Descrição: Segmento de tecido hepático com coloração pálida devido acúmulo de gordura no interior dos hepatócitos (imagem negativa – célula espumosa). Presença de macro e micro gotículas de gordura que afastam o núcleo para periferia.
Diagnóstico: Esteatose.
How well did you know this?
1
Not at all
2
3
4
5
Perfectly
2
Q
Lâmina 02
Órgão:
Descrição:
Diagnóstico:
A
Órgão: Fígado.
Descrição: Segmento de tecido hepático com coloração pálida devido acúmulo de gordura no interior dos hepatócitos (imagem negativa – célula espumosa). Presença de macro e micro gotículas de gordura que afastam o núcleo para periferia.
Diagnóstico: Esteatose.
How well did you know this?
1
Not at all
2
3
4
5
Perfectly
3
Q
Lâmina 102
Órgão:
Descrição:
Diagnóstico:
A
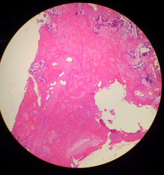
Órgão: Canal anal/Reto
Descrição: Fragmento de reto que se observa dilatação dos vasos associados com aumento do afluxo sanguíneo (congestão). Há vasos sanguíneos com trombos, com hemácias organizadas e presença de infiltrado inflamatório.
Diagnóstico: Trombo/congestão – hemorroida.
How well did you know this?
1
Not at all
2
3
4
5
Perfectly
4
Q
Lâmina 102
Órgão:
Descrição:
Diagnóstico:
A
Órgão: Canal anal/Reto
Descrição: Fragmento de reto que se observa dilatação dos vasos associados com aumento do afluxo sanguíneo (congestão). Há vasos sanguíneos com trombos, com hemácias organizadas e presença de infiltrado inflamatório.
Diagnóstico: Trombo/congestão – hemorroida.
How well did you know this?
1
Not at all
2
3
4
5
Perfectly
5
Q
Lâmina 101
Órgão:
Descrição:
Diagnóstico:
A
Órgão: Intestino Grosso.
Descrição: Pode-se observar um afastamento entre a camada mucosa e submucosa devido ao acúmulo de líquido no tecido conjuntivo, com presença de vasos congestivos.
Diagnóstico: Edema.
How well did you know this?
1
Not at all
2
3
4
5
Perfectly
6
Q
Lâmina 101
Órgão:
Descrição:
Diagnóstico:
A
Órgão: Intestino Grosso.
Descrição: Pode-se observar um afastamento entre a camada mucosa e submucosa devido ao acúmulo de líquido no tecido conjuntivo, com presença de vasos congestivos.
Diagnóstico: Edema.
How well did you know this?
1
Not at all
2
3
4
5
Perfectly
7
Q
Lâmina 118
Órgão:
Descrição:
Diagnóstico:
A
Órgão: Testículo.
Descrição: Apresenta túbulos seminíferos atrofiados, com diminuição da quantidade de células germinativas. Há deposição de hialina na parede tubular e áreas com degeneração mais intensa e consequente diminuição da luz tubular. Presença de vasos congestos.
Diagnóstico: Atrofia Testicular.
How well did you know this?
1
Not at all
2
3
4
5
Perfectly
8
Q
Lâmina 116
Órgão:
Descrição:
Diagnóstico:
A
Órgão: Testículo.
Descrição: Segmento de tecido do testículo com áreas de necrose hemorrágica. Presença de túbulos seminíferos necróticos, além de hemácias, células anucleadas e infiltrado inflamatório entre os túbulos.
Diagnóstico: Necrose hemorrágica testicular.
How well did you know this?
1
Not at all
2
3
4
5
Perfectly
9
Q
Lâmina 108
Órgão:
Descrição:
Diagnóstico:
A
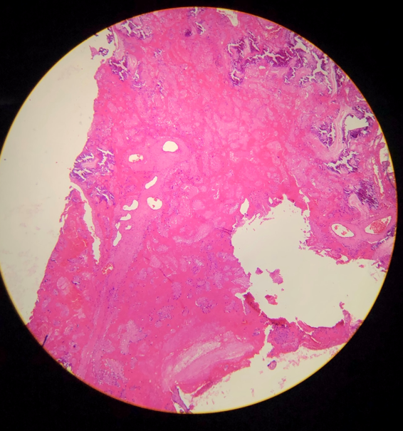
Órgão: Placenta.
Descrição: A lâmina apresenta uma placenta com áreas de necrose na face materna (decídua) com massa amorfa e eosinofílica, acompanhada de inflamação e há ausência de núcleo na área de necrose.
