Neuro Flashcards

(135 cards)

1
Q

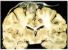
in the communicating form of the condition seen in the image, there is dilation of ___

A

in the communicating form of the condition seen in the image, there is dilation of ALL ventricles

How well did you know this?
1
Not at all
2
3
4
5
Perfectly
2
Q

the communicating form of the condition seen in the image can due to scarring/fibrosis of ____ or ____

A

the communicating form of the condition seen in the image can due to scarring or fibrosis of the arachnoid villi d/t tumors or infxns (TB, meningitis) or subarachnoid hemorrhage

How well did you know this?
1
Not at all
2
3
4
5
Perfectly
3
Q

the communicating form of the condition seen in the image is caused by reduced ____, such as in ____

A

the communicating form of the condition seen in the image is caused by reduced CSF resorption, such as in arachnoid fibrosis

How well did you know this?
1
Not at all
2
3
4
5
Perfectly
4
Q

the normal pressure form of the condition seen in the image is characterized by the triad of:

A

wet = urinary incontinence

wacky = dementia

wobbly = ataxia

How well did you know this?
1
Not at all
2
3
4
5
Perfectly
5
Q

the pseudotumor cerebri form of the condition seen in the image is characterized by:

A

headache and vision loss

How well did you know this?
1
Not at all
2
3
4
5
Perfectly
6
Q

_____ is increased ICP with no apparent cause on imaging

A

psuedotumor cerebri is increased ICP with no apparent cause on imaging

How well did you know this?
1
Not at all
2
3
4
5
Perfectly
7
Q

list the risk factors for pseudotumor cerebri

A

female gender

obesity

vit.A excess

tetracyclin

danazol

How well did you know this?
1
Not at all
2
3
4
5
Perfectly
8
Q

in pseudotumor cerebri, ____ reveals ____ and provides headache relief

A

in pseudotumor cerebri, lumbar puncture reveals opening pressure and provides headache relief

How well did you know this?
1
Not at all
2
3
4
5
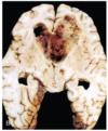
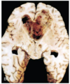
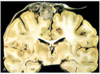
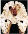
Perfectly
9
Q

the ex vacuo form of the condition seen in the image causes dilation of ____ due to ____ and causes a compensatory ____

A

the ex vacuo form of the condition seen in the image causes dilation of all ventricles due to cerebral atrophy and causes a compensatory increase in CSF

  • Alzheimer’s
  • senile atrophy
  • Niemann Pick
How well did you know this?
1
Not at all
2
3
4
5
Perfectly
10
Q

the non-communicating form of the condition seen in the image occurs between ____ & ____ or between ____ & _____

A

the non-communicating form of the condition seen in the image occurs between lateral & 3rd ventricle or between 3rd & 4th ventricle

How well did you know this?
1
Not at all
2
3
4
5
Perfectly
11
Q

____ is the most common location of the non-communicating form of the condition seen in the image

A

foramen of Monro is the most common location of the non-communicating form of the condition seen in the image

How well did you know this?
1
Not at all
2
3
4
5
Perfectly
12
Q

the presentation of condition seen in the image in children is increased ____ because ____

A

the presentation of condition seen in the image in children is increased head circumference because skull bones (fontanelles & sutures) have not fused yet

How well did you know this?
1
Not at all
2
3
4
5
Perfectly
13
Q

the presentation of condition seen in the image in adults is increased ____

name 4 symptoms associated with this

A

the presentation of condition seen in the image in adults is increased ICP

  • projectile vomiting
  • blurry vision
  • headaches
  • papilledema
How well did you know this?
1
Not at all
2
3
4
5
Perfectly
14
Q

a complication of the condition seen in the image is ___ which is a triad of symptoms indicating an impending ____

A

a complication of the condition seen in the image is Cushing’s reflex which is a triad of symptoms indicating an impending herniation

  • elevated systolic pressure (wide pulse pressure)
  • bradycardia
  • irregular respirations
How well did you know this?
1
Not at all
2
3
4
5
Perfectly
15
Q

a complication of the condition seen in the image is:

___ hernation through ___ causing ____

or

___ hernation causing ____

A

a complication of the condition seen in the image is:

tonsillar herniation through foramen magnum causing immediate death

or

trans-tentorial/uncal herniation causing ipsilateral pupillary dilation due to compression of CN III

How well did you know this?
1
Not at all
2
3
4
5
Perfectly
16
Q

the condition seen in the image is caused by rupture of ____

A

the condition seen in the image is caused by rupture of bridging veins (low press so gradual onset)

How well did you know this?
1
Not at all
2
3
4
5
Perfectly
17
Q

explain how the condition seen in the image is also seen in babies

A

shaken baby syndrome → rupture d/t thin walls of veins

How well did you know this?
1
Not at all
2
3
4
5
Perfectly
18
Q

the condition seen in the image causes an increase in ____ with which 4 signs?

A

the condition seen in the image causes an increase in ICP with:

  • headaches
  • projectile vomiting
  • blurry vision
  • papilledema
How well did you know this?
1
Not at all
2
3
4
5
Perfectly
19
Q

on CT in the condition seen in the image, there is ___ with a ____ because ____

A

crescent hematoma with a midline shift because it is closer to the brain

How well did you know this?
1
Not at all
2
3
4
5
Perfectly
20
Q

a complication of the condition seen in the image is ____

A

a complication of the condition seen in the image is uncal herniation

How well did you know this?
1
Not at all
2
3
4
5
Perfectly
21
Q

the condition seen in the image is caused by rupture of ____ where the blood collects between ____ & ____

A

the condition seen in the image is caused by rupture of middle meningeal artery → blood collects in epidural space between dura & calvarium

How well did you know this?
1
Not at all
2
3
4
5
Perfectly
22
Q

the condition seen in the image is caused by a lateral blow to ___

A

the condition seen in the image is caused by a lateral blow to temporal side of head

How well did you know this?
1
Not at all
2
3
4
5
Perfectly
23
Q

describe the presentation of the condition seen in the image

A

lose consciousness → lucid interval → death

increase in ICP → headaches, projectile vomiting, blurry vision, papilledema

How well did you know this?
1
Not at all
2
3
4
5
Perfectly
24
Q

on CT of the condition seen in the image, there is a ____ shaped hematoma

A

on CT of the condition seen in the image, there is a biconvex lens shaped hematoma

How well did you know this?
1
Not at all
2
3
4
5
Perfectly
25
a complication of the condition seen in the image is \_\_\_
a complication of the condition seen in the image is **uncal herniation**
26
describe coup vs. contrecoup contusions
* coup: contusion on SAME SIDE as impact * contrecoup: contusion on OPPOSITE side of impact * due to acceleration of head
27
describe diffuse axonal injury
* rotational acceleration * shearing of axons as they are stretched beyond elastic point w/ rotational force * low level of consciousness immediately
28
a predisposition for concussions is the ____