A horseshoe kidney is caused by what?
Can they be functional?
Fusion of the cranial or caudal poles of the kidneys
Yesm if no urethral obstruction is present

Ectopic kidney
Abnormal kidney migration - may be found in the inguinal ring or pelvic cavity (urethral obstruction may occur)
Name seven congenital abnormalities of the kidneys.
What features of the kidney should be examined at necropsy?
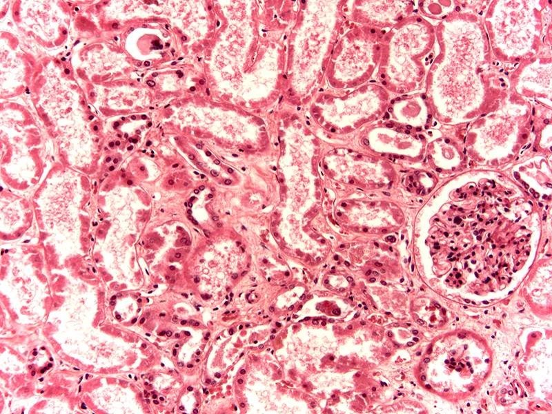
Familial renal disease
Which breeds are predisposed?
Renal disease often presenting under the age of 2, proteinuria is common, kidneys appear small, pale with loss of nephrons and fibrosis
Breeds: Cocker, Doberman, Samoyed, Shih Tzu
Describe this histo slide of a 2yo cocker with familial renal disease.

What pathological finding is often found alongside renal dysplasia?
What can be the cause of this phenomenon?
Hydroureter

Describe this lesion.
What can these lesions result in?
Which breeds are prone?

The cortex of the kidney contains multifocal raised round fluid filled nodules of varying sizes (from 2mm to 10mm in diameter). Some of the nodules extend into the medulla.
May lead to pressure atrophy of adjacent renal tissue
Persian and WHW terriers.
Describe three types of tubular functional abnormalities and their breed specific signs.
Describe the response to injury of the glomerulus.
Fibrosis and loss
Describe the response to injury of the tubular epithelium
Repair if the basement membrane remains intact
Compensatory hypertrophy and atrophy if basement membrane is damaged
Describe this lesion

Multifocal to coelescing, round, dark red-black 1x1mm lesions. Coelescing to two large areas (affecting 70% of the tissue).
Acute multifocal to coelescing severe haemorrhage of the kidney
Disseminated intravascular coagulation
Describe this lesion

Multifocal to coelescing round 2x2mm red lesions found on the kidney surface and penetrating the cut surface (cortex). The kidney appears firm (no-oozing of fluid).
Acute multifocal to coelescing moderate haemorrhagic nephritis
CHV, salmonella, CSF, erysipelas
Describe this lesion.

Focal area of dark red to black fluid found on the surface of this kidney. 5x5cm. Irregular demarcation.
Acute focally extensive severe traumatic haemorrhage of the kidney
Describe these lesions

Interlobular and interlobar acute infarcts.
Pale tan wedged shaped lesions.
Peripheral haemorrhage
Indented cortical surface
Caused by microthrombi in renal blood supply
Outline the difference between interlobular and interlobar infarcts.
Differences in blood supply


Chronic infarct leading to wedge shaped necrosis and consolidation of tissue
Leaves a deep cortical depression visible on the renal surface
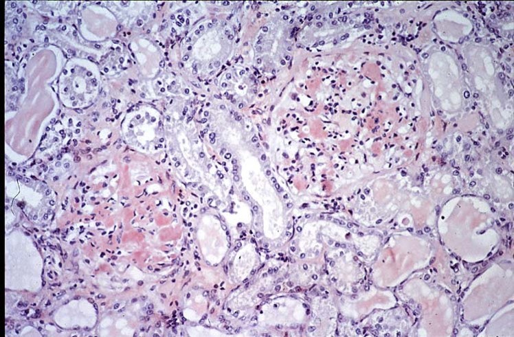
Describe

Papillary necrosis (where collecting ducts empty into the pelvis)
Reduced renal blood flow secondary to NSAIDs (bute!)

Renal cortical necrosis - kidney is diffusely damaged due to microthromi.
Hypereosinophilic cells
Tubular structures are filled with degenerate necrotic debris
Inflammatory cells have infiltrated interstitium
Gram-ve microthrombi

Fibrin and cell debris within tubular lumen. Hypereosinophilic cells w/out nuclei.
Causes:
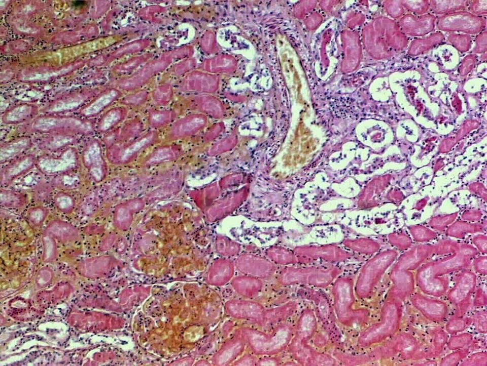
With amyloidosis of the kidney which areas are most commonly affected?
Glomerulus
In cats the medulla
What effect does amyloid have on the glomerulus?
Pressure atrophy - protein uria - hypoproteinaemia
Describe

Cortex is diffusely affected, appears pale tan and waxy, firm.
Amyloidosis - protein depositation (stained red with congo red)

Urine blockage can lead to hydronephrosis. What characteristic lesions would be found in this case?
Pressure atrophy
Dilation of the pelvis
Medulla ischemia (vascular occlusion)
Cortical atrophy
Causes: ureteral anomalies/ obstruction, LUT inflammation, neoplasia, bladder paralysis
Leads to secondary infection
