Linfadenites Flashcards

(107 cards)

1
Q

Verdadeiro ou Falso.
As células apresentadoras de antígeno circulam pelos linfonodos.

A

Verdadeiro.

How well did you know this?
1
Not at all
2
3
4
5
Perfectly
2
Q

Onde existem mais cadeias linfáticas?

A

Na região cervical, mediastinal, axilar, inguinal e retroperitoneal.

How well did you know this?
1
Not at all
2
3
4
5
Perfectly
3
Q

A gastrenterocolite aguda aumenta qual linfonodo?

A

Linfonodos mesentéricos.

How well did you know this?
1
Not at all
2
3
4
5
Perfectly
4
Q

O abscesso dentário aumenta qual linfonodo?

A

Linfonodos loco regionais cervicais.

How well did you know this?
1
Not at all
2
3
4
5
Perfectly
5
Q

A tuberculose aumenta qual linfonodo?

A

Linfonodos mediastinais.

How well did you know this?
1
Not at all
2
3
4
5
Perfectly
6
Q

Verdadeiro ou Falso.
O linfonodo não é um órgão do sistema de defesa monocítico fagocitário.

A

Falso.
O linfonodo é um órgão do sistema de defesa monocítico fagocitário.

How well did you know this?
1
Not at all
2
3
4
5
Perfectly
7
Q

As células do linfonodo são de qual linhagem?

A

Linhagem sanguínea (grupo dos glóbulos brancos).

How well did you know this?
1
Not at all
2
3
4
5
Perfectly
8
Q

Qual célula do grupo dos leucócitos (glóbulos brancos) está presente no linfonodo?

A

Linfócitos.

How well did you know this?
1
Not at all
2
3
4
5
Perfectly
9
Q

Verdadeiro ou Falso.
Os linfócitos B estão na região paracortical.

A

Verdadeiro ou Falso.
Os linfócitos B estão na região cortical.

How well did you know this?
1
Not at all
2
3
4
5
Perfectly
10
Q

Em que região do linfonodo encontramos os linfócitos T?

A

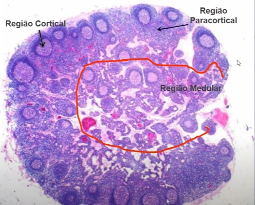
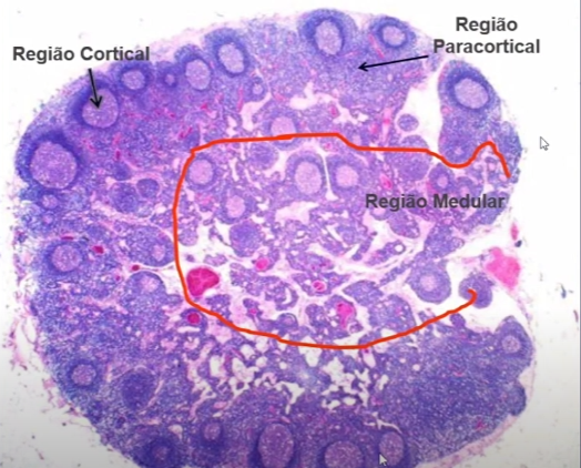
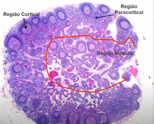
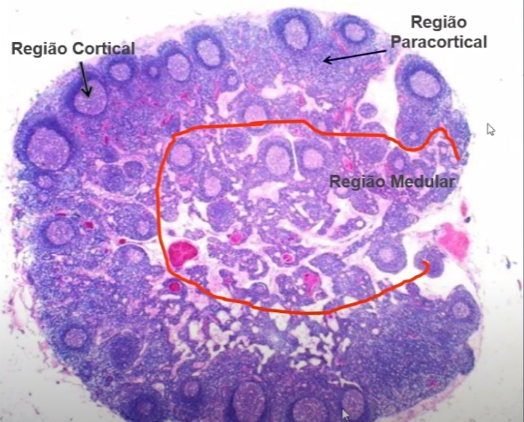
Na região paracortical.

