Pigments Flashcards

(21 cards)

1
Q

Carbon + Other Dusts

Exogenous Pigmented Substances

A

coal mine dust lung dz (black lung) = pneumoconiosis
- major dust-inhalded = carbon (anthracosis)
- black discoloration in lung

many are not assoc. w/ clinical dz
- fine gray-black stippling to lungs + dark discoloration f tracheobronchial lymph nodes

carbon particles deposited in alveolar spaces phagocytized by macrophages
- transport to BALT + tracheobronchial ln.

histo:
- indigestible carbon particles + other dusts appears as fine black granular + crystalline material in macrophages adjacent to intrapulmonary airways + vasculature

usually incidental in older animals
- coal + other dusts (esp. silica) can elicit inflammatory response + promote progressive fibrosis

macrophages laden with carbon particles also have diminished capacity to phagocytize + destroy infectiuous agents

How well did you know this?
1
Not at all
2
3
4
5
Perfectly
2
Q

Carotenoid Pigments

Exogenous Pigmented Substances

A

abundant in leafy green plants + imparts yellow coloration to plasma, adipose tissue + other lipid-laden cells
- esp. in horses + dairy cattle of high milk fat breeds

not a lesion
- just a dietary indicator
- carotenoids stored in fat are source of antioxidants

carotenoids are fat soluble + removed during histo processing

How well did you know this?
1
Not at all
2
3
4
5
Perfectly
3
Q

Tetracycline

Exogenous Pigmented Substances

A

tetracycline binds to calcium phosphate in teeth + bones

if administered to animals during time of tooth mineralization, tetracycline results in permament discoloration
- initially yellow but after tooth errupts + gets exposed to light = oxidation changes color to brown

yellow discoloration (w/ bright yellow fluorescence under UV light) also observed in bone

How well did you know this?
1
Not at all
2
3
4
5
Perfectly
4
Q

Melanin

Non-hematogenous Endogenous Pigments

A

pigment responsible for color of hair, skin, iris
- also colors leptomeninges in black-faced sheep/cattle
- may be present multifocally in oral mucosa of various species

melanosis common on aortic intima in ruminants w/ pigmented coats + on lungs of red or black pigs

congenital melanosis = merely a color change, not lesion

Melanocytes = synthesize + secrete melanin
- derived from neural crest + mirage to site of pigment production during embryonic dev.
- melanin formed in melanosomes then transferred through dendritic cells to keratinocytes

in skin, melanocytes reside in stratum basale of epidermis + follicular epithelium

histo = melanin granules small, brown + non-refractile

can be diminished or excessive in disease

melanin synthesis:
- conversion of tyrosine to DOPA (catalyzed by tyrosinase - Cu containing enzyme)
- lack of tyrosinase results in albinism
- sheep/cattle w/ copper defficiency = fading coat color

How well did you know this?
1
Not at all
2
3
4
5
Perfectly
5
Q

Melanin + Diseases

Non-hematogenous Endogenous Pigments

A

partial albinism in Chediak-Higashi Syndrome
- recognized in mink, persians + mice
- caused by mutation of LYST (lysosomal trafficking regulator protein)
- melanocytes have enlarged melanosomes but melanin not transferred effectively to keratinocyes
- coat color is pastel shade of what should’ve been

normally pigmented skin + hair can also become depigmented bc of immune-mediated attack of menalocytes (vitiligo) or basilar keratinocytes (lupus erythematosus)

dead keratinocytes spill melanin into dermis (pigmentary incontinence) + phagocytized by macrophages (melanophages)

hyperpigmentation = excessive melanin
- can be common epidermal response to chronic injury
- often assoc. w/ endocrine skin dz
- melanin granules numerous but in all layers of epidermis

neoplasms of melanocytes can be darkly pigmented or amelanotic

How well did you know this?
1
Not at all
2
3
4
5
Perfectly
6
Q

Lipofuscin

Non-hematogenous Endogenous Pigments

A

yellow-brown lipoprotein
- accumulates as residual bodiesin secondary lysosomes
- esp. in long-lived post-mitotic cells
- esp. in aged animals

known as wear-&-tear pigment of aging
- accumulation in myocardium has linear correlation with age of dog
- little or no bad effect on cells

autoflourescent
reacts w/ fat stains
carb moieties = PAS +

How well did you know this?
1
Not at all
2
3
4
5
Perfectly
7
Q

Ceroid

Non-hematogenous Endogenous Pigments

A

lipofuscin-like pigment
- accumulates in dz states such as neuronal ceroid-lipofuscinosis, cachexia, vit. E deficiency, or other oxidative stress.

can be grossly evident in tunica muscularis of SI in dogs w/ vit. E deficiency or in dogs w/ ceroid-lipofuscinosis

How well did you know this?
1
Not at all
2
3
4
5
Perfectly
8
Q

Lipofuscin + Ceroid

Non-hematogenous Endogenous Pigments

A

both are autoflourescent lipoproteins w/ similar but not identical spectra

ultrastructurally, lipofuscin has granular appearance while ceroid forms membranous stacks or whorls

protein content of lipofuscin heterogenous
- subunit c of mitochondrial ATP sythase is predominant component of ceroid in neuronal ceroid-lipofuscinis

lectin histochemistry = distinguish neurona ceroid from lipofuscin by its sugar moieties

