Module 2: M mode Flashcards

(48 cards)

1
Q

What is M mode or motion mode?

A

It displays the motion of a single line of imaging stretched over time

How well did you know this?
1
Not at all
2
3
4
5
Perfectly
2
Q

What structures is M mode good at assessing?2

A
  1. LV wall
  2. MV
How well did you know this?
1
Not at all
2
3
4
5
Perfectly
3
Q

What is the typical framerate of M-mode?

A

1800 FPS

How well did you know this?
1
Not at all
2
3
4
5
Perfectly
4
Q

Between M mode and 2D which has the higher Temporal (time) Resolution?

A

M-mode has a much higher temporal resolution

How well did you know this?
1
Not at all
2
3
4
5
Perfectly
5
Q

How does M- mode work?

A

Uses a single scan line to sample at extremely high rates

How well did you know this?
1
Not at all
2
3
4
5
Perfectly
6
Q

With FR in the thousands M-mode has the ability to make fast structures appear how?

A

Continuous

How well did you know this?
1
Not at all
2
3
4
5
Perfectly
7
Q

What is M-mode excellent for?3

A
  1. Imaging all four valves
  2. Correlating electrical and mechanical events such as ventricular motion
  3. Precise measurements of cardiac dimensions
How well did you know this?
1
Not at all
2
3
4
5
Perfectly
8
Q

It is standard practice to record M-mode at how many levels? 3

A

Three levels
1. Aortic valve
2. Mitral valve
3. LV base

How well did you know this?
1
Not at all
2
3
4
5
Perfectly
9
Q

What is the general principle of M-mode?

A

M-mode shows one scan line displayed over time, and that line must be perpendicular to the structure of interest

How well did you know this?
1
Not at all
2
3
4
5
Perfectly
10
Q

Should we measure with M-mode if not aligned?

A

No, if a measurement is made when oblique there will be a overestimation of dimension

How well did you know this?
1
Not at all
2
3
4
5
Perfectly
11
Q

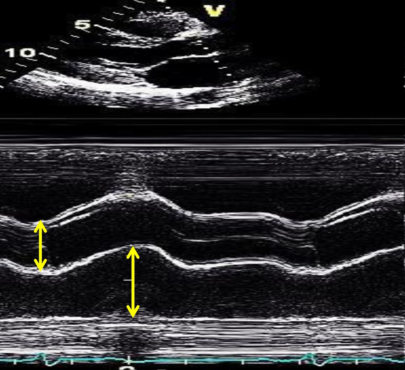
What is the purpose of AV/LA M-mode?4

A

Assess the following
1. Variations in LA size (Related to rhythm)
2. LA size during systole (enlarged?)
3. AV cusp morphology (thickened?)
4. AV cusp excursion (opening?)

How well did you know this?
1
Not at all
2
3
4
5
Perfectly
12
Q

What is the process of getting the AV/LA level M mode window? 3

A
  1. Set the cursor line
  2. Transect through the AV leaflet tips
  3. Parallel to AV valve plane
How well did you know this?
1
Not at all
2
3
4
5
Perfectly
13
Q

Label the picture

A
  1. LA Filing
  2. LA Emptying
  3. Conduit phase
  4. Rapid phase
  5. Atrial systolic phase
How well did you know this?
1
Not at all
2
3
4
5
Perfectly
14
Q

Label the structures of AV/LA M-mode

A
  1. Anterior Ao Root
  2. RCC AV cusp
  3. NCC AV cusp
  4. Posterior Ao root
  5. LA
  6. AV Closure line
How well did you know this?
1
Not at all
2
3
4
5
Perfectly
15
Q

What are the two measurements we take for AO/LA M mode?

A
  1. Aortic root end diastole
  2. LA end systole
    use leading to leading measurement
How well did you know this?
1
Not at all
2
3
4
5
Perfectly
16
Q

Label the measurements from left to right

A
  1. Aortic root end diastole (it’s at QRS)
  2. LA (its at end systole @ its largest)
How well did you know this?
1
Not at all
2
3
4
5
Perfectly
17
Q

What is the purpose of M-mode of the MV? 4

A

To assess the following
1. MV morphology (thickening)
2. MV motion (stenosis/ prolapse)
3. Severity of an aortic valve leak which would affect movement of the MV
4. Indirect assessment of LV systolic function

How well did you know this?
1
Not at all
2
3
4
5
Perfectly
18
Q

Is there any measures needed for the M- mode of the MV?

A

Nope!