How well did you know this?
1
Not at all
2
3
4
5
Perfectly
11
Q

Qual a região de saída dos linfonodos?

A

Região medular.

How well did you know this?
1
Not at all
2
3
4
5
Perfectly
12
Q

Verdadeiro ou Falso.
A região de entrada dos linfonodos é a região medular.

A

Falso.
A região de saída dos linfonodos é a região medular. A região de entrada são os linfáticos aferentes.

How well did you know this?
1
Not at all
2
3
4
5
Perfectly
13
Q

Qual a região de entrada dos linfonodos?

A

Linfáticos aferentes.

How well did you know this?
1
Not at all
2
3
4
5
Perfectly
14
Q

Quais células são encontradas na região medular do linfonodo?

A

Sinusóides, plasmócitos e macrófagos.

How well did you know this?
1
Not at all
2
3
4
5
Perfectly
15
Q

Qual o fluxo da linfa dentro do linfonodo?

A

Linfáticos aferentes -> Região Cortical -> Região Paracortical -> Região medular.

How well did you know this?
1
Not at all
2
3
4
5
Perfectly
16
Q

Verdadeiro ou Falso.
A área rósea clara na superfície externa do linfonodo é denominada centro germinativo.

A

Falso.
A área rósea clara na superfície externa do linfonodo é denominada cápsula fibrosa.

How well did you know this?
1
Not at all
2
3
4
5
Perfectly
17
Q

Como é chamada a estrutura arredondada e subcapsular encontrada na região externa do linfonodo?

A

Folículos linfóides da região cortical do linfonodo.

How well did you know this?
1
Not at all
2
3
4
5
Perfectly
18
Q

A região de hiperplasia linfóide dos folículos é denominada…

A

Centro germinativo.

How well did you know this?
1
Not at all
2
3
4
5
Perfectly
19
Q

Verdadeiro ou Falso.
Os folículos agregados sem centro germinativo são denominados secundários.

A

Falso.
Os folículos agregados sem centro germinativo são denominados primários.

How well did you know this?
1
Not at all
2
3
4
5
Perfectly
20
Q

Centro germinativo é característica de qual folículo linfóide?

A

Folículo secundário.

How well did you know this?
1
Not at all
2
3
4
5
Perfectly
21
Q

Uma neoplasia maligna do linfócito B centro folicular se iniciou aonde?

A

No centro germinativo do folículo secundário. (Região Cortical)

How well did you know this?
1
Not at all
2
3
4
5
Perfectly
22
Q

Linfoma B da célula do manto se iniciou aonde?

A

A partir de um linfócito específico.

How well did you know this?
1
Not at all
2
3
4
5
Perfectly
23
Q

Linfoma B da célula do manto se iniciou aonde?

A

A partir de um linfócito específico.

How well did you know this?
1
Not at all
2
3
4
5
Perfectly
24
Q

Linfoma B da zona marginal se iniciou aonde?

A

Por fora da zona do manto.

