Neuro 1 Flashcards

(48 cards)

1
Q

What are the 3 embryological divisions of the brain?

A
  • forebrain (cerebrum = largest area of the brain and diencephalon)
  • midbrain
  • hindbrain (pons, medulla oblongata, cerebellum)
How well did you know this?
1
Not at all
2
3
4
5
Perfectly
2
Q

What separates the 2 cerebral hemispheres?
What are the 2 cerebral hemispheres kept in connection by?

A

longitudinal fissure
corpus callosum (collection of nerve fibres) - connection

How well did you know this?
1
Not at all
2
3
4
5
Perfectly
3
Q

What is the function of the cerebrum?
what are the 4 lobes?

A
  • conscious thought process
  • memory storage, processing and intellectual function
  • conscious and subconscious regulation of skeletal muscle contraction
How well did you know this?
1
Not at all
2
3
4
5
Perfectly
4
Q

What is the surface layer of the brain called?
What increases the surface area of the cortex?

A

cortex (convoluted apperance) = gray matter

gyri (folds which form ridges/elevation) and sulci (depressions)

How well did you know this?
1
Not at all
2
3
4
5
Perfectly
5
Q

What does the central sulcus do?
What does the lateral sulcus do?
What does the parietooccipital sulcus do?

A

separates frontal and parietal lobes
separates frontal and parietal lobes from temporal lobe
separates the occipital lobe from the parietal lobes

How well did you know this?
1
Not at all
2
3
4
5
Perfectly
6
Q

What is the pre-central gyrus?
What is the post-central gyrus?

A

primary motor area which controls voluntary movement

primary sensory area which receives and interprets sensations

How well did you know this?
1
Not at all
2
3
4
5
Perfectly
7
Q

What is the superior temporal gyrus?
Where is Broca’s area located? what does it do?

A

primary auditory area which controls reception and interpretation of sound

broca’s = just above the lateral sulcus on the LHS of brain -
motor speech which controls movement involved in speech

How well did you know this?
1
Not at all
2
3
4
5
Perfectly
8
Q

Where is Wernicke’s area located? function?

Where is the primary visual area? function?

A

posterior section of the superior temporal gyrus on LHS of brain - speech comprehension

posterior pole of occipital lobe around the calcarine sulcus - receives visual impression

How well did you know this?
1
Not at all
2
3
4
5
Perfectly
9
Q

where is cerebellum? function?

A
  • coordinates complex somatic motor patterns
  • maintain balance with postural muscles
  • refines learned movement
How well did you know this?
1
Not at all
2
3
4
5
Perfectly
10
Q

What is the brainstem made of?
function?
What reflex centres are in the brainstem?

A

midbrain (most superior), pons, medulla oblongata

  • processing and relay centre for information passing to and from cerebrum and cerebellum

respiratory and cardiovascular

How well did you know this?
1
Not at all
2
3
4
5
Perfectly
11
Q

What is important about the structure of the medulla oblongata?

A
  • raised bumps
  • important for ascending and descending nerve tracts carrying sensory and motor nerve between brain and spinal cord
How well did you know this?
1
Not at all
2
3
4
5
Perfectly
12
Q

Where is the diencephalon located?
What forms the diencephalon?
function?

A

between cerebrum and midbrain - completely hidden away
formed by dorsal thalamus and ventral hypothalamus
- relaying and processing sensory and motor information between cerebrum and spinal cord

How well did you know this?
1
Not at all
2
3
4
5
Perfectly
13
Q

What is the fxn of the thalamus?
What is the fxn of the hypothalamus?

A

relay and processing centre
hormone production and emotional control

How well did you know this?
1
Not at all
2
3
4
5
Perfectly
14
Q

What is the arterial supply of the brain?

A

2 internal carotid arteries and 2 vertebral arteries which anastomose to form the circle of Willis

How well did you know this?
1
Not at all
2
3
4
5
Perfectly
15
Q

How do the internal carotid arteries travel through?

A

leaves neck by passing through carotid canal
> into cranial cavity
> pass up and forward in the cavernous venous sinus (without communicating)
> leave sinus
> pass lateral to optic chiasma
> terminate by dividing into anterior & middle cerebral arteries

How well did you know this?
1
Not at all
2
3
4
5
Perfectly
16
Q

How do the vertebral arteries enter the skull?

A

ascend the neck through foramina transversarium of upper 6 cervical vertebrae
> enter cranial cavity through foramen magnum
> join together from either side to form the basilar artery

How well did you know this?
1
Not at all
2
3
4
5
Perfectly
17
Q

Which surface does the basilar artery run across?

A

ventral surface of pons

How well did you know this?
1
Not at all
2
3
4
5
Perfectly
18
Q

What is the Circle of Willis?
What is the purpose of the circle of Willis?

A

A circle of arteries that supply blood to the brain

  • allows for collateral circulation of blood if one or part of the circle becomes blocked or narrowed
  • avoids ischemia
How well did you know this?
1
Not at all
2
3
4
5
Perfectly
19
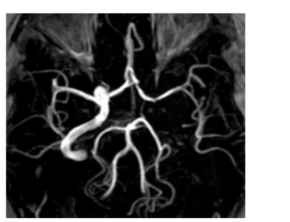
Q

what happening here

A

Here the left internal carotid is severely blocked so does not appear on the angiogram

The left middle and anterior cerebral arteries are filled via the contralateral anterior and posterior communicating branches

How well did you know this?
1
Not at all
2
3
4
5
Perfectly
20
Q

What is autoregulation of cerebral blood flow?

