What congenital conditions may be found in the liver?
Describe this lesion

The entire liver parenchyma has been disrupted by disseminated fluid-filled, soft cystic structures. Areas of tissue which are not cystic show multifocal areas of haemorrhage or yellow discolouration.
Chronic disseminated severe polycystic hepatopathy
Genetic in persians
What is the difference between an intra and extrahepatic shunt?
Which structures do they arise from?
Intra - within the liver - Persistence of ductus venosus
Extra - within and outside of the liver - a direct connection between HPV and vena cava/ azygous veins

Intrahepatic shunt
Persistent ductus venosus

Extrahepatic shunt
Describe the appearance of the liver of an animal which has a porto-systemic shunt.
Describe this lesion

The normal anatomy of the thorax and abdomen of this cat has been severely disturbed, with the small intestine and other abdominal viscera being displaced cranially, presumably through the diaphragm.
Acute severe diffuse traumatic diaphragmatic herniation of the gastro-intestinal tract.
Outline the expected sequelae of hepatic torsion
Venous occlusion
Ischemia
Necrosis
In what situations may a liver be prone to rupture?
Trauma
Amyloidosis
Lipidosis
ie increased friability of parenchyma
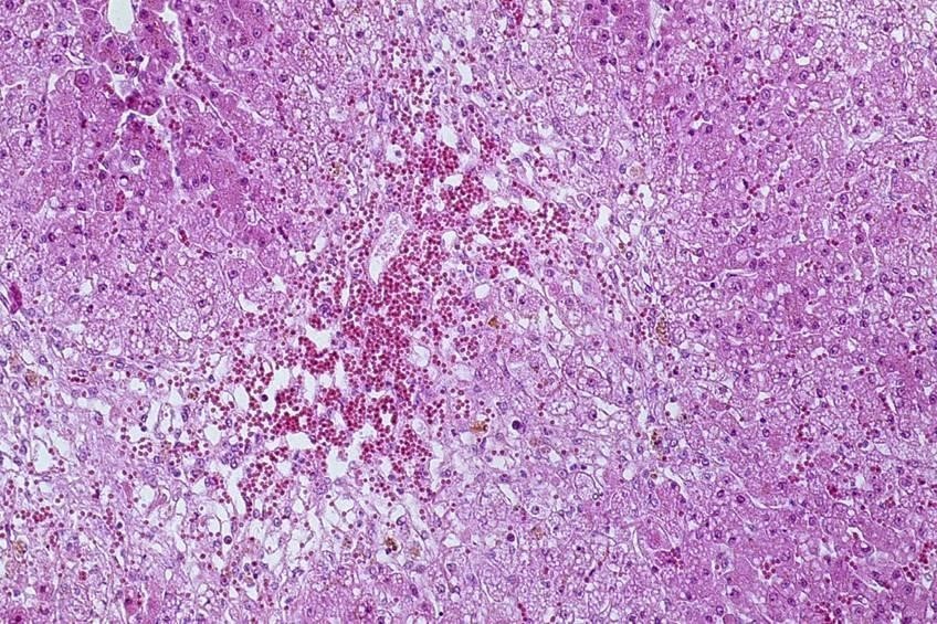
Which of the zones of hepatic lobules is most vunerable to passive hyperaemia?
Zone 3 - closest to central vein
Which type of passive congestionmay be seen as an agonal change?
Acute
Describe this lesion.
Name a possible sequelae

The parenchyma of the liver shows disseminated round black lesions with non-affected tissue showing either redenning or multifocally shown to be pale tan. The surface of the liver is diffusely roughened.
Chronic disseminated severe fibrosing passive hyperaemia of the liver
Sequelae: acquired porto-systemic shunt
Chronic fibrosis of the liver leading to reduced and inadequate liver function.
Cirrhosis
What is shown here?
Possible cause?

Dilation of non-functioning tortuous vessels between the portal vein and caudal vena cava.
Due to hepatic fibrosis/ cirrhosis

Acute passive congestion due to heart failure
Teleangiectasis
Dilation of functional vessels - sinusoids in the liver
Describe this lesion

Multifocal to coelescing black irregularly shaped (3cm across) lesions can be seen on the surface of this liver and also present on the cut surface.
Acute multifocal to coelescing severe teleangiectasis of hepatic sinusoids
Irregular blood-filled cystic spaces in the liver parenchyma.
Cause?
Peliosis hepatis
Cause: focal hepatocyte necrosis
The most metabolically active hepatocytes are found where in hepatic ascini?
Zone 3 - centrolobular
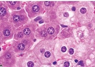
Histologically how do degenerating hepatocytes appear?
Why?
ie Hydropic degeneration

Right of the image - hydropic degeneration of hepatocytes due to influx of Na+ and H2O

Atrophy of the liver due to external pressure - neoplasia, dilated viscera etc
In which four situations can hepatic lipidosis occur?
Describe this lesion

The surface and deep tissue is focally extensively pale tan, with about 80% of the hepatic tissue being affected. The tissue itself is extremely friable when touched.
Diffuse moderate subacute hepatic lipidosis