How well did you know this?
1
Not at all
2
3
4
5
Perfectly
25
Linfoma T se iniciou aonde?
A partir de uma célula do paracortex.
26
Centroblastos e Centrócitos estão presentes em qual folículo?
Folículo Secundário.
27
Células B sem estímulos antigênicos é característica de qual folículo linfóide?
Folículo Primário.
28
Verdadeiro ou Falso. Folículos secundários sofrem estímulo antigênico.
Verdadeiro.
29
Quais são as 2 células que compõem o folículo secundário?
Centrócito e centroblasto.
30
Verdadeiro ou Falso. Centrócito é a célula grande.
Falso. Centroblasto é a célula grande do folículo secundário.
31
O aspecto mais claro e menos denso do centro germinativo é característica de qual célula?
Centrócito.
32
Linfoma de célula centrofolicular é mais agressivo em células de centrócitos ou centroblastos?
Centroblastos.
33
Como é a organização do folículo linfóide secundário/
-Células Centro-Foliculares (Centrócito e centroblasto); -Células da zona do manto (linfócito do manto); -Células da zona marginal (linfócito B).
34
Verdadeiro ou Falso. Células da zona marginal do folículo secundário tem característica IgG.
Falso. Células da zona marginal do folículo secundário tem característica IgM.
35
Linfoma MALT no estômago e intestino delgado tem proliferação de linfócitos a partir de qual região?
A partir da zona marginal.
36
Verdadeiro ou Falso. Centrócitos e Centroblastos são tipos de linfócitos.
Verdadeiro.
37
Qual o tipo de linfócito T predominante na região paracortical?
Linfócito T CD4 ou pequenos linfócitos.
38
Verdadeiro ou Falso. Na região paracortical predomina os linfócitos T CD8 ou grandes linfócitos.
Falso. Na região paracortical predomina os linfócitos T CD4 ou pequenos linfócitos.
39
A região dos cordões medulares é rica em qual célula?
Plasmócitos.
40
Qual o tipo de resposta dada pelo plasmócito (linfócito B maduro especializado).
Resposta humoral.
41
O que é o corpúsculo de Russel?
Plasmócito repleto de imunoglobulina. Transformado em um glóbulo hialino (degeneração hialina intracelular).
42
Qual o fluxo da linfa nos seios linfonodais?
Linfático aferente -> Seio Subcapsular (córtex) -> Seio Intermediário (Paracortical) -> Seio medular (medula) -> Linfático eferente.
43
Qual é o hilo do linfonodo?
Linfático eferente.
44
Verdadeiro ou Falso. A cápsula com trabéculas é constituída predominantemente de tecido muscular.
Falso. A cápsula com trabéculas é constituída predominantemente de tecido conjuntivo.
45
Verdadeiro ou Falso. A cápsula com trabéculas é constituída predominantemente de tecido muscular.
Falso. A cápsula com trabéculas é constituída predominantemente de tecido conjuntivo.
46
Qual é a patologia inflamatória mais importante do dia a dia?
Íngua ou Linfonodomegalia.
47
Quais os processos drenados pela cervical?
Abscessos dentários e glândulas salivares.
48
Quais os processos drenados pelos mesentéricos?
Apendicite e GECA.
49
Quais os processos drenados pelos linfonodos generalizados?
Viremia e Bacteremia.
50
Quais os processos drenados pelo mediastino?
Processos infecciosos inflamatórios pulmonares.
51
Quais os processos drenados pelos axilares?
Inflamação e infecção de membros superiores.
52
Quais os processos drenados pelos inguinais?
Inflamação e infecção de membros inferiores.
53
As infecções induzem ativação das células imunes residentes e conduz mudanças morfológicas no linfonodo. Essa descrição trata-se de...
Linfadenites.
54
Verdadeiro ou Falso. Hiperplasia da região cortical nas linfadenites é característica viral.
Falso. Hiperplasia da região cortical nas linfadenites é característica bacteriana.
55
Expansão de zona paracortical em linfadenites é característica de qual microorganismo?
Processos inflamatórios virais.
56
