Tuberculosis Flashcards

(12 cards)

1
Q

Enfermedades dadas por mycobacterium

A

Tuberculosis
Tuberculosis lepra

How well did you know this?
1
Not at all
2
3
4
5
Perfectly
2
Q

V o F

La lepra es cutánea

A

Verdadero, se les engrosan las facies y dan características leoninas (como felino).

How well did you know this?
1
Not at all
2
3
4
5
Perfectly
3
Q

¿Por qué se diagnostican las mycobacterias como BAAR?

A

Por que son Bacilos Ácido Alcohol Resistentes.

How well did you know this?
1
Not at all
2
3
4
5
Perfectly
4
Q

Que pasa con…
Px con TB con defensas:
Px con TB sin defensas:

A

Se queda latente en un nódulo y no pasa nada.
Tuberculosis primaria que se puede ir a meníngea.

How well did you know this?
1
Not at all
2
3
4
5
Perfectly
5
Q

Factores de riesgo para TB: (3)

A

-Pobreza (ascinamiento- prisioneros de cárcel igual)
-Contacto (estrecho)
-VIH

How well did you know this?
1
Not at all
2
3
4
5
Perfectly
6
Q

¿A qué px le da meningitis tuberculosa?

A

A px menores de 3 años ya que no esta bien desarrolla sus sistema inmune (por eso se vacuna al nacimiento). Se ve pleocitosis (células) en LCR.

How well did you know this?
1
Not at all
2
3
4
5
Perfectly
7
Q

Resultados de la PPD:

A
How well did you know this?
1
Not at all
2
3
4
5
Perfectly
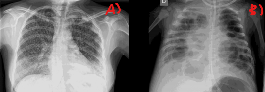
8
Q

A)
B)

A

A) patrón miliar (muchos puntitos como alpiste)
B) patrón hiliar (cavernas)

How well did you know this?
1
Not at all
2
3
4
5
Perfectly
9
Q

¿Cuál es la célula característica de la tuberculosis?

A

Célula gigante tipo langhans con macrófagos formados en corona

How well did you know this?
1
Not at all
2
3
4
5
Perfectly
10
Q

¿Con qué tinción los puedes ver?

A

Tinción ZN (Ziehl-Neelsen)

Nota: De a fuerza se tienen que hacer 3 esputos.

How well did you know this?
1
Not at all
2
3
4
5
Perfectly
11
Q

Dato característico de tuberculosis peritoneal?

A

Abdomen en ajedrez (golpeas en un lado y esta timpánico, después golpeas en otro y esta mate y asi)

How well did you know this?
1
Not at all
2
3
4
5
Perfectly
12
Q

Tx para tuberculosis esta basado en medicamentos esenciales y complementarios ¿Cuáles son?

A

Esenciales- Isoniacida y rifampicina

Complementarios- pirazinamida, etambutol y estreptomicina.

Nota: se cita al px al consultorio para que veas que se toma su medicamento (pastilla) por que si no se la toma una vez la bacteria crea resistencia.

How well did you know this?
1
Not at all
2
3
4
5
Perfectly