PSAX Doppler Flashcards

(32 cards)

1
Q

What is the order of images for PXAS doppler?

A
  1. Optimized 2D
  2. Optimized colour doppler
  3. Optimized spectral doppler (PW, CW)
How well did you know this?
1
Not at all
2
3
4
5
Perfectly
2
Q

What is the PSAX base routine order? 5

A
  1. AV colour
  2. TV colour
  3. TV CW (+/- TR Jet mmts)
  4. PV colour
  5. MV Colour
How well did you know this?
1
Not at all
2
3
4
5
Perfectly
3
Q

What are some things to remember when you get a PSAX AV colour image? 3

A
  1. Zoom
  2. Colour box slightly wider than AV annulus
  3. If there is regurgitation is present, You should see it here.
How well did you know this?
1
Not at all
2
3
4
5
Perfectly
4
Q

When you zoom on PSAX AV colour what should you see?

A

A bit around the AV too

How well did you know this?
1
Not at all
2
3
4
5
Perfectly
5
Q

What are some tips to get the PSAX PV image? 2

A
  1. Same as PSAX but we’re centring the valve
  2. Start with a good 2D image
How well did you know this?
1
Not at all
2
3
4
5
Perfectly
6
Q

If we are getting a PSAX RV inflow image, and we can’t see the valve opening what does this mean?

A

We are not going to see the TR jet

How well did you know this?
1
Not at all
2
3
4
5
Perfectly
7
Q

What are some things we need to remember when we get a PSAX TV colour clip? 4

A
  1. Sector down
  2. Sweep and assess for TR
  3. Colour box just as wide as annulus
  4. Keep FR up!
How well did you know this?
1
Not at all
2
3
4
5
Perfectly
8
Q

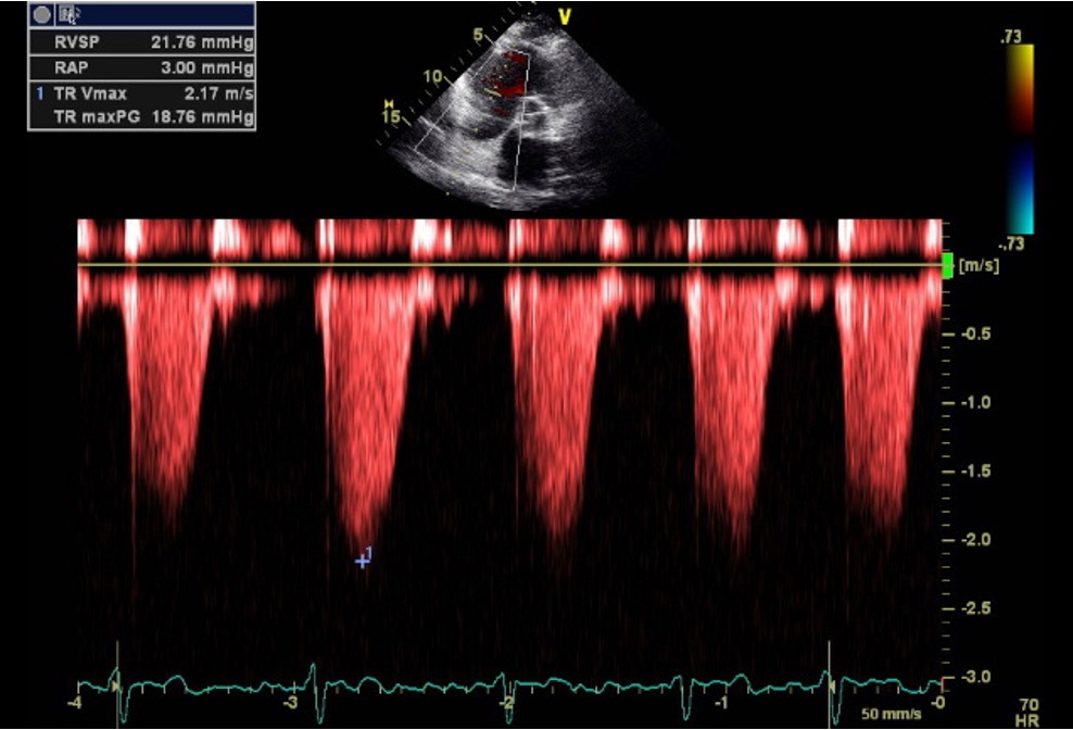
What should we remember when we get a PSAX TV CW clip? 3

A
  1. Place the cursor through centre of TR jet, TV coaptation zone if no TR
  2. Baseline 1/4 from top with 2.4 m/sec below baseline even if no TR is seen
  3. Measure if parabolic jet seen
How well did you know this?
1
Not at all
2
3
4
5
Perfectly
9
Q

Should we measure the the TR?

A

Yes because we can see the peak

How well did you know this?
1
Not at all
2
3
4
5
Perfectly
10
Q

Should we measure this TR?

A

No because we would be guessing. See how the furies is right in the blue jet?

How well did you know this?
1
Not at all
2
3
4
5
Perfectly
11
Q

How normal is it for TR?