A

ability of the brain to maintain relatively constant blood flow

21
Q

What happens in response to reduced cerebral BF?

A

stimulate release of vasoactive substances from brain = arterial dilation

22
Q

What happens with elevated pressure?

A

cerebral smooth muscle in arterioles constrict

23
Q

What is a stroke?
What are the 2 main causes of stroke?

A

interruption of blood flow to parts of the brain
ischaemic (blood supply blocked due to blood clot) or haemorrhagic (where weakened blood vessel supplying brain bursts)

24
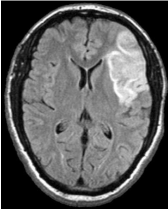
Q

whats this

25
what are the cerebral vascular territories
3
26
What happens if loss of blood to anterior cerebral portion?
- primary motor cortex for lower limb effected - perineum on the contralateral side - incontinence due to lack of pelvic floor muscle
27
What happens if loss of blood to middle cerebral region?
- loss of sensation and motor fxn of body EXCEPT lower limb and perineum (areas supplied by anterior cerebral artery) - loss of ability to speak and understand speech bc innervates brocas area
28
What happens if loss of blood to posterior cerebral region?
- visual field defect => primary visual cortex supply cut - memory loss => hippocampus supply cut
29
What are the 3 meninges?
1. Dura mater = tough, fibrous outermost covering 2. Arachnoid mater = consists of arachnoid membrane and the arachnoid trabeculae which extends to the surface of the pia mater 3. Pia mater = blood vessels run along the surface of the pia mater within subarachnoid space
30
How does the dura mater divide the cranial fossa? Fxn of them?
send inward 4 septa dividing into freely communicating spaces = restrict rotatory displacement of brain
31
What are the 4 reflections of the dura mater?
1. Falx cerebri - lies in the midline between the 2 cerebral hemisphere 2. Tentorium cerebelli - roof over the posterior cranial fossa - covers upper surface of cerebellum - support occipital lobe of cerebral hemisphere 3. Diaphragma sellae - small circular fold of dura - allows passage of infundibulum of pituitary gland 4. Falx cerebelli - project forward between cerebellar hemisphere
32
What is the tentorial notch?
passage of midbrain
33
What are the venous sinuses? where are they?
- they are situated between periosteal and meningeal layers of dura (split the dura matter into two) drain the skull receiving tributaries from the brain, skull bones, orbit and internal ear => coalesce to from internal jugular vein => brachiocephalic vein => back to heart
34
What causes intracranial haemorrhages?
trauma or cerebral vascular lesion
35
What is extradural intracranial hemorrhage?
extradural => pterion is weakest point => middle meningea artery below => compression of local brain structure => rise in intracranial pressure => hernia of cerebellum => damage to brainstem through foramen magnum trauma to side of head:
36
What is a subdural intracranial haemorrhage?
between dura mater and arachnoid mater tearing of veins as they enter superior sagittal sinus = blood accumulates in the potential space between dura mater and arachnoid mater caused by blow to the front or back of head - displaces skull
37
What is a subarachnoid intracranial haemorrhage?
leakage/rupture of circle of willis severe headache and loss of consciousness diagnosed by withdrawing heavily blood stained cerebrospinal fluid by lumbar puncture
38
What is the ventricular system?
fluid filled central passageway which extends along the spinal cord - buoyancy - maintain optimal chemical situation (low K+) - provide a protective cushion - transport nutrient and waste produce CSF
39
What are the ventricles of the brain? What are the parts of the ventricle?
2 lateral ventricles, third ventricle, fourth ventricle anterior horn, body, posterior horn, inferior horn
40
What connects the lateral ventricle ad 3rd ventricle? Where does the 3rd ventricle sit? What connect the 3rd and 4th ventricle?
intravertebral foramen between R and L thalmus cerebral aqueduct
41
What is CSF? How does CSF enter the bloodstream?
cerebrospinal fluid - clear, colourless fluid formed by the choroid plexus - circulates through the ventricular system - enters the subarachnoid space through three foramina in the roof of the fourth ventricle passes through arachnoid villi into the dural venous sinuses, in particular, the superior sagittal sinus - fluid cushion for protection - remove waste product of neuronal activity enters bloodstream by passing through arachnoid villi into the dural venous sinuses ie superior saggital sinus
42
What is hydrocephalus? What happens in neonate skull during hydrocephalus? What happens in adult skull during hydrocephalus? How is hydrocephalus treated?
- overproduction of CSF or blockage of the ventricular system leads to accumulation of CSF - increase in pressure will force unfused cranial bones apart leading to cranial abnormalities as well as neurological complications dangerous increase in intracranial pressure shunt into abdominal cavity where extra fluid can be absorbed
43
Where do the cranial nerves come from?
12 paired cranial nerve: 1 & 2 => come from cerebrum 3 - 12 => pons/medulla
44
Where are the cranial nerves?
-nine in brainstem (4-12) -3 in midbrain -2 in diencephalon -1 in cerebral hemisphere
45
Damage to _____________area results in the person being able to speak in phrases that sound fluent yet lack meaning (i.e. comprehension of speech)
Wernickes
46
The motor speech area is known as __________area and contains neurons involved in speech function
Broca's
47
1. Lateral ventricle 2. Fourth ventricle 3. Third ventricle 4. Cerebral aqueduct 5. Interventricular foramen of Monroe
48
label
1. Anterior communicating artery 2. Anterior cerebral artery 3. Internal carotid artery 4. Posterior communicating artery 5. Posterior cerebral artery 6. Basilar artery 7. Vertebral artery 8. Middle cerebral artery