Näringsupptaget delas generellt in i tre faser, vilka?
Hur kan duodenum känna av vad det är som kommer från ventrikeln?
Med hjälp av I och S-celler: kan då få svar på hur surt det, om det är FFA, aminosyror etc.
Vad kommer duodenum att utsöndra som svar på näringsämnen från ventrikeln?
CCK och sekretin -> påverkar galla -> galla utsöndras tarmen, även bukspotts-enzym kommer nå tunntarmen.
Vilka fem faktorer kan göra att vi får problem med fettupptag?
Vad kan gallsalt-brist orsakas av?
Vilka möjliga orsaker finns det till försämrad lumenfas?
Orsaker till pankreasinsufficiens?
Hur kan pankreasinsuff. leda till malabsorption?
Vilka möjliga orsaker finns det till problem i slemhinnefas?
Vid celiaki drabbas man huvudsakligen av osmotisk diarré. Vad innebär det?
Partiklar/föda som ej absorberas av enterocyter, kommer dra med sig vätska - osmotiskt - till tjocktarmen och vidare ut.
Varför kan man bli känslig för laktos vid celiaki?
Celiaki drabbar duodenum, man får en skadad slemhinna. Alla möjliga celler drabbas i duodenum. Enzymer som enterokinas och brushborder-enzym som laktas kommer produceras i mindre mängd. Därför ökad känslighet.
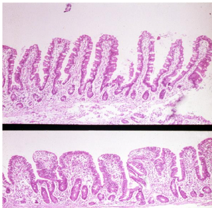
Hur ser en celiaki-duodenum ut rent mikroskopiskt?

Klinisk bild vid celiaki?
Vad är dermatitis herpetiformes?
Antikroppar mot tissue-transglutaminas (i tarm) kan korsreagera med epidermalt transglutaminas 3 -> neutrofil aktivering -> ger herpesliknande blåsor
Glutens “kemiska” uppbyggnad?
Vad händer vid intag av gluten hos en celiaki-pat?
För att få enterocytskada krävs t-celler riktade mot 33-aa-peptiden.
De kommer utsöndra bl.a. IFNgamma. Enterocyterna kommer uppleva “cellstress” och uttrycka MICA -> intra-epiteliala-t-cellerna binder till MICA via NKG2D-receptor. -> ytterligare slakt av enterocyter
Enterocyterna kommer producera IL-15, som också späder på hela processen: verkar CTL-stimulerande -> “mass-slakt av enterocyter”
Varför reagerar inte alla människor likadant på glutenrik föda?
Det är inte alla som får en T-cellsaktivering. Det beror på vilken HLA-typning man har:
Makroskopiska förändringar av duodenum vid celiaki?
Vad händer med gliadin i GI?
Hur bildas antikroppar mot gliadin och vävnadstransglutaminas?
Korslänkning bildas mellan transglutaminas och gliadin, tas upp av T-cell på gliadin-sidan. T-cellen visar upp transglutaminas vilket gör att B-cellen svarar på det leder till en b-cellstimulering och antikroppsproduktion. B-cellen som tidigare var specifik för gliadin kommer istället visa upp transglutaminas för t-cellen -> transglutaminasantikroppar.
Hur ställs celiaki-diagnos?
Felkällor vid diagnos?
Vad innebär refraktär celiaki?
Att man trots glutenfri kost fortsätter ha inflammation
Vilka två typer av refraktär celiaki finns det? beskriv
Diagnos fastställs med flödescytometri eller IH