Pulmón Flashcards

(43 cards)

1
Q

Función de los pulmones: (2)

A

1- Intercambio:
- Perfusión (capilares se llenan de sangre y permiten el intercambio gaseoso)
- Difusión (exterior O2 a sangre, de capilares Co2 a alveolos)

2- Ventilación (intercambio de aire entre pulmón y el aire del entrono)

How well did you know this?
1
Not at all
2
3
4
5
Perfectly
2
Q

¿Por qué se llama alteraciones obstructivas?
¿Cuáles son?

A

Limitan el flujo aéreo por obstrucción
- Enfisema
- Bronquitis crónica
- Bronquiectasias
- Asma

How well did you know this?
1
Not at all
2
3
4
5
Perfectly
3
Q

¿Por qué se llama alteraciones restrictivas?
¿Cuáles son?

A

Reducción en la ampliación de la caja torácica, alteraciones del parénquima

  • Alteraciones en la pared torácica (al respirar no se amplia la caja torácica)
    -Neumopatías intersticiales (fumadores de vape, parénquima con aceite hacen fibrosis intersticial)
How well did you know this?
1
Not at all
2
3
4
5
Perfectly
4
Q

¿Cómo saber si es alteración obstructiva o restrictiva?

A

Con espirometría…
Obstructiva: FEV1 disminuida y GVC normal

Restrictiva: FEV1 normal y FVC disminuida

Nota: tiene que ser una respiración mantenida para que salga bien el resultado.

How well did you know this?
1
Not at all
2
3
4
5
Perfectly
5
Q

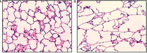
¿Qué es el enfisema?

A

Aumento de espacios aéreos/ destrucción de pared. Sacos alveolares aumentan de tamaño por que los tabiques alveolares se rompen

How well did you know this?
1
Not at all
2
3
4
5
Perfectly
6
Q

Hay diferentes tipos de enfisema que se describen por como se ven y como se distribuyen anatómicamente.

¿Dónde se localiza el enfisema centroacinar y es más frecuente en que pacientes?

A

Centroacinar, ubicado central en el lóbulo superior y se asocia a fumadores de tabaco

How well did you know this?
1
Not at all
2
3
4
5
Perfectly
7
Q

Hay diferentes tipos de enfisema que se describen por como se ven y como se distribuyen anatómicamente.

¿Dónde se localiza el enfisema panacinar y es más frecuente en que pacientes?

A

Afecta a todos los acinos, desde la última parte de los bronquiolos hasta los alveolos, en lóbulos inferiores.

Niños con alteración y deficiencia en ALFA 1 antitripsina

How well did you know this?
1
Not at all
2
3
4
5
Perfectly
8
Q

Hay diferentes tipos de enfisema que se describen por como se ven y como se distribuyen anatómicamente.

¿Dónde se localiza el enfisema acinar distal?

A

En la pleura en la mitad superior y forma Bulas que si explotan pueden crear un neumotórax espontáneo.

How well did you know this?
1
Not at all
2
3
4
5
Perfectly
9
Q

Hay diferentes tipos de enfisema que se describen por como se ven y como se distribuyen anatómicamente.

¿Dónde se localiza el enfisema irregular y es más frecuente en que pacientes?

A

Superior, inferior, central o periférico. Es secundario a cicatrices (infecciones, lesiones que dejo una cicatriz).

How well did you know this?
1
Not at all
2
3
4
5
Perfectly
10
Q

¿Qué es secundario a que se rompan los tabiques alveolares en el enfisema?

A

Inflamación con linfocitos, neutrófilos y macrófagos.
IL-8

How well did you know this?
1
Not at all
2
3
4
5
Perfectly
11
Q

Cuadro clínico de todo enfisema:

A

Son los px sopladores rosados- fumaron durante 50 años 3 cajetillas al día, los vemos flacos flacos, rositas y su oxigeno jalando. (aquí sería enfisema centroacinar)
-Disnea
-Sibilancias
-Pérdida de peso
-Tórax en tonel
-Obviamente FEV1 bajo
-Hipertensión pulmonar secundaria elevada

How well did you know this?
1
Not at all
2
3
4
5
Perfectly
12
Q

¿Cómo me podría dar cuenta que es bronquitis crónica?

