesion?

A

geographic: can see the well defined margins and you can easily tell the lytic bone from the adjacent normal bone. this is a subchondral bone cyst

a non aggressive bone lesion

How well did you know this?
1
Not at all
2
3
4
5
Perfectly
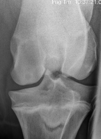
12
Q

what is the pathology seen here?

A

a sunchondral bone cyst, can see a little circle of radiolucency in the subchondral bone on the medial chondyle

How well did you know this?
1
Not at all
2
3
4
5
Perfectly
13
Q

subchondral cysts are seen in horses of what age? what joint are they most common in? What is their classic location?

A
  • seen in horses of any age
  • usually the stifle but can be any joint
  • seen most commonly in the weight bearing area of the medial femoral chondyle
How well did you know this?
1
Not at all
2
3
4
5
Perfectly
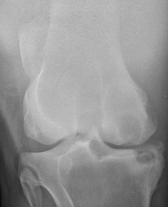
14
Q

what pathology is seen here?

A

a subchondral bone cyst. can see a round area of radiolucency on the medial chondyle

How well did you know this?
1
Not at all
2
3
4
5
Perfectly
15
Q

when would you see an INCREASE in the OPACITY of subchodnral bone?

A

with benign joint disease such as:
- degenerative joint disease
- sunchondral sclerosis seconday to chronic stress remodelling (like elbow dysplasia)

How well did you know this?
1
Not at all
2
3
4
5
Perfectly
16
Q

what type of bone lysis is seen here?

A

moth eaten lysis, can see multiple small geographic areas of lysis

How well did you know this?
1
Not at all
2
3
4
5
Perfectly
17
Q

what are some characteristic of permeative bone lysis?

A
  • it is not well defined
  • a long zone of transition to normal bone
How well did you know this?
1
Not at all
2
3
4
5
Perfectly
18
Q

what kind of bone lysis is this?

A

permeative. can see it is poorly defined and has a long zone of transition

How well did you know this?
1
Not at all
2
3
4
5
Perfectly
19
Q

a long zone of transition is associated with…

A

more aggressive bone diseases

How well did you know this?
1
Not at all
2
3
4
5
Perfectly
20
Q

what is a “periosteal reaction?”

A
  • when the periosteum is proliferating and mineralizing in response to normal bone injury and healing
  • the type of periosteal reaction you see happening can help you differentiate between aggressive vs non aggressive lesions
How well did you know this?
1
Not at all
2
3
4
5
Perfectly
21
Q

if the rate of bone destruction outweighs the rate of periosteal proliferation then…

A

you’ll see varying amounts of an abnormal periosteal bone response

22
Q

in general, the more solid and smoothly marginated the periosteal reaction…

A

the less aggressive the bone lesion

23
Q

why is it important to lassify the most aggressive periosteal response seen on a bone lesion?

A

because over time, a once aggressive lesion can look more normal and could appear non aggressive

24
Q

what are the 5 kinds of periosteal reaction in order from least aggressive to most aggressive?

A
  • solid
  • lamellated/onion skin
  • columnar/palisading
  • star burst
  • amorphus

