Mineralization Flashcards

(8 cards)

1
Q

Pathologic Calcification

A

deposition of calcium salts (phosphates or carbonates) in soft tissues

metastatic calcification = as a result of elevated serum calcium conc.

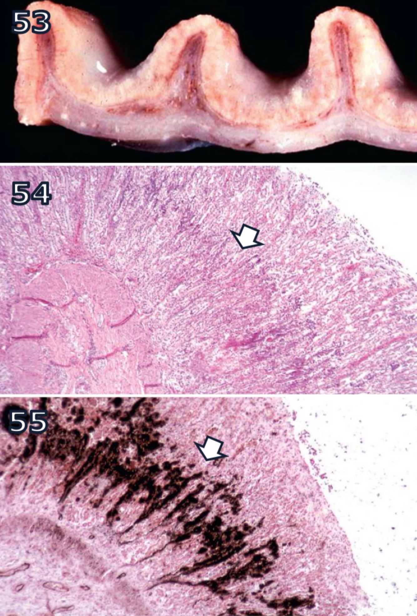
dystrophic calcification = as part of necrosis

grossly as chalky white deposits w/ brittle or gritty texture

How well did you know this?
1
Not at all
2
3
4
5
Perfectly
2
Q

Dystrophic Calcification

A

loss of ability to regulate cellular Ca2+ balance = critical point turning reversible to irreversible injury

ischemia opens membrane calcium channels
- leads to increased IC calcium con.
- activates calpains = cleave Na2+/Ca2+ exchangers in mitochondrial + other CMs
- decreased efflux of Ca2+ + decreased reuptake of Ca2+ by ER
- calcium overload = expected sequel to cell death

most prominent in mitochondria + 1st evident as basophillic stippling of dead cells
- more calcificiation, more intense + widespread basophillia

calcification is gross lesion for which myocardial + skeletal muscle necrosis of vit. E or selenium deficiency in ruminants (white muscle dz)

also prominent inL
1) other forms of necrosis
2) parasitic granulomas
3) necrotic fat or lipomas

How well did you know this?
1
Not at all
2
3
4
5
Perfectly
3
Q

Dystrophic Calcification of Skin

A

Calcinosis cutis:
- poorly understood form of epithelial + collagenous calcification seen mainly in canine hyperglucocirtucoidism

Calcinosis Circumscripta:
- localized deposit of calcium salts in dermis/subcutis + less often in tongue
- common over bony prominences of distal limbs in young dogs of large breeds
- also occurs in other species like horses
- probably a form of dystrophyc calcification + attributed to repetitive trauma

How well did you know this?
1
Not at all
2
3
4
5
Perfectly
4
Q

Metastatic Calcification

A

targets intima + tunica media of vessels

primary defect is imbalance in blood calcium + phosphate conc.

How well did you know this?
1
Not at all
2
3
4
5
Perfectly
5
Q

Metastatic Calcification + Chronic Kidney Disease

A

phosphate retention is the cause of calcium-phosphate imbalance

  • in uremic gastropathy, damage to arteries + arterioles results in ischemic injury + calcification of gastric mucosa
  • calc. of renal failure evident in lungs, pleura, endocardium
  • in H&E, calc. imparts a subtle basophillic stippling
  • vin Kossa histo technique blackens calcium phosphate or calcium carbonate salts
How well did you know this?
1
Not at all
2
3
4
5
Perfectly
6
Q

Metastatic Calcification + Vit. D toxicosis

A

characterized by calcium-phosphate imbalance

calcinogenic plants (like jasmine) contain glycosides that cause elevared serum calcium conc. + often severe calc. of lungs, kidneys, heart -> esp. atrial endocardium + ascn. aorta

dogs + cats can be poisoned by rodenticides containing cholecalciferol

How well did you know this?
1
Not at all
2
3
4
5
Perfectly
7
Q

Metastatic Calcification + PTH

A

inappropriately elevated PTH or secretion of PTH-related peptide cause hypercalcemia + metastatic calcification
- primary hyperparathyroidism = result of PTG neoplasia (uncommon)
- certain non-PT neoplasms associated with humoral hypercalcemia of malignancy (pseudohyperparathyroidism)

How well did you know this?
1
Not at all
2
3
4
5
Perfectly
8
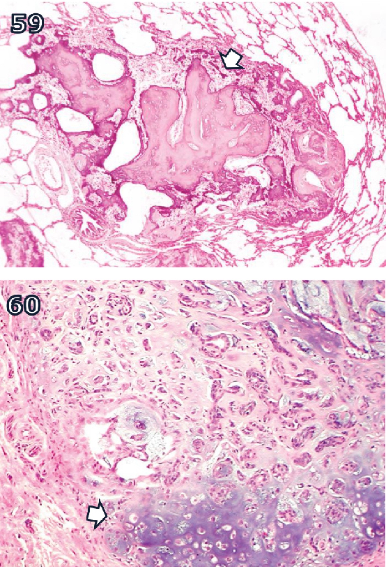
Q

Heterotropic Ossification

A

formation of bony tissue at extraskeletal site
- entails osteoid deposition by osteoblasts wiht remodeling + mineralization to form bone
- appears as grossly hard spicules + nodules

pathologic calc. of soft tissue doesn’t necessarily entail ossification

small bony spicules commonly encountered as incidental findings in lung of old dogs

nodular deposits of cartilage + bone may form bulk of canine mixed mammary tumor
- myoepithelial cells thought to give rise to chondrocytes + osteoblasts

How well did you know this?
1
Not at all
2
3
4
5
Perfectly