Skull Flashcards

(44 cards)

1
Q

how do we assess rotation in a Caldwell skull

A

I nominate lines equidistant from midline

How well did you know this?
1
Not at all
2
3
4
5
Perfectly
2
Q

where should the petrous ridges be in a Caldwell skull

A

in the lower third of the orbits

How well did you know this?
1
Not at all
2
3
4
5
Perfectly
3
Q

on a PA Caldwell, the petrous ridges are too high
what is the correction

A

angle caudad or lift the chin

How well did you know this?
1
Not at all
2
3
4
5
Perfectly
4
Q

give 2 corrections

A

angle 10 caudad
OR lift chin so OML changes by 10 deg
rotate nose to the left

How well did you know this?
1
Not at all
2
3
4
5
Perfectly
5
Q

On a PA caldwell, if the CP is too inferior, but the petrous ridges are perfect, what will happen when you correct it?
what do you need to do to fix it

A

they will be projected too low

need to adjust skull position

How well did you know this?
1
Not at all
2
3
4
5
Perfectly
6
Q

if on a PA caldwell, the petrous ridges are at 1/2 way in the orbits, what is the correction

A

caudad angle needs to be increased by 5 deg
or flex neck so OML changed 5 deg

How well did you know this?
1
Not at all
2
3
4
5
Perfectly
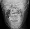
7
Q

what is the issue here

A

way too much angle

How well did you know this?
1
Not at all
2
3
4
5
Perfectly
8
Q

what is the correction

A

20-25 deg more caudad
lift chin to change OML by 20-25 deg

How well did you know this?
1
Not at all
2
3
4
5
Perfectly
9
Q

how is a PA caldwell done (base formula)

A

OML perpendicular
angle 15 deg caudad

How well did you know this?
1
Not at all
2
3
4
5
Perfectly
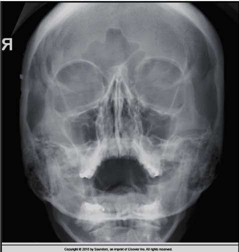
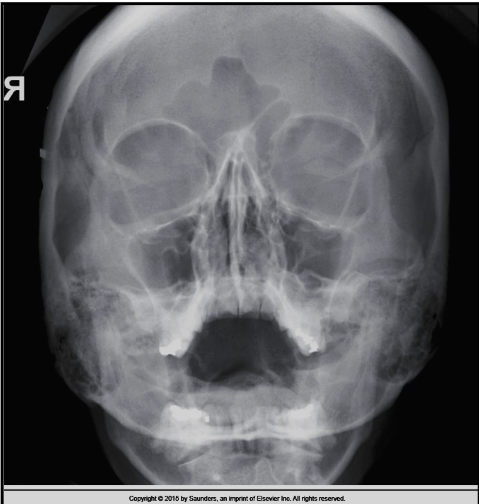
10
Q

what should be corrected about the petrous ridges in this PA cadwell

A

nothing!

How well did you know this?
1
Not at all
2
3
4
5
Perfectly
11
Q

what are the corrections for this PA caldwell (3)

A

CP needs to be raised
nose to go right slightly
vertex to go left

How well did you know this?
1
Not at all
2
3
4
5
Perfectly
12
Q

for an AP Caldwell, if the OML is perp, what angle do you use?

A

15 deg CEPHALAD

How well did you know this?
1
Not at all
2
3
4
5
Perfectly
13
Q

what is the correction

A

flex the neck

How well did you know this?
1
Not at all
2
3
4
5
Perfectly
14
Q

correction (2)

A

less cephalad angle
or flex neck
nose to the right

How well did you know this?
1
Not at all
2
3
4
5
Perfectly
15
Q

how is the positioning

A

correct, issues come from bad CP

How well did you know this?
1
Not at all
2
3
4
5
Perfectly
16
Q

what is the correction

A

change the CP

How well did you know this?
1
Not at all
2
3
4
5
Perfectly
17
Q

(AP) should you correct without a CP change, what would you do

A

nose to the right
include vertex
5 deg decrease of ceph angle

How well did you know this?
1
Not at all
2
3
4
5
Perfectly
18
Q

what is the most lateral sinus when doing a waters

A

maxillary sinus

19
Q

where are the petrous ridges on a waters

A

below maxillary sinuses/antrum

20
Q

where is collimation on a waters sinus

A

edge of orbits
hairline to below open mouth

21
Q

when do you waters method with the mouth open versus closed

A

sinuses - open
facial - closed

22
Q

where is collimation on a waters facial

A

include zygomatic arches
include supraorbital margin, to mandible

23
Q

critique (sinus) (4)

A

extend neck
flip marker
collimate
nose to the left

24
Q

(sinus) what would the angle correction be here

A

NOTHING!!! do not angle for sinuses

25
critique (3)
nose too right neck too extended bad marker
26
how do you position an OM waters
line up MML, then open the mouth
27
on an OM waters, how do you know the angle and extension are good?
odontoid should be visualized in the foramen magnum
28
critique
nose is too left collimation - field size too big
29
corrections (2-3)
extend neck more nose more to the R collimate
30
critique
extend neck more nose is too left collimate (if skull) close the mouth??
31
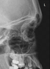
on an open mouth facial, the petrous ridges are visualized in the maxillary sinuses what needs to be done
extend the neck
32
correction
extend 5 deg more (mandible is a bit too close to odontoid)
33
criteria for a lateral skull (4)
orbital plates are si TMj in same vertical plane EAMs in same vertical plane top of skull parallel to IR
34
on a lateral skull, the zygomatic processes are superimposed, what does this mean
nose is away from the bucky
35
critique how do you know
vertex is away from the bucky mag'd zyg process is inferior
36
correction
CP up for vertex extend the neck nose to come away from bucky
37
what do you need to consider when correcting this image
when the CP is corrected, tilt will be introduced tilt vertex to bucky to account for it
38
where is the preferred marker placement on a lateral skull
superior anterior
39
correction
chin up nose needs to go L smaller field size ** shoulders need to be obliqued
40
criteria for lateral orbits (4)
IPL perpendicular MSP parallel eyes fixed on one spot post/sup border of zygomatic processes aligned
41
correction
nose needs to go towards the bucky
42
correction
vertex towards the bucky nose to the R
43
what projection is the best to visualize the mandible
ruggles OML perpendicular with no angle
44
critique
petrous too low, by 10 deg (neck is extended) OML not perpendicular