What is osteogenesis imperfecta?
Osteogenesis Imperfecta (OI) is a genetic condition present from birth.
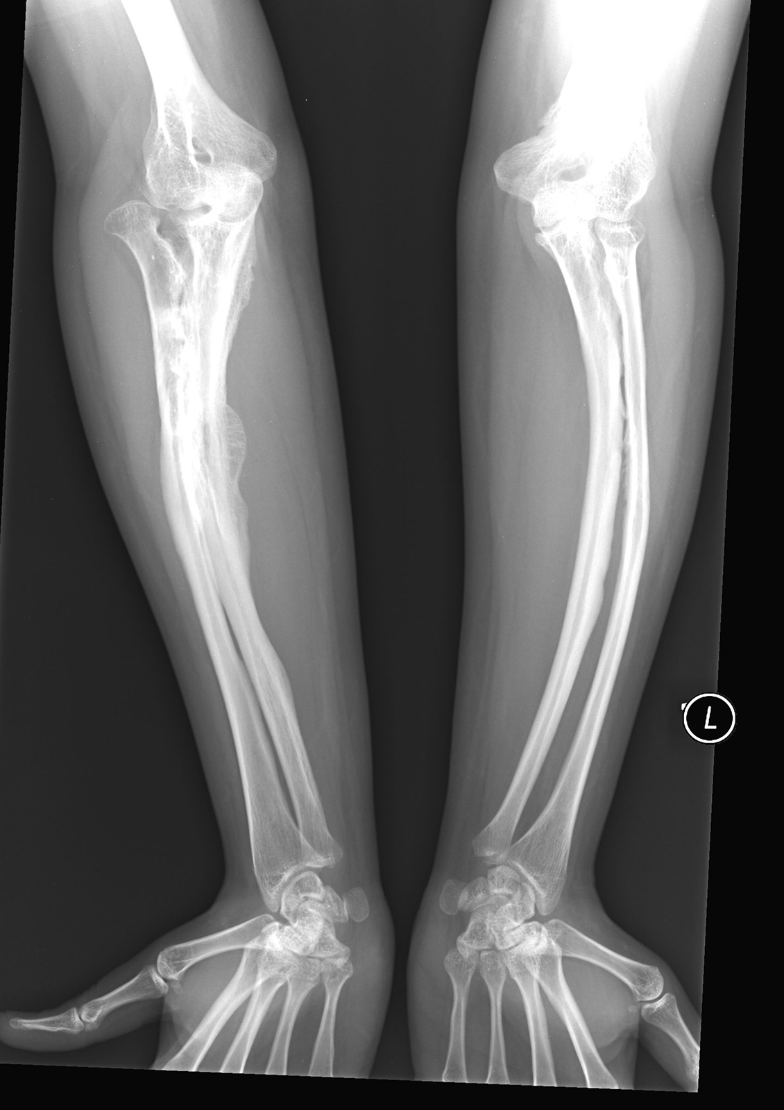
Its primary feature is fractures usually caused by minimal impact
What is the cause of osteogenesis imperfecta?
Defect in the COLIA1 and COLIA2 genes
These produce collagen which is loacking in osteogenesis imperfecta patients
What are the symptoms of osteogenesis imperfecta?
Fractures can occur with minimal force – this varies from child to child.
Bones may have an altered shape, for example, they may be shortened or bowed.
The whites of the eyes may appear more blue or grey than normal.
Joints can be hypermobile or very flexible
Some degree of joint or bone pain may be present
Problems with formation of teeth (dentinogenesis, or DI)
Children with OI may tire easier than other children
Hearing problems are known to affect people with OI usually after puberty.
Children with OI tend to be shorter than other children.

What are the different types of osteogenesis imperfecta?
Type 1
Least severe and most common
Type 2
More severe
Type 3
Very severe
Type 4
Moderate to severe
How is osteogenesis imperfecta diagnosed?
Adjusted
What is the treatment for osteogenesis imperfecta?
What is rickets?
Rickets is a preventable bone disease that causes weak, soft bones.
If a child has softer bones, the bones can bend and become an abnormal shape.
Rickets only occurs in growing bones,
What is the cause of rickets?
Low vitamin D
What are the symptoms of rickets?
How do you diagnose rickets?
What is the treatment for rickets?
Vitamin D
Calcium supplements
What is transient synovitis?
Transient synovitis is sometimes referred to as irritable hip. It generally presents as acute hip pain associated with a viral infection
What is the cause of transient synovitis?
It occurs when a viral infection, such as an upper respiratory infection, moves to and settles in the hip joint.
Who is more common to get transient synovitis?
What age is most common?
Boys are two to four times more likely to develop it
2-10 years old
What are the symptoms of transient synovitis?
How do you diagnose transient synovitis?
What is the treatment of transient synovitis?
Does not require treatment
Take ibuprofen/naproxen
What is septic arthritis?
Painful infection in a joint
What is the most common causative organism for septic arthritis?
Staph Aureus
What are the symptoms of septic arthritis?
Septic arthritis typically causes extreme discomfort and difficulty using the affected joint.
The joint could be swollen, red and warm, and you might have a fever.
How do you diagnose septic arthritis?
Joint fluid analysis
Laboratory tests can determine what organism is causing your infection, so your doctor will know which medications to prescribe.
Blood tests
Signs of infection
Imaging tests
X-rays and other imaging tests of the affected joint can assess damage to the joint.
What is the treatment for spetic arthritis?
Joint aspiration
Arthroscopy if multiple joint aspirations are needed
Open surgery
First Line
Flucloxacillin + fusidic acid
If penicillin allergic
Clindamycin
If MRSA resistant
What is osteomyelitis?
Osteomyelitis is an infection that most often causes pain in the long bones in the legs.
What is the cause of osteomyelitis?
Staphylococcus bacteria
From:
The bloodsteam
Injuries
Surgery