Module 2: PSAX protocol Flashcards

(42 cards)

1
Q

For PSAX images how is the patient positioned?

A

Left lateral Decubitus

How well did you know this?
1
Not at all
2
3
4
5
Perfectly
2
Q

What are some tips for positioning the patient to get good views?

A

Drop the right shoulder back to open up the intercostal spaces

How well did you know this?
1
Not at all
2
3
4
5
Perfectly
3
Q

How do we get the PSAX view?

A

From PLAX view, Tilt AV into center, then turn 90 degrees, keeping the same tilt

How well did you know this?
1
Not at all
2
3
4
5
Perfectly
4
Q

Where should we tilt the indicator for PSAX view?

A

Patients left shoulder

How well did you know this?
1
Not at all
2
3
4
5
Perfectly
5
Q

To get different PSAX views what will we do?

A

Slide and angle along the long axis of the heart

How well did you know this?
1
Not at all
2
3
4
5
Perfectly
6
Q

What are some tips if you have trouble with PSAX?

A
  1. When in doubt, go back to PLAX to get centered
  2. Don’t over rotate!
How well did you know this?
1
Not at all
2
3
4
5
Perfectly
7
Q

If we over rotate for when getting into the PSAX window how do we know?2

A
  1. Make sure that the AV is round and symmetrical at base, and not opening sideways
  2. MV is round and symmetrical at MV level opening sideways
How well did you know this?
1
Not at all
2
3
4
5
Perfectly
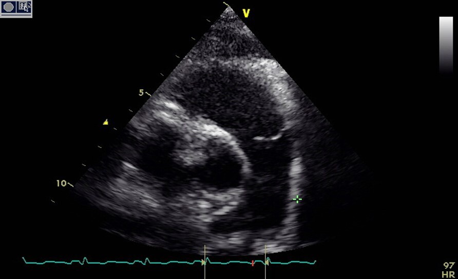
8
Q

What is important for us to see for a PSAX base level? 3

A

Must see three things clearly
1. TV
2. AV
3. PV must be seen, but may not open up to PA

How well did you know this?
1
Not at all
2
3
4
5
Perfectly
9
Q

Where should we have the focus for the PSAX base image?

A

AV

How well did you know this?
1
Not at all
2
3
4
5
Perfectly
10
Q

Where should the depth be placed for a PSAX base image?

A

Slightly past LA

How well did you know this?
1
Not at all
2
3
4
5
Perfectly
11
Q

How do we get into the PSAX AV zoom window?

A
  1. Use write zoom by punching the zoom dial, then adjust size
  2. Make sure there is some room around the AV
How well did you know this?
1
Not at all
2
3
4
5
Perfectly
12
Q

What should we see during the PSAX- AV zoom?

A

All three leaflets

How well did you know this?
1
Not at all
2
3
4
5
Perfectly
13
Q

What happens if you can’t see all the leaflets open symmetrically during PSAX - AV zoom?

A

You are off axis

How well did you know this?
1
Not at all
2
3
4
5
Perfectly
14
Q

Why do we use zoom for a PSAX AV window?

A

Look for abnormal AV (congenital or bicuspid valves)

How well did you know this?
1
Not at all
2
3
4
5
Perfectly
15
Q

What is AV sclerosis?

A

Thickening/ Calcification at the AV cusps

How well did you know this?
1
Not at all
2
3
4
5
Perfectly
16
Q

How do we get into the PSAX- TV focus view?

A
  1. From the PSAX base view tilt the probe to center the TV centering required
  2. Sector down on TV sector is not required
How well did you know this?
1
Not at all
2
3
4
5
Perfectly
17
Q

What should we see on a PSAX TV focus?

A

2 TV leaflets clearly

18
Q

For the PSAX TV focus view what level should we be at?

A

Should still be at the level of the AV, or you may be too low

19
Q

How should we get into the PSAX PA level window?

A

You might be able to get this by simply tilting to center the PC
you may need to angle more superiorly with a slight CC rotation

20
Q

What should we see clearly in the PSAX PA level?

A
  1. RVOT
  2. PV
  3. MPA + Bifurcation (left and right PA)
21
Q

The PSAX PA level image is most similar to which other view?

22
Q

Which PSAX window is the most superior?

A

PSAX PA level

23
Q

How should we get into the PSAX MV level window?

A

Can usually be obtained by angling slightly towards the apex from base level

24
Q

How should the MV appear in the PSAX MV level window?

A

Round and symmetrical if not you are off axis, most likely over rotated clockwise

25
In the PSAX MV level if the MV opens towards the LT side of the screen how should we rotate?
clockwise
26
If the M appears to open to the RT side of the screen how should we rotate?
counterclockwise
27
What should see during the PSAX MV window? 6
1. RV free wall 2. RV chamber 3. IVS 4. AMVL 5. PMVL 6. MV annulus
28
The MV posterior leaflet edge should appear how during PSAX MV level?
Equidistant from all sections of the posterior wall. *Not lopsided*
29
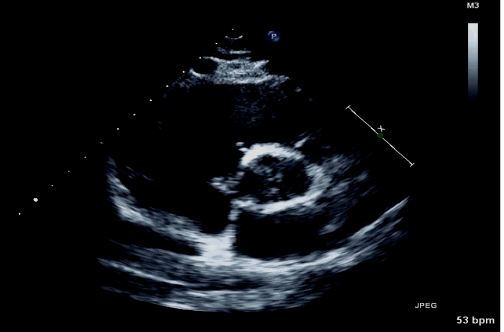
How should we get into the PSAX LV base level?
**Millimeters below the MV level at the level of the chordae tendonae**
30
What should we see during the PSAX LV base image?
1. Chordae which resemble eyelashes 2. Maybe some floating papillary muscles
31
How do we know if we are to superior and out of the window of the PSAX LV base window?
We see MV leaflets
32
How do we know if we are to inferior and out of the window of the PSAX LV base?
We see papillary muscles that are attached to the LV wall
33
How do we get into the PSAX mid(pap) level window?
Slide towards the apex
34
How should the LV appear during the PSAX mid (pap) level?
LV should appear round
35
How should the Pap muscles look during the PSAX Mid (pap) level?
**Should both be attached to the LV wall** If not we are off rotation and most likely over rotated too far clockwise
36
What are structures we should see in the PSAX mid (pap) level? 6
1. RV free wall 2. RV chamber 3. IVS 4. two Pap muscles (Anterolateral and Posteromedial) 5. Pericardium 6. All walls of the mid LV simultaneously
36
What are structures we should see in the PSAX mid (pap) level? 6
1. RV free wall 2. RV chamber 3. IVS 4. two Pap muscles (Anterolateral and Posteromedial) 5. Pericardium 6. All walls of the mid LV simultaneously
37
How do we get to the PSAX Apex level?
Slide further towards apex and angle further towards apex as well
38
The PSAX apex level what should we see?
All the walls of the LV and a sliver of the RV
39
What is the PSAX apical level window good for?
Pericardial effusion
40
Why is knowing perfusion territories important?
By knowing the names of all the walls and noticing abnormal movement of the wall **we can indirectly diagnose ischemia or infarct of a particular artery**
41
Label the perfusion zones