MSK - Upper Limb 2 Flashcards

(63 cards)

1
Q

what are the three parts of the hand?

A

phalanges
metacarpals
carpals

How well did you know this?
1
Not at all
2
3
4
5
Perfectly
2
Q

label the parts of the ulna

A

the suppinator attatches to the suppinator crest

anconeus attatches to roughening for acconeus

Ulna bone
1) Olecranon process
2) Trochlea notch (hosts trochlea of humerus)
3) Radial notch
4) Coronoid Process
5) Ulnar tuberosity

How well did you know this?
1
Not at all
2
3
4
5
Perfectly
3
Q

label what you can of the radius

A
How well did you know this?
1
Not at all
2
3
4
5
Perfectly
4
Q

What does the ulna articulate with?

What does the radius articulate with?

A

Trochlea of humerus - it helps you flex and extend your arm
Head of radius
Distal end of radius

Capitulum- it helps you rotate your arm
Radial notch of ulna
Distally articulates with head of ulna and carpal bones (scaphoid and lunate articular facets)

How well did you know this?
1
Not at all
2
3
4
5
Perfectly
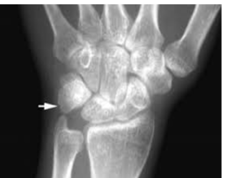
5
Q

Which wrist bone?

A

Pisiform

How well did you know this?
1
Not at all
2
3
4
5
Perfectly
6
Q

what are the diff types of joints

A

pivot
ball and socket
hinge
condyloid
plane
saddle

How well did you know this?
1
Not at all
2
3
4
5
Perfectly
7
Q

What type of joint is the wrist joint?

A

Condyloid (Ellipsoid) synovial joint

How well did you know this?
1
Not at all
2
3
4
5
Perfectly
8
Q

Which carpal bone is most commonly fractured? - falling on hand

A

scaphoid bone - which arti ulates with the radius -

How well did you know this?
1
Not at all
2
3
4
5
Perfectly
9
Q

what movements does the ulnar and radius allow?

A

pronation
supination

How well did you know this?
1
Not at all
2
3
4
5
Perfectly
10
Q

label the different wrist joints and articular disk

A

distal radioulnar = pivot joint

How well did you know this?
1
Not at all
2
3
4
5
Perfectly
11
Q

what movements are allowed by the wrist joints and what is it

A

wrist joint = radiocarpal - is a condyloid joint

circumduction is when all 4 work together

How well did you know this?
1
Not at all
2
3
4
5
Perfectly
12
Q

What type of joint is the metacarpophalangeal joint?

A

joint between a phalanx and metacarpal is called the metacarpal phalangeal joint and it is a condyloid joint

How well did you know this?
1
Not at all
2
3
4
5
Perfectly
13
Q

What type of joint is formed between the carpal bones and metacarpals? AND THUMB?

A

Carpometacarpal plane synovial APART FROM THUMB = SADDLE

How well did you know this?
1
Not at all
2
3
4
5
Perfectly
14
Q

What joint is formed between the radius and carpal bones?
What is this joint also called?

A

Radiocarpal condyloid joint
Wrist joint

How well did you know this?
1
Not at all
2
3
4
5
Perfectly
15
Q

What are the 3 divisions of the phalanges?

A

proximal, middle and distal

How well did you know this?
1
Not at all
2
3
4
5
Perfectly
16
Q

What are the fingers called? thumb?

A

digits and the thumb is called the pollex

How well did you know this?
1
Not at all
2
3
4
5
Perfectly
17
Q

What attaches at the supinator crest of the ulnar?

A

supinator muscle

How well did you know this?
1
Not at all
2
3
4
5
Perfectly
18
Q

What is the roughening for aneconeus?

A

attachment of the aneconeus muscle

How well did you know this?
1
Not at all
2
3
4
5
Perfectly
19
Q

What is the ulnar styloid process?

A

pointed projection on lateral surface of ulnar head which allows for attachment of different ligaments

How well did you know this?
1
Not at all
2
3
4
5
Perfectly
20
Q

Which other bones does the radius articulate with?

A
  • facet for articulation with the scaphoid bone
  • facet for articulation with lunate bone
How well did you know this?
1
Not at all
2
3
4
5
Perfectly
21
Q

What happens at the radial tuberosity?

A

insertion of ligaments which support the elbow

How well did you know this?
1
Not at all
2
3
4
5
Perfectly
22
Q

How are the ulnar and the radius reinforced and held together?

A

interosseous membrane

How well did you know this?
1
Not at all
2
3
4
5
Perfectly
23
Q

What is the anular ligament?

A

strong fibers that completely encircle the head of the radius
- holds head of radius within the radial notch of the ulna

How well did you know this?
1
Not at all
2
3
4
5
Perfectly
24
Q

What is proximal to the anular ligament?