Diagnóstico: Infarto Placentário.
How well did you know this?
1
Not at all
2
3
4
5
Perfectly
10
Q
Lâmina 108
Órgão:
Descrição:
Diagnóstico:
A
Órgão: Placenta.
Descrição: A lâmina apresenta uma placenta com áreas de necrose na face materna (decídua) com massa amorfa e eosinofílica, acompanhada de inflamação e há ausência de núcleo na área de necrose.
Diagnóstico: Infarto Placentário.
How well did you know this?
1
Not at all
2
3
4
5
Perfectly
11
Q
Lâmina 143
Órgão:
Descrição:
Diagnóstico:
A
Órgão: Pulmão.
Descrição: Alvéolos com a luz obstruída por exsudato rico em fibrina. Sugestivo de edema. Presença de vasos congestos, hemácias em seu interior, presença de células polimorfonucleares, neutrófilos e infiltrado inflamatório.
Diagnóstico: Pneumonia (inflamação aguda do parênquima pulmonar).
How well did you know this?
1
Not at all
2
3
4
5
Perfectly
12
Q
Lâmina 126
Órgão:
Descrição:
Diagnóstico:
A
Órgão: Tuba Uterina.
Descrição: Corte histológico da tuba uterina que apresenta inflamação aguda caracterizada pela presença de exsudato neutrofílico na luz e na parede do órgão com áreas de necrose de liquefação. Presença de edema, hemorragia e fibrina.
Diagnóstico: Salpingite aguda (inflamação aguda).
How well did you know this?
1
Not at all
2
3
4
5
Perfectly
13
Q
Lâmina 128
Órgão:
Descrição:
Diagnóstico:
A
Órgão: Rim.
Descrição: Corte histológico de parênquima renal que apresenta processo inflamatório crônico caracterizado pela presença de infiltrado de linfócitos, plasmócitos e macrófagos, circundando vários glomérulos fibróticos e hialinizados. Nota-se alargamento da parede do vaso com hipertrofia crônica.
Diagnóstico: Pielonefrite crônica.
How well did you know this?
1
Not at all
2
3
4
5
Perfectly
14
Q
Lâmina 104
Órgão:
Descrição:
Diagnóstico:
A
Órgão: Pulmão
Descrição: Corte de pulmão com a presença de processo inflamatório crônico granulomatoso caracterizado pela presença de centro de necrose caseosa, circundado por macrófagos epitelióides, células gigantes multinucleadas do tipo Langhans e halo linfocitário. Nota-se ainda área de fibrose.
Diagnóstico: Tuberculose (inflamação crônica granulomatosa do parênquima pulmonar).
How well did you know this?
1
Not at all
2
3
4
5
Perfectly
15
Q
Lâmina 117
Órgão:
Descrição:
Diagnóstico:
A
Órgão: Intestino Grosso (reto).
Descrição: Observa-se proliferação de células de origem muscular lisa formando feixes organizados em diversas direções de característica homogênea sugestivo de neoplasia benigna.
Descrição: Observa-se espessamento da mucosa intestinal devido proliferação de células de origem epitelial, formando estruturas glandulares em grande número, homogêneas de morfologia celular e nuclear semelhante ao tecido de origem. Contudo, respeita os limites da mucosa (não invasiva).
Diagnóstico: Adenomoma do intestino grosso – reto.
Descrição: Observa-se proliferação exacerbada do tecido epitelial formando áreas que se assemelham a glândulas, porém de forma irregular e apresentando extensas atipias, perda de relação núcleo/citoplasma, hipercromatismo, polimorfismo e regiões de mitose, não respeitando os limites anatômicos. Nota-se formação de vasos – angiogênese.
Descrição: Observa-se proliferação exacerbada do tecido epitelial formando áreas que se assemelham a glândulas, porém de forma irregular e apresentando extensas atipias, perda de relação núcleo/citoplasma, hipercromatismo, polimorfismo e regiões de mitose, não respeitando os limites anatômicos. Nota-se formação de vasos – angiogênese.
Descrição: Espessamento da camada média por hipertrofia das células e áreas irregulares na túnica média sugestiva de medioesclerose e áreas basofílicas de calcificação. Sem alteração da luz do vaso.
Descrição: Presença de áreas rosa clara preenchendo o espaço de outras fibras, depósito de colágeno, fibroblasto e infiltrado mononucleado sendo indicativo de fibrose.