A

Por que le px tiene tos productiva por 3 meses que se ha repetido por 2 años consecutivos.

How well did you know this?
1
Not at all
2
3
4
5
Perfectly
13
Q

El asma atópico se da en:
El asma No atópico se da en:
¿Qué tienen en común?

A

En niños chiquitos
Px más grandes generalmente en zonas contaminadas
Que son enfermedades inflamatorias crónicas

How well did you know this?
1
Not at all
2
3
4
5
Perfectly
14
Q

Cuadro clínico de asma:

A

Sibilancias, Disneas, Opresión torácicas y Tos.

Eosinófilos, hipertrofia de músculos, hiperactividad muscular y participación de TH2.

How well did you know this?
1
Not at all
2
3
4
5
Perfectly
15
Q

¿Qué me dice si un px me dice que tiene un cuadro respiratorio de vías ALTAS, asma y sinusitis, le haces laboratorio eosinófilos elevados (hipereosinofilia) ¿Qué piensas?

A

Neumonitis eosinofílica secundaria a vasculitis

How well did you know this?
1
Not at all
2
3
4
5
Perfectly
16
Q

Tipo de Hipersensibilidad del asma atópico:

¿Cómo se da el asma No atópico?

A

Hipersensibilidad Tipo 1, eleva Ige

Contaminantes aéreos, fármacos (AINES)

How well did you know this?
1
Not at all
2
3
4
5
Perfectly
17
Q

Característica patoneumónica de asma:

A

Tapones de moco que hacen espirales de Curschmann (foto)
Siempre que tenga una enf. con muchos eosinófilos (hipereosinofilia) tendré: cristales de Charcot-Leyden

How well did you know this?
1
Not at all
2
3
4
5
Perfectly
18
Q

¿Qué son las bronquiectasias?
¿Cuáles son las infecciones más frecuentes?

A

DILATACIONES DE BRONQUIOS Y BRONQUIOLOS, que generalmente tienen obstrucción más infección.

S. Auereus
Neumococo
Estreptococo
H. influenzae
P. Aureginosas

19
Q

Las bronquiectasias las van a diagnosticar secundaria:

A

fibrosis quísticas
Síndrome de Kartagener (cilios inmóviles= se acumula moco o estéril)
Inmunodeficiencia

20
Q

px flaquito y soplador rosado:
gorditos azulados con expectoración por 3 meses que se ha repetido por 2 años consecutivos.

A

enfisema
Bronquitis crónica

21
Q

Las enfermedades pulmonares restrictivas son muy:
Siempre las diagnosticaras por:
Principalmente el problema de esta enfermedad esta en la:

A

-Raras
-Descarte
-Disminución de como se distiende el parénquima pulmonar

22
Q

De estas enfermedades restrictivas ¿Cuál es la más común?
Si no tiene etiología, ni cuadro clínico y el patólogo no te ayuda en nada ¿Cómo la diagnosticas?

A

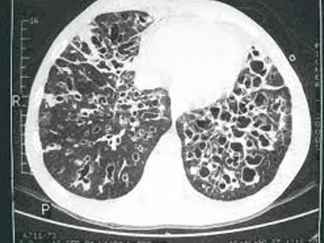
Neumopatía intersticial usual (variante más frecuente)

Rx, clínica, biopsia y lo que describe el patólogo cheque con el cuadro clínico.

23
Q

Si de los 50 diagnósticos que tienes ninguno te da ¿En que tendrías que opensar?

A

Sarcoidosis hipersensibilidad (muy rara)

Típica enfermedad de descartare*

24
Q

¿Qué provoca la sarcoidosis hipersensibilidad (muy característico)?