A

80% of us have TR

How well did you know this?
1
Not at all
2
3
4
5
Perfectly
12
Q

What are some tips we should remember for PSAX PV colour?

A
  1. Make the colour box just wide enough
  2. Sweep and assess PV
  3. PV colour can also be done in PSAX
How well did you know this?
1
Not at all
2
3
4
5
Perfectly
13
Q

For a PSAX RVOT/PV Spectral doppler what do we need to show? What will we see if it is available?

A
  1. Pulmonary regurgitation
  2. RVOT
How well did you know this?
1
Not at all
2
3
4
5
Perfectly
14
Q

For PSAX RVOT/PV spectral doppler why do we need to see pulmonary regurgitation? And what do we need to do if we see it?

A
  1. We want to find higher velocities if they are there.
  2. CW
How well did you know this?
1
Not at all
2
3
4
5
Perfectly
15
Q

For PSAX RVOT/PV spectral doppler what should we see in the RVOT? What should we do with it? And what do we use?

A
  1. We will see slower velocities,
  2. This means we want to sample the RVOT using PW
How well did you know this?
1
Not at all
2
3
4
5
Perfectly
16
Q

For a PSAX RVOT PW image we need to look for a PV “closing click” what should these look like?

A

These are the really thing lines under the baseline

17
Q

What should the SV measure on the RV side of the PV?

18
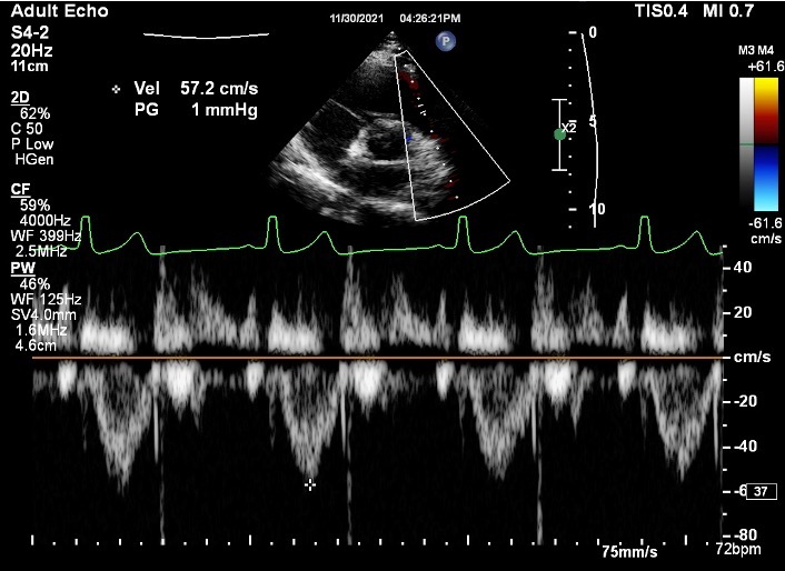
Q

For PSAX RVOT PW what should we measure?

A

Peak velocity or trace VTI

19
Q

For PSAX RVOT PW we need to assess what?

A

The RV outflow velocity, because many congenital abnormalities result in an increase in velocity in this area

20
Q

On the PSAX RVOT PW image, if PV has regurgitation what do we do?

A

It is ignored for PW because optimization of spectral should be on forward flow

21
Q

What will the PSAX RVOT PW also be used for in terms of calculation?

A

RV stroke volume calculation

22
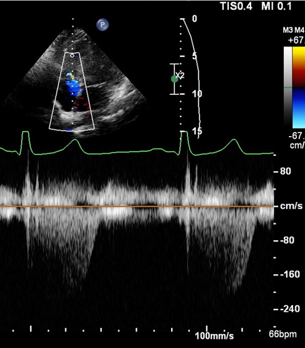
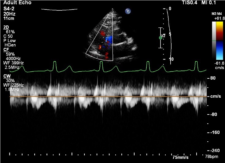
Q

What do we measure for PSAX PV CW image?

A

Peak velocity, these are found in vessels screen of calc packages

23
Q

Where should the baseline be for PSAX PV CW image?

A

Baseline should be near top

24
Q

How should we adjust scale for PSAX PV CW?

A

Adjust scale to waveform seen

25
What do we use CW for on a PSAX CW PV image? 2
We use it Interrogate the PV for 1. Pulmonary valve stenosis 2. Pulmonary valve regurgitation
26
What are some PV non-routine measurements? 3
1. Pulmonary acceleration time (PAT) 2. PR end-diastolic velocity 3. PR peak velocity
27
What do we use Pulmonary acceleration time?
to calculate mPAP
28
What do we use PR end- diastolic velocity?
To calculate PAEDP
29
What do we use PR peak velocity for?
To calculate mPAP
30
What should we remember in terms of getting a PSAX MV colour image? 3
1. Colour box only slightly wider than MV 2. Keep FR high 3. Sweep and assess MV
31
For a PSAX MV colour image, if we see MR what does this mean?
It means that we probably seen it in the PLAX image
32
Why should we sweep the APEX?
Sweeping all the way to the apex in PSAX will allow you to detect this muscular ventricular septal defect (VSD), which sits at the apex