How well did you know this?
1
Not at all
2
3
4
5
Perfectly
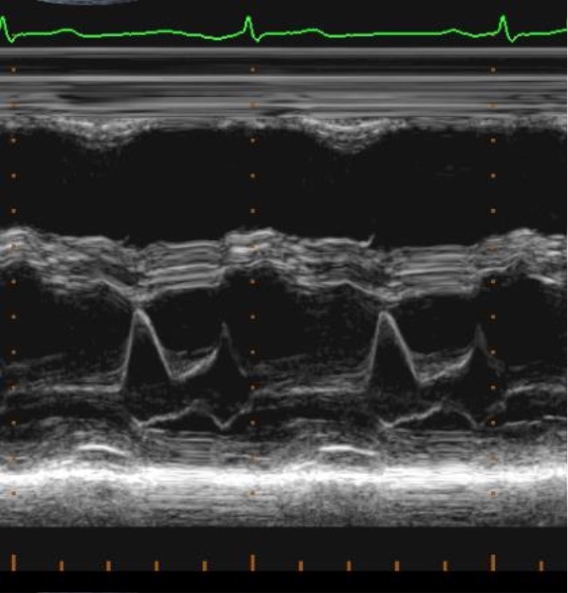
19
Q

Label the wave

A
  1. Atrial Diastole
  2. Atrial Systole
  3. Atrial Diastole
  4. Ventricular Diastole
  5. Ventricular Systole
  6. Ventricular diastole
How well did you know this?
1
Not at all
2
3
4
5
Perfectly
20
Q

What is the appearance of the MV in m mode?

A

Batman symbol

21
Q

When taking a M- mode MV, it is important to do what?

A

Have the cursor at the point of coaptation of the MV leaflets

22
Q

What does the E/A MV values mean? 2

A
  1. E wave = early filling (LV sucking in blood)
  2. A wave = Atrial Kick (Atria Contracting)
23
Q

Label the structures for a MV waves from left to right

A
  1. E wave (Early filling) first peak of the M
  2. A wave (Atria Contracting) second peak
24
Q

What is normal EPSS measurement?

25
How does MV M-mode in dilated cardiomyopathy look like?
Gap between the MV and the IVS when the MV is fulling opening
26
What is Mitral Stenosis? 2
1. Reduced MV leaflet excursion 2. Thickened leaflets
27
What is SAM (systolic anterior motion?)
When the AMVL is dragged anteriorly during mid systole
28
What is MVP- Mitral valve prolapse?
One or both mitral valve leaflets are dragged backwards into the LA during systole
29
Where is the M-mode of the LV taken?2
It is taken at: 1. LV base just past the MV leaflet tips 2. Level of Chordae tendonae
30
What must we remember in terms of getting a M-mode image of the LV?
Must attempt to make the IVS as flat as possible before recording
31
Why is it useful to have a M-mode of the LV? 3
Very useful to assess 1. **Wall motion** 2. **Ejection fraction/ fractional shortening** 3. Subtle wall motion abnormalities of the IVS
32
Label the M-mode image of the LV
1. RV 2. LV 3. ED 4. ES
33
Label the M-mode image of the LV from top to bottom
1. RV Ant. Wall 2. Septum 3. Post LV wall 4. Pericardium
34
What are the M-mode measurements for LV Diastole? 3
1. IVSd 2. LVIDd 3. LVPWd
35
What part of the ECG do we take the diastolic measures for LV M-mode?
QRS
36
What Systole M-mode measurements for LV do we take?
LVIDs
37
What are some tips to get the measurements for LVIDs?
Measure when the LV is at its smallest
38
How should we measure the IVSd for LV M-mode?
RV side of the LV septum to LV cavity
39
How should we measure the LVIDd for LV M-mode?
Posterior IVS to the posterior wall
40
How should we measure the LVPWd for LV M-mode?
LV cavity to the epicardium
41
What is the formula for fractional shortening?
42
What is the formula for ejection fraction?
43
How do we calculate relative wall thickness?
44
how often do we get a M-mode of the PV?
Performed infrequently
45
What may the M-mode of the PV be used to diagnose?
Pulmonary hypertension
46
What is the Pulmonary PV hypertension M-mode known as?
The flying W
47
What can Anatomical M-mode correct for? And how?
Poor alignment to any structure by crossing over multiple scan lines. *green line in the image is the AMM, white dotted line is the original M-mode cursor*
48
What is the RV systolic function measurement?
In the Normal RV, the TV annulus moves >17mm toward and away from the apex over the cycle