Necrosis Flashcards

(13 cards)

1
Q

¿Cuál es la manifestación más común en necrosis?

A

Necrosis coagulativa (isquemia)

How well did you know this?
1
Not at all
2
3
4
5
Perfectly
2
Q

Secuencia de cambios morfológicos que siguen o evolucionan a la muerte de una célula en tejido viviente.

A

Necrosis

How well did you know this?
1
Not at all
2
3
4
5
Perfectly
3
Q

¿Cómo se ven las características de necrosis de manera microscópica?

A
  • Eosinofilia (rosada) amorfa (sin forma).
  • Tumefacción celular (se hincha la célula) y estallan
  • Desnaturalizan proteínas citoplasmáticas
  • Fragmentan organelos celulares (causando más daños en células y tejidos
    adyacentes)
How well did you know this?
1
Not at all
2
3
4
5
Perfectly
4
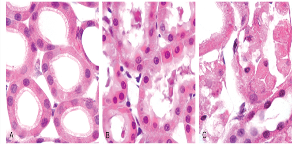
Q

PRIMERA FOTO
¿Qué epitelio es?
¿A qué tejido pertenece?

SEGUNDA FOTO
¿Qué ocurrió con las células?

TERCERA FOTO
¿Qué observas?
Diagnostico:

A

Cubico con cilios
Túbulo contorneado proximal

Perdieron el núcleo y algunas quedan como fantasmas, ya no chiquitas ya están gordas.

La etapa final de una lesión celular, ya las células no tienen acomodo, están ensanchadas y tienen perdidas del núcleo
Necrosis tubular aguda

How well did you know this?
1
Not at all
2
3
4
5
Perfectly
5
Q

¿Cuáles son los 3 cambios celulares que están presentes en la necrosis?

A

Cariolisis= Núcleo pierde la basofilia (el tono azul que tiene)
Picnosis= Núcleo pequeño y aumento de la basofilia (muy azul)
Cariorrexis= Núcleo se fragmenta.

Nota: cariorrexis es común en enf autoinmunes como vasculitis o neuroblastomas(cancer en glandula suprarrenal).

How well did you know this?
1
Not at all
2
3
4
5
Perfectly
6
Q

¿Por qué se da la necrosis coagulativa?
Sinónimo de necrosis coagulativa y cómo se ve MACROSCÓPICAMENTE:

A

Obstrucción del riego sanguíneo
Infarto (puede ser en todos los órganos del cuerpo) y se ve triángulo con base de color amarillo hacia la periferia del órgano (característica de infartos).

How well did you know this?
1
Not at all
2
3
4
5
Perfectly
7
Q

Aquí se ve como en la parte de la derecha sigue habiendo células con núcleos y se van haciendo células con alteraciones- perdida de núcleos o mejor dicho eosinófilo (rosita) amorfo sin núcleos=

A

Necrosis coagulativa

How well did you know this?
1
Not at all
2
3
4
5
Perfectly
8
Q

Px va a una fiesta y come muchas cosas grasosas y toma muchísimo alcohol. Después refiere un dolor intenso, pulsátil y transfictivo en forma de cinturón. Después el px muere y realizan una biopsia ¿Qué sospechas que ocurrió y que se vio en la biopsia?

A

Cómo el páncreas quiso adelantarse por que iba a comer mucho y a tomar mucho, este produjo muchas enzimas, pero como hizo muchas estas se activaron antes y se comieron al páncreas.
Zonas con Necrosis grasa características de digestión enzimática.= Enzimática de la grasa.

How well did you know this?
1
Not at all
2
3
4
5
Perfectly
9
Q

Si el cerebro/encéfalo esta necrosado, se dice que sufrió una necrosis_______.

A

Licuefactiva

How well did you know this?
1
Not at all
2
3
4
5
Perfectly
10
Q

Necrosis caseosa es característica de_____
¿Qué características tendrá ese Granuloma caseificante?

A

Tuberculosis

Necrosis caseosa en el centro, a fuerzas rodeado por macrófagos epitelioides y linfocitos maduros

Nota: caseosa por la apariencia a queso que tiene. Granulomas caseificantes (característico de tuberculosis).

How well did you know this?
1
Not at all
2
3
4
5
Perfectly
11
Q

¿Qué es esto?
¿Por qué tipo de células se conforma?

A

Es un granuloma, Células gigantes de Langhans (muchos macrófagos epitelioides que se juntan y forman una célula)

How well did you know this?
1
Not at all
2
3
4
5
Perfectly
12
Q

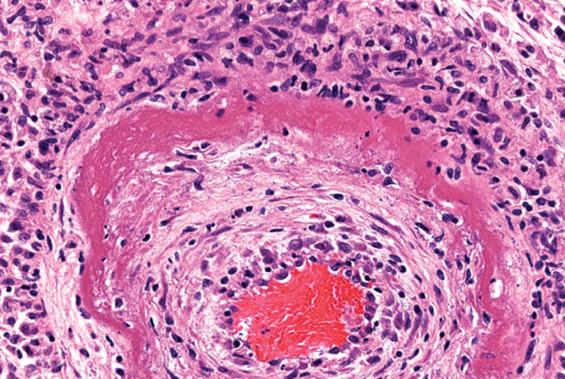
Necrosis que se acomoda en capa en los vasos y es característica de las vasculitis y de muy específico de_______.

A

Necrosis fibrinoide (rosa intenso en lámina)
Panarteritis nodosa (vasculitis necrotizante)

How well did you know this?
1
Not at all
2
3
4
5
Perfectly
13
Q

La necrosis gangrenosa es un tipo de necrosis_______.

A

Coagulativa (falta de riego sanguíneo)

How well did you know this?
1
Not at all
2
3
4
5
Perfectly