A

Granulomas sin necrosis caseificantes

25
En alguna parte de la evaluación encuentro que mi px tiene vómica ¿Qué es y que me dice?
Vómica (vomitar en color asalmonado) por infección de ascaris lumbricoides en el pulmón. A esto se le llama: Sx de Loeffer. Nota: neumopatía eosinofílica asociada a parasito.
26
Dato histológico y clínico de patologías asociadas a fármacos (toma un medicamento por mucho tiempo).
Aumento de eosinófilos o células plasmáticas
27
Neumopatía intersticial usual características clínicas cualitativas
1- Alteraciones respiratorias 2- Espirometría restrictiva 3- Por Rx se ven patrón fibrosante que se ve como panal de abejas. 4- Por biopsia el patólogo te dice que tiene parches de fibroblastos y los tabiques alveolares necrosados.
28
¿Qué son los cuerpos de Masson? ¿Qué nos dice si encontramos cuerpos de Masson en histología?
Son tabiques engrosados parches de fibroblastos. Neumopatía intersticial usual
29
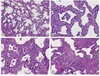
¿Qué te dice esto?
Patrón característico de neumopatía intersticial usual.
30
Patrón histológica Neumopatía intersticial usual
Panal de abeja
31
La enfermedad que forma granulomas en que piensas: Y si te dijera que no tiene gránulos caseificantes?
Tuberculosis Sarcoidosis
32
Px medio joven, tos, perdida de peso y fiebre. En placa de toráx se ve adenopatías parahiliares bilaterales ¿Qué posibilidad hay? ¿Se asocia a tabaco? Nota: Depresión en la superficie de un órgano, que señala el punto de entrada y salida de los vasos o de los conductos excretores.
Sarcoidosis No pero podemos tener un px que es fumador con sarcoidosis.
33
¿Qué es un granuloma? Nota: granuloma no tiene necrosis
Conjunto de macrófagos epiteloides que hacen una bola
34
¿Por que puede afectar piel, ganglios, el órgano que quiera la sarcoidosis? ¿Cómo se le llama cuando la sarcoidosis daña a úvea y parótida?
Por que es sistémica Sx de mikulicz
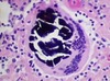
35
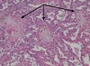
¿Qué es esto y que nos indica?
Cuerpo asteroide nos indica sarcoidosis
36
¿Qué es esto y que nos indica?
Cuerpo de Schaumann nos indica sarcoidosis
37
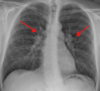
Diagnostico (basándote en la imagen)
Neumopatía restrictiva eosinofílica secundaria a áscaris lumbricoides.
38
Siempre que hay muchos eosinófilos, y hacemos una prueba de sangre tendremos elevados_____ y______.
IgE IL5 Nota: neumopatía restrictiva eosinofílica
39
¿Cuál es el factor/causa de neumonía adquirida en la comunidad? En caso de que no sea ese y te diga que el px es drogadicto intravenosos
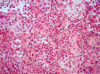
Neumococo o Streptococo pneumoniae S. Aureus Nota: foto- alveolos llenos de neutrófilos- neumonía
40
Px con absceso pulmonar y empiema (derrame pleural purulento) me hace pensar en: Nota: Absceso pulmonar- El absceso pulmonar es una infección necrosante del pulmón caracterizada por una lesión cavitaria repleta de pus.
S. Aureus. Nota: S,Aureus no es frecuente pero si px dragadito es una opción. Nota: foto- alveolos llenos de neutrófilos- neumonía
41
¿Quién da neumonías en px inmunosuprimido? ¿Quién da neumonías atípicas en pediátricos? Menciona los datos de alarma que le debes de enseñar a las familias y a la mamá acerca de neumonía: (4)
Hongos Virus 1- Saturación de oxígeno 2- Cianosis 3- Aleteo nasal 4- Tiraje intercostal
42
Px con Pneumocystis jiroveci, deberías hacerles pruebas de ______ ya que es seguro que tenga.
VIH
43
Las neumonías generalmente son bacterianas por lo que de tratamiento darás antibiótico ¿Qué antibiótico? ¿Qué no puedes darle a los bebés? ¿Cuál es el riesgo?
De primera línea- aminopenicilinas. No se dan macrólidos por que los puedes dejar sordo