Linfonodos com consistência fibroelásticas, não aderidos a planos profundos e dolorosos favorecem processo benigno ou maligno?
Benigno.
57
O que favorece malignidade em um linfonodo?
Indolor, consistência pétrea e aderida aos planos profundos.
58
Verdadeiro ou Falso. Linfoma é o tumor primário do linfonodo, ou seja, originou-se no próprio órgão.
Verdadeiro.
59
Verdadeiro ou Falso. Tumor secundário do linfonodo é denominado linfoma.
Falso. Tumor secundário é aquele consequência de metástase advinda de outro tecido.
60
Quando o câncer de linfonodo pode começar a apresentar dor?
Quando ele infiltra o leito nervoso.
61
Macroscopia da linfadenite inespecífica aguda se caracteriza de que forma?
-Linfonodos aumentados; -Intumescidos; -Cinza-avermelhados; -Purulentos.
62
Macroscopia da linfadenite inespecífica aguda se caracteriza de que forma?
-Centros germinativos aumentados com mitose; -Macrófagos com restos celulares, neutrófilos e/ou necrose.
63
O que são macrófagos de corpos tingíveis?
São macrófagos com restos celulares encontrados nas linfadenites inespecífica aguda.
64
Linfadenite aguda apresenta dor?
Sim, sinais cardinais. Rubor, tumor, calor e dor podendo apresentar pus.
65
Quais são os padrões de morfologia da linfadenite inespecífica crônica?
-Hiperplasia folicular; -Hiperplasia paracortical; -Histiocitose sinusal.
66
Qual a resposta da hiperplasia paracortical?
Resposta imune celular.
67
Verdadeiro ou Falso. A resposta da hiperplasia folicular é imune celular.
Falso. A resposta da hiperplasia folicular é imune humoral.
68
Qual padrão de linfadenite inespecífica crônica tem como resposta não específica?
Histiocitose sinusal.
69
É comum reação flogística na linfadenite inespecífica crônica?
Não. São comuns nodos aumentados e indolores na axilia e região inguinal.
70
Exuberância da regial cortical do linfonodo, macrófagos de corpos tingíveis e centro germinativo alargado (folículo secundário). Trata-se de qual padrão de linfadenite crônica?
Hiperplasia folicular.
71
Quais doenças são comuns na hiperplasia folicular?
-Artrite reumatóide; -Toxoplasmose; -Fase precoce do HIV.
72
Verdadeiro ou Falso. Monotonia de um linfonodo de células centrócitos ou centroblastos é característica de uma hiperplasia folicular.
Verdadeiro.
73
Verdadeiro ou Falso. Zona clara é região de centroblasto e zona escura é região de centrócitos.
Falso. Zona clara é região de centrócitos e zona escura é região de centroblastos.
74
Verdadeiro ou Falso. Hiperplasia paracortical está associada às doenças virais como a mononocleose.
Verdadeiro.
75
Qual a grande característica da hiperplasia paracortical?
Uma alta proliferação de linfócitos T.
76
Aumento do linfonodo as custas de alargamento dos sinusóides da região medular preenchidos por macrófagos. É característica de qual padrão de linfadenite crônica?
Histiocitose sinusal.
77
Onde é observado a histiocitose sinusal?
Na periferia dos linfonodos e em tumores.
78
Verdadeiro ou Falso. A histiocitose sinusal não possui etiologia conhecida.
Verdadeiro.
79
Como é a clínica geral de um indivíduo com toxoplasmose?
Hepatoesplenomegalia, linfoadenomegalia e febre de origem desconhecida.
80
Qual animal está relacionado à infecção por toxoplasmose? Como se dá essa infecção?
O gato. Por meio das fezes com oocistos ou carne mal cozida.
81
Verdadeiro ou Falso. O Toxoplasma é comumente observado nos linfonodos de exames histológicos.
Falso. O Toxoplasma não é observado nos exames histológicos, mas sim por meio de exames de PCR.
82
Qual a característica dos linfonodos com infecção por toxoplasmose?
-Aumento de volume; -Hiperplasia folicular exuberante; -Hiperplasia de células B monocitóides exuberantes; -Histiócitos epitelióides isolados ou em pequenos grupamentos, alguns invadindo ou justapostos aos centros germinativos.
83
