What structures are part of the limbic system? What are the associated structures of the limbic system?
THE LIMBIC SYSTEM
ASSOCIATED STRUCTURES

Identify the labeled structures.


What is Papez circuit?
PAPEZ CIRCUIT: was thought to be the principal anatomical substrate for emotion
Interconnection of these structures (see attached) is Papez ciurcuit. Damage to these structures leads to issues with emotion and behavior. Do not have to memorize each part of the circuit but be familiar with Papez name

Note that the thalamus forms fimbriae that then form the fornix. The fornix goes anteriorly and into the mammillary bodies of the hypothalamus and septal region in frontal cortex. Note that the amygdala is anterior to the hippocampus.

Subsequent studies (after Papez circuit discovery) have put much more emphasis on the _____ and ____ ____as the substrates for emotion, drives and addictive behavior.
Subsequent studies have put much more emphasis on the amygdala and basal forebrain/ventral striatum (nucleus accumbens) as the substrates for emotion, drives and addictive behavior
Identify the numbered structures.


What are the functions of the limbic system?
What is the relationship of the limbic system to the hypothalamus?
The limbic system and associated structures are involved in:
The limbic system is one of the controllers of/inputs to the hypothalamus. The hypothalamus is an outflow pathway of the limbic system (particularly the amygdala). The hypothalamus is sometimes called the “head nucleus of the ANS” because of its outputs to the ANS. This represents the connection btwn autonomic responses to emotion
What is Kluver-Bucy syndrome? What is it due to?
BILATERAL ABLATION OF THE ANTERIOR TEMPORAL LOBES IN MONKEYS
WEIZKRANTZ (1956): the emotional effects could be attributed to ablation of the amygdala
What brain structure must be present and intact for fear conditioning to take place?
What is habituation?
Fear conditioning is prevented in animals with bilateral amygdala lesions. The amygdala is the critical structure necessary for fear conditioning to take place.
Note that most fears are learned and not innate.
If there is damage to the prefrontal cortex, still have this response (fear conditioning).
Fear conditioning is not creation of new pathway but modulation of already existent synaptic connections.
If start to present sound over and over with no shock (see attached pic), the mouse learns that sound does not mean shock. This is called habituation. Cortical structures are required for habituation. This is not forgetting but is learning of a new rule. Habituation inhibits the initial response (instilled from fear conditioning) to control the behavior.

Amygdala outputs control many of the manifestations of emotional behavior, especially via the hypothalamus and sympathetic activation.
attached is pg 90 of course notes

Where is the ventral tegmental area (VTA) located?
What structure within the limbic system does it synapse on? What NT does it release on this structure?
What NT is released from this structure after VTA activity?
Brain reward circuitry involves a dopaminergic pathway from the ventral tegmental area (VTA) (ventral midbrain) to the enkephalinergic neurons in the nucleus accumbens (ACC).
Pleasurable stimuli result in an increase in what NT? In what part of the brain?
Explain the effects of opiates on the VTA.
Anything that is expected to be pleasurable causes an increased release of dopamine in the ventral striatum (nucleus accumbens). Drugs that elevate dopamine may produce a strong pleasurable effect.
Opiates increase the activity of the dopamine (DA)-containing neurons of the VTA.
The VTA also responds to endogenous opiates. This is experienced as a “high” after completing pleasurable acitivies such as running, eating chocolate, drugs (effect in wanting to have more drugs is input of endogenous opiates on this structure. drugs also physically act here)

Attached pic:
Dopaminergic mesocortical and mesolimbic pathways originating in the ventral tegmental area (VTA, A10) of human. Note that these two dopaminergic pathways along with the dopaminergic nigrostriatal pathway all originate in the ventral midbrain. Note the strong projection to the nucleus accumbens.

What kind of dopamine receptors are present in the ventral striatum in man? What drug strongly activates these receptors?
Dopamine D3 receptors are concentrated in the nucleus accumbens (NA) in man. Cocaine strongly activates those dopamine receptors.

How is cerebral blood flow to the amygdala and orbital frontal cortex different in individuals with major depressive disorder?
Cerebral blood flow in the amygdala and orbital frontal cortex is elevated in patients with major depressive disorder (MDD) compared to controls. This suggests some aspects of depression are dependent upon the amygdala.

___\_ is a common manifestation of seizures arising from the limbic system, especially the amygdala.
FEAR is a common manifestation of seizures arising from the limbic system, especially the amygdala.
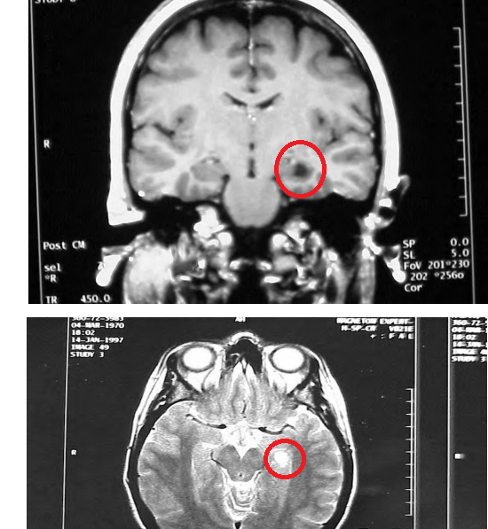
28 YOA FEMALE

What areas of the brain are the following disorders associated with?
addictive behavior
mood and anxiety disorders, major depression and PTSD
Alzheimer’s disease
memory disorders
Limbic seizures may include an aura of smell, an epigastric rising sensation, feeling of fear, and memory loss (such that pt is unaware/does not remember that they had a seizure).
State what parts of the brain are responsible for each of the above findings.
Epilepsy: especially complex partial seizures: limbic seizures may include an aura of smell (from the uncus) or an epigastric rising sensation (from the insula), or may include fear (suggesting activation of the amygdala) as a primary manifestation. Memory loss occurs following limbic seizures that involve the hippocampus, such that a patient may not know (remember) that he/she had a seizure