How well did you know this?
1
Not at all
2
3
4
5
Perfectly
9
Q

Hemoglobin

Hematogenous Pigments

A

consists of 4 globular protein subunits each folded around a central, non-protein, iron-containing heme group

oxyhemoglobin = gives oxygenated blood ins red color + pink tinge to well-oxygenated tissues

deoxygenated hgb explains blue cast to venous blood + accounts for cyanosis of hypoxic tissues

How well did you know this?
1
Not at all
2
3
4
5
Perfectly
10
Q

Hgb + Cyanide

A

CN- bocks oxidative phosphorylation in mito by binding cytochrome oxidase
- result = cells can’t use oxygen in hgb

in cases of cyanide poisoning = venous blood as read as arterial

herbivores = caused by consumption of plants w/ cyanogenic glycosides

How well did you know this?
1
Not at all
2
3
4
5
Perfectly
11
Q

Hgb + CO

A

Hgb has much higher affinity for CO than for oxygen

carboxyhemoglobin colors blood bright cherry head + imparts bright pink color to tissues in cases of CO poisoning

How well did you know this?
1
Not at all
2
3
4
5
Perfectly
12
Q

Hemoglobin + Nitrite

A

Nitrite poisoning = consumption of nitrate-accumulating plants in ruminants or from water source contaminated w/ nitrate runoff from fertilized fields

nitrate converted into rumen to nitrite ->- oxidize iron in heme group of Hgb to Fe3+ state -> converts hemoglobin to methemoglobin -> turns color of blood to a chocolate brown

How well did you know this?
1
Not at all
2
3
4
5
Perfectly
13
Q

Hemoglobin + IV Hemolysis

A

released Hgb imparts transparent pink tinge to plasma/serum

kidneys = IV Hgb passes throughglom. capillaries into urinary filtrate (hemoglobinuria) w/ formation of Hgb casts in renal tubules + reddisch discoloration of ruine
- turns color of renal parecnhyma from dark red to gunmetal blue

similar or browner discoloration of kidney + urine occurs with myogobinuria
- derived from injured skeletal m. fibers

How well did you know this?
1
Not at all
2
3
4
5
Perfectly
14
Q

Hematin

Hematogenous Pigments

A

brown-black, Fe3+ containing pigment formed by oxidation of Hgb

can be removed by soaking dewaxed tissue section before H&E staining in saturated alcoholic solution of picric acid

How well did you know this?
1
Not at all
2
3
4
5
Perfectly
15
Q

Acid hematin

Hematogenous Pigments

A

forms in tissues fixed in un-buffered, acidic formalin

appears as dark brown to nearly black granular or crystalline material in vessels or other areas where erythrocytes are numerous

