Lower Extremity Flashcards

(49 cards)

1
Q

(trauma) the knee is externally rotated 10 deg
how do you get an AP with open js

A

spine 90 deg
turn 10 deg
mimics a caudad angle

How well did you know this?
1
Not at all
2
3
4
5
Perfectly
2
Q

what does it mean when the greater and lesser trochanters are on the same vertical plane

A

angle is GOOD
do not change it

How well did you know this?
1
Not at all
2
3
4
5
Perfectly
3
Q

if the medial talar dome is more distal, what do you do

A

add cephalad angle
knee down to table

How well did you know this?
1
Not at all
2
3
4
5
Perfectly
4
Q

how will the talar domes look if the toes are raised off the IR

A

fibula too anterior

How well did you know this?
1
Not at all
2
3
4
5
Perfectly
5
Q

how does the ankle look when the calcaneous is raised off the IR

A

fibula too posterior
SINUS TARSI VISUALIZED

How well did you know this?
1
Not at all
2
3
4
5
Perfectly
6
Q

what do you look at when the talar domes aren’t superimposed vertically

A

end of fibula to subtalar joint

How well did you know this?
1
Not at all
2
3
4
5
Perfectly
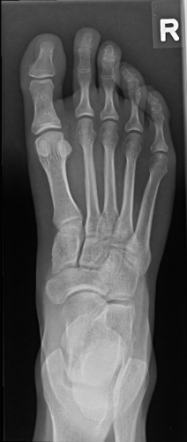
7
Q

what joint spaces should be open on an AP axial foot

A

TMT
medial and intermediate cuneiforms
navicular cuneiforms

How well did you know this?
1
Not at all
2
3
4
5
Perfectly
8
Q

what angle is used for an AP axial foot

A

perpendicular to the dorsal plane of the foot

How well did you know this?
1
Not at all
2
3
4
5
Perfectly
9
Q

correction

A

needs more cephalad angle
(TMTs are closed)

How well did you know this?
1
Not at all
2
3
4
5
Perfectly
10
Q

what joint spaces need to be open on an AP oblique foot

A

cuboid-lateral cuneiform
3-5 proximal metatarsal

How well did you know this?
1
Not at all
2
3
4
5
Perfectly
11
Q

what should be visualized on an AP oblique foot

A

sinus tarsi!!

How well did you know this?
1
Not at all
2
3
4
5
Perfectly
12
Q

correction

A

medial foot needs to come away from IR

How well did you know this?
1
Not at all
2
3
4
5
Perfectly
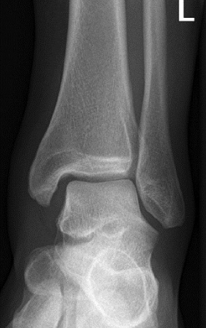
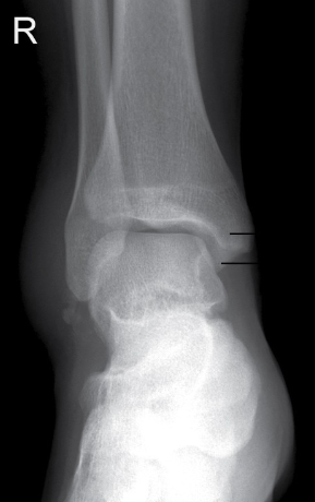
13
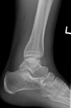
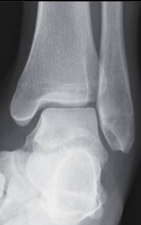
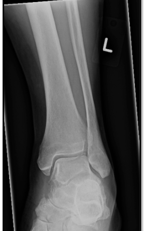
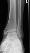
Q

what needs to be open on an AP ankle

A

medial mortise
tibiotalar js

How well did you know this?
1
Not at all
2
3
4
5
Perfectly
14
Q

error

A

external rotation

How well did you know this?
1
Not at all
2
3
4
5
Perfectly
15
Q

error

A

internal rotation

How well did you know this?
1
Not at all
2
3
4
5
Perfectly
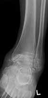
16
Q

how is ideal joint space determined for a mortise ankle

A

upper one sets the standard

How well did you know this?
1
Not at all
2
3
4
5
Perfectly
17
Q

correction

A

needs slightly more internal rotation

How well did you know this?
1
Not at all
2
3
4
5
Perfectly
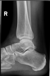
18
Q

what ligaments would be torn here

A

deltoid ligaments

How well did you know this?
1
Not at all
2
3
4
5
Perfectly
19
Q

AO C fractures can be classified into

A

Webber B
Webber C

How well did you know this?
1
Not at all
2
3
4
5
Perfectly
20
Q

if you see the sinus tarsi on a mortise ankle, what does it mean

21
Q

what must be down when distal fibula is superimposed over the calcaneous
on a mortise ankle

A

due to planter flexion
(cannot dorsiflex when sprain)
use a 15 deg ceph

22
Q

mediolateral ankle sues what angle

A

typically about 5 deg cephalad

23
Q

how should the fibula be on a lateral ankle

A

fibula in posterior half of tibia

24
Q

correction

A

lower knee/more ceph angle
toes down to IR

25
correction
lower knee/add ceph angle toes down to IR
26
what does it mean when you can see the sinus tarsi on a mediolateral ankle
heel was off the IR
27
correction
add cephalad angle (subtalar joint is below tip of fibula)
28
what angle would you use for the lateromedial
12-15 deg caudad
29
what angle would you use for a mediolateral
7 to 10 deg cephalad
30
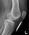
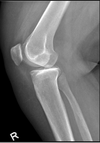
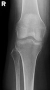
AP knee criteria (5)
open joint space (lat) tibial spines centred to tunnel lat tib plateau in a single line patella slightly lat to midline lat condyle of tibia superimposes half the fibular head
31
on an AP knee, if the fibular head is too high, what does that indicate
too much caudad angle
32
on an AP knee, if the fibular head is too low, what does that indicate
not enough caudad angle
33
correction
more caudad angle
34
correction
less external rotation
35
internal oblique knee criteria (3)
proximal tib fib js open ant and post mergins on plateaus aligned about 1/2 patella medial to femur
36
if the tibia on an AP is at a 10 deg angle, what angle do you use?
5 deg cephalad
37
what is the most important thing to line up on a lateral knee
articulating surfaces of femoral condyles
38
the medial tibial plateau is __ the lateral tibial plateau is __
medial curved lateral straight
39
correction
more cephalad angle more external rotation
40
correction
more internal lrotation less cephalad angle
41
when doing XTL knees, ___ is the same as angling more caudad
foot towards IR
42
best image for OA is
standing tunnel
43
when doing skyline knees, the knee should bend how much
not more than 30 deg
44
in skyline knees, how should the patella look
Same width as the femur
45
critique
bent more than 30 deg (groove too wide)
46
how much internal rotation is used for AP pelvis
at least 20 deg
47
how do we assess for rotation on an AP pelvis (7)
SI joints spinous processes ileum width ischial spine visibility femoral necks trochanters obturator foramina
48
how should the trochanters look on an axiolateral hip
greater and lesser should be roughly at same vertical plane
49
correction
internal rotate more