Verdadeiro ou Falso. Na toxoplasmose ocorre uma expansão da cortical por hiperplasia de células T.
Falso. Na toxoplasmose ocorre uma expansão da zona cortical por hiperplasia das células B monocitóides.
84
Quais são os tipos de doença de Castleman?
-Tipo hialino-vascular; -Tipo célula plasmática; -Tipo multicêntrico.
85
Qual a forma mais comum de doença de Castleman?
A doença de Castleman tipo hialino-vascular.
86
O que são sintomas constitucionais?
-Hepatoesplenomegalia; -Febre noturna; -Sudorese; -Emagrecimento.
87
Qual forma da doença de Castleman pega apenas um linfonodo?
Tipo hialino-vascular.
88
Quais formas da doença de Castleman podem apresentar sintomas constitucionais?
Tipo célula plasmática e tipo multicêntrico.
89
Uma massa sólida e sem sintomas específicos. Essa descrição trata-se de qual forma da doença de Castleman?
Doença de Castleman tipo hialino-vascular.
90
Verdadeiro ou Falso. Os sintomas da doença de Castleman tipo célula plasmática permanecem após a excisão da lesão.
Falso. Os sintomas da doença de Castleman tipo célula plasmática desaparecem após a excisão da lesão.
91
Frequentemente solitário. Associação comum com sintomas sistêmicos que desaparecem após a excisão da lesão. Essa descrição trata-se de qual forma da doença de Castleman?
Tipo célula plasmática.
92
Aumento de múltiplos linfonodos, hepatoesplenomegalia e sintomas sistêmicos comuns. Essa descrição trata-se de qual forma da doença de Castleman?
Doença de Castleman tipo Multicêntrico.
93
Qual o vírus que está associado à DC Hialino-Vascular?
Vírus do grupo da herpes HHB8.
94
Em quais regiões a DC Hialino-Vascular comumente forma massa?
Pescoço, axilar, intratorácica, mediastino e retroperitônio.
95
Qual a histologia típica da DC Hialino-Vascular?
-Atrofia do centro germinativo com vênulas hialinizadas. -Hiperplasia concêntrica da zona do manto em arranjo de "casca de cebola".
96
Verdadeiro ou Falso. A histologia da DC Hialino-Vascular apresenta células "olhos de coruja".
Falso. A histologia da DC Hialino-Vascular apresenta hiperplasia concêntrica da zona do manto em arranjo de "casca de cebola".
97
Quais as principais características morfológicas da DC tipo células plasmáticas?
-Hiperplasia folicular reativa; -Denso infiltrado de plasmócitos estendendo-se da medula até o córtex superficial do linfonodo.
98
Verdadeiro ou Falso. HIV só causa linfadenopatia na fase crônica.
Falso. A linfadenopatia do HIV causa hipeplasia folicular explosiva na fase aguda.
99
O progresso abaixo é relacionado a qual doença? -Hiperplasia folicular explosiva; -Involução folicular (pode simular doença de Castleman); -Depleção linfóide.
Linfadenopatia do HIV.
100
Como se dá a depleção linfóide da linfadenopatia do HIV?
Uma destruição dos linfócitos T da zona paracortical tornando a região quase que completamente fibrosada.
101
Qual é a primeira fase da linfadenopatia por HIV?
-Centros foliculares muito grandes e expandidos. -Zonas do manto finas ou ausentes. -Lise folicular, focos de hemorragia e degeneração.
102
Qual é a segunda fase da linfadenopatia por HIV?
Involução folicular. -Folículos involuídos ou atróficos; -Centro germinativo apresenta grande quantidade de vasos hialinizados no paracortex expandido.
103
Qual doença pode ser confundida com a segunda fase da linfadenopatia por HIV?
Doença de Castleman.
104
Qual o agente etiológico da doença da arranhadura do gato?
Bartonella henselae.
105
Bacilos pleomórficos identificados pela coloração de Warthin-Starry. Trata-se de qual doença?
Doença da arranhadura do gato.
106
Qual a histologia da doença da arranhadura do gato?
Granuloma com supuração central. Infiltração central neutrofílica e necrose.
107
Qual a histologia da doença da arranhadura do gato?
Granuloma com supuração central. Infiltração central neutrofílica e necrose.