postmortem change = not a lesion

How well did you know this?
1
Not at all
2
3
4
5
Perfectly
16
Q

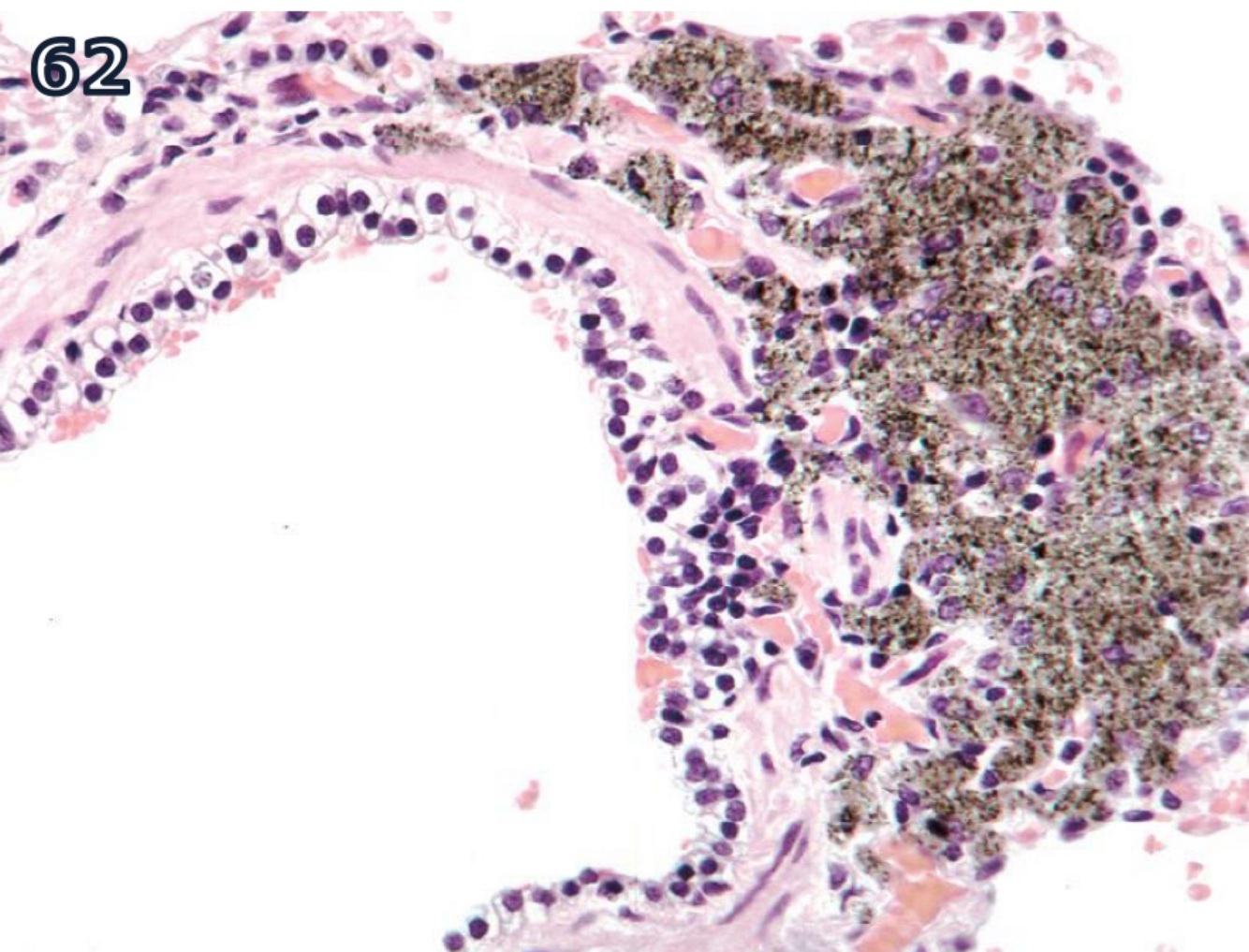
Parasitic Hematin

Hematogenous Pigments

A

prasites infecting or consuming RBCs liberate heme during proteolysis of Hgb

free heme is toxic but parasites have evolved to aggregate it into heme dimers

accounts for blacking of migration tracts by juvenile liver flukes in ruminants + for black speckling of lungs in macaques infested w/ lung mite

17
Q

Hemosiderin

Hematogenous Pigments

A

free iron is toxic to cells by catalyzing formation of ROS via Fenton reaction

Ferritin present in all tissues, binds free iron + stores it in nontoxic form for use by cell

serum ferritin conc. correlate with iron stores

accumulations of ferritin bound with iron are converted to golden bronw granules of hemosiderin, mainly in macrophages + less so in hepatocytes or renal tubular epithelial cells

prussian blue reaction detects iron of hemosiderin in tissue sections

iron stores most conspicuous in speen + hemosiderosis occurs when there’s increase in erythrocyte destruction

rarely excess iron can be derived from diet or other external sources

presence of hemosiderin-laden macrophages can also indicate chronic passive congestion

if abundant, imparts brownish discoloration to tissues

one of the pigments that typifies a bruise

18
Q

Hematoidin

Hematogenous Pigments

A

bright-yellow crystalline pigment derived from hemosiderin but is free of iron

biochemically similar t bilirubin

deposited in tissues at sites of hemorrhage

19
Q

Bilirubin

Hematogenous Pigments

A

normally present in low amounts in plasma as breakdown product of RBCs

RBCs phagocytized + lysed by macrophages -> globular protein components of Hgb broken down into AAs -> after removal of iron, heme converted by heme oxygenase to billiverdin -> converted to bilirubin by biliverdin reductase -> unconjugated bilirubin released into blood + carried as albumin-bilirubin complex to liver -> conjugation wiht glucoronic acid + secretion into bile canaliculus

mutant corrieale + southdown sheep = dev. conjugated hyperbilirubinemia
- atrributed to defective ATP-dependent transport system
- can conjugate bilirubin but can’t secrete into bile efficienctly

20
Q

Bilirubin : Icterus

Hematogenous Pigments

aka jaundice

A

hyperbilirubinemia resulting in yellow staining of tissue

classified pathogenically as:
1) prehepatic icterus = caused by hemoysis or any process that increases turnover of erythrocytes + delivers more unconjugated bilirubin to liver than it can accomodate

2) hepatic icterus = result of hepatocellular injury that decreases uptake, conjugation or secretion of bilirubin

3) posthepatic icterus = outflow of bile from liver into intestine via biliary system is reduced by obstruction

grossly = easiest to see in pale or colorless tissues + even in pale liver

not observed histologically but often assoc. w/ cholestasis

21
Q

Porphyria

hematogenous pigments

A

heme synthesis disorders resulting in deposition of porphyrrin pigments in tissues

porphyrrin ring in Hgb mol. composed of 4 pyrrole moieties linked together around central iron

congetinal erythropoietic porphyrias (pink tooth) of calves, cats + pigs
- result of genetic defects caused by deficiency of uroporphyrinogen III synthase
- teeth, bone + urine red-brown + fluoresce red under UV light

feline disease mapped to 2 missense gene mutations in the synthase