mneumonic: some lions can swin anywhere

25
true or false: with a solid periosteal reaction, periosteal proliferation and mineralization far outweighs osteoclastic/resorptive activity
true
26
what kind of periosteal reaction is happening here?
solid
27
what is codmans triangle?
the mineralization of fibers underneath the periosteam where the periosteam cannot keep up with the level of bone destruction happening underneath of it
28
what type of periosteal reaction is this?
palisading. there is a strong periosteal response but no cortical destruction, and the perisoteum is not projecting outwards from the bone either. this is hypertrophic osteopathy.
29
what is hypertrophic osteopathy? what is it associated with?
generalized overproduction of the periosteum affecting the long bones of the extremities. it is associated with pulmonary neoplasia as well as non neoplastic lesions in the thorax and abdomen. HOWEVER it is not a neoplastic disease of the bone, aka, it is NOT metastatic disease!
30
what kind of periosteal reaction is this?
sunburst (he also said some palisading in here too but....honestly idk)
31
what kind of periosteal reaction is this?
amorphus: not defined, no structure, cortical destruction, bad news!!!
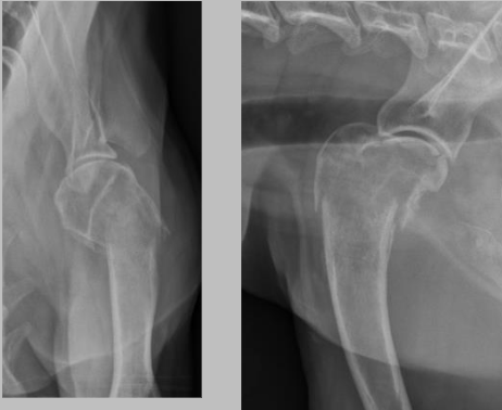
32
which is normal and which is abormal. what do you see here?
the one on the left is normal with a nice fat pad in the joint which appears more radiolucent than soft tissue orfluid. in the one on the right, there is joint effusion as seen by the increase in opacity where the fat pad should normally be, and the fat pad is displaced cranially.
33
it can be difficult to identify cruciate ligament injuy sometimes. What is sometimes the only radiographic finding?
joint fluid/effusion
34
other than joint effusion, what are some other radiographic signs of cruciate lig injury?
osteophyte formation and cranial displacement of the tibia
35
true or false: you can diagnose cruciate ligament injury based on radiographs.
false! you need to correlate findings with the physical exam of the patient, it is usually not a radiographic diagnosis
36
what are two general categories that can cause a decreased subchondral bone opacity?
osteochondrosis, inflammatory joint disease
37
briefly describe what osteochondrosis is
derrangement in endochondral ossification, leading to focal necrosis and ischemia, leading to chondromalacia. this soft bone can't support the cartilage. This forms flaps and even joint mice
38
if you suspect osteochondrosis and when you take a radiograph you don't see any areas of lucency in the sunchondal bone, can you exclude this disease?
no! just because there's not a lucency doesn't mean they don't have it! remember, cartilage is mostly water, so the only way you'll see this disease on rads is if the bone is moving WITH the cartilage!
39
osteochondrosis is common in
young growing large breed dogs and horses
40
what disease process is this?
osteochondrosis
41
septic arthritis often happens after...
a traumatic injury, or with vascular emboli via hematogenous spread
42
septic arthritis, if culture and sensitivity/arthrocentesis fails, you should...
take radiographs!!
43
what radiographic things will you see with septic arthritis?
- early on it will look normal - narrowing of the joint space-->loss of bone and cartilage integrity - soft tissue thickening and effusion OR effusion in the joint - subchondral bone lysis - gas may be present but this is rare
44
what pathology is seen here?
little gas bubbles near the joints-->septic arthritis!
45
what pathology is seen here? what periosteal response is this? if this were a horse, what would I be concerned about?
- sepatic arthritis in a cow - cows have a very aggressive osseous response to DJD as well as septic arthritis, as seen in this case - strong destructive/lytic and productive response seen in the distal interphalangeal joint - this is a palisading periosteal reaction - if this were a horse I would be worried about degernative joint disease
46
what is navicular disease?
a chronic progressive syndroe involving the navicular bone as well as many other structures in the foot. the precise souce of pain in navicular lameness is not known, and we think it is a biomechanical cause, not a vascular problem.
47
accoding to the textbook what are the 3 types of bone lysis?
Geographic: well defined Moth eaten: smaller foci of bone lysis Permeative: pinpoint lytic foci
48
true or false: rather than focusing on geographic, moth eaten, or permeative bone lysis, it’s better to focus on cortical integrity and the periosteal reaction to identify an aggressive bone lesion
true, the textbook says this
49
_______is the clue that the periosteal reaction is active
The presence of an irregular margin of the periosteum
50
the transition zone is evaluated where?
The transition zone is typically evaluated in the MEDULLARY CAVITY of the bone
51
true or false: a codmans triangle is usually associated with non aggressive lesions
false! it is associated with aggressive lesions