A

radioulnar joint (pivot joint)

How well did you know this?
1
Not at all
2
3
4
5
Perfectly
25
What does the articular disc do?
fibrocartilage which divides joint into upper and lower compartments reinforcing the wrist joint with the distal radioulnar joint
26
Role of ulnar in pronation and supination
ulna is fixed
27
What is the movement range of the wrist?
- abduction and adduction - extension and flexion all of these movements come together to allow for circumduction 4
28
What are the different hand bones? and types of joints
- carpometacarpal and intermetacarpal (plane synovial) - metacarpopharyngeal (condyloid) - interpharangeal (hinge)
29
What is the exception in the carpometacarpal?
thumb which is a saddle joint instead of a plane synovial
30
What are some of the ligaments in the hand reinforcing it?
- palmar radiocarpal - dorsal radiocarpal - ulnar radiocollateral - ulnar/radial collateral ligament (prevent excessive lateral flexion)
31
what is carpal tunnel syndrome
compression of median nerve in carpal tunnel apace due to fracture or inflammation
32
What are the joints in the fingers?
- metacarpophalangeal joint (MCP) = separates the metacarpal and proximal phalanx - proximal interphalangeal joint (PIP) = separates the proximal phalanx and middle phalanx - distal interphalangeal joint (DIP) = separates middle phalanx and distal phalanx
33
Which movements are allowed by interphalangeal joints? Which movements are allowed by the metapharyngeal joints?
flexion and extension due to hinge joint abduction and adduction
34
What are the 6 movements of the thumb? and what joints aid this
1. adduction 2. abduction 3. flexion 4. extension 5. opposition 6. reposition saddle joint at carpal metacarpal joint
35
What are the compartments of the forearm?
anterior and posterior => interosseous membrane holding radius and ulnar
36
What are the anterior and posterior compartments of the forearm?
anterior = flexor and pronators - FAP posterior = extensor and supinators
37
Which nerve mainly supplies the anterior compartment of the forearn?
median nerve except from the flexor carpi ulnaris and the medial two parts of flexor digitorum profundus (supplied by the ulnar nerve)
38
What is the nerve supply to the posterior compartment of the forearm?
radial nerve
39
What are the 3 layers in the anterior compartment of forearm?
superficial, intermediate and deep
40
What are components of the superficial layer of the anterior compartment of forearm? palms protect flexion
- common origin at the medial epicondyle - flexor carpi radialis - flexor carpi ulnaris - pronator teres (2 heads - ulnar and humeral) - palmaris longus
41
How is the flexor carpi ulnaris innervated?
ulnar nerve which runs past the medial epicondyle and hooks between 2 heads of flexor carpi ulnaris
42
What is involved in flexion of forearm? What is involved in extension of forearm? What is involved in abduction of forearm? What is involved in adduction of forearm?
FCR, and FCU ECU and ECRL and ECRB FCR and ECRL and ECRB FCU and ECU
43
What are the components of the intermediate compartment of the forearm?
- flexor digitorium superficialis (only muscle) - flexor retinaculum - flex the proximal interpharangeal joint
44
What is the flexor retinaculum?
Is a double layer of membrane covering the carpal groove anteriorly and produces the carpal tunnel for transmission of flexor muscles and median nerve
45
What are the contents of the deep layer of anterior compartment of forearm?
- flexor pollicis (thumb) longus (runs all the way to distal phalanx of thumb) - pronator quadratus - flexor digitorum profundus (partially innervated by ulnar nerve) - flex distal interphalangeal joint
46
What is the carpal tunnel? Which bones surround the carpal tunnel? What can bad posture cause to the wrist?
space between carpal bones and flexor retinaculum containing all 9 tendons scaphoid, lunate, triquetrum and pisiform irritate tendon = become inflamed = take up empty space m= compress median nerve = carpal tunnel syndrome
47
What are the contents of the superficial layer of posterior compartment?
brachioradialis - start at back of humerus and wrap around to radius again - flex arm in neutral position
48
What are the contents of the intermediate layer of posterior compartment?
-aconeus - ECU - ECRL and ECRB - extensor digitorium - extensor retinaculum
49
What are the contents of the deep layer of posterior compartment?
- supinator - abductor pollicus longus - Extensor pollicus brevis and longus - extensor indicis
50
What is the nervous supply of the posterior forearm?
radial nerve => deep branch of radial nerve and superficial branch of radial nerve
51
what is nervous supply to anteriror part of forearm?
all median nerve except for ulnar nerve flexor carpi ulnaris
52
What branch does the deep branch of radial nerve give?
posterior interosseous nerve
53
Where does the anterior interosseous nerve come from?
median nerve
54
Blood supply of the forearm
brachial artery => radial artery and ulnar artery => ulnar branch divides into posterior and anterior interosseuous branch => anasthomoses of both raidal and ulnar nerve to form superifical and deep palmar branch
55
label
56
What are the thenar muscles? thumb side msucles What is the innervation of the thenar muscle?
adductor pollicis (transverse and oblique head) - flexor pollicis brevis hypothenar is digitis thenar is pollicisb recurrent branch of median
57
What are the hypothenar muscle? What is the innervation of the hypothenar muscles?
- flexor digiti minimi - opponens digiti minimi - abductor digit minimi deep branch of ulnar nerve
58
What intrinsic muscles of the hand?
- interosseous muscle - lumbricals - palmaris brevis - adductor pollicis
59
What are the 2 divisions of interosseous muscles?
dorsal interosseous muscle = abduction palmar interosseous muscle = adduction
60
What are the lumbricals? Function of lumbricals
Deep 4 muscles in the palm of the hand that arise from tendons of flexor digitroum profundus flex at MCP joint and extend DIP and PIP joints
61
How are the 2 palmar arches kept separate?
by adductor compartment
62
What is the common artery for both anasthamoses?
palmar digital artery which splits into proper further up
63
What is the perfusion test in the hands?
Allen's test = see if arteries are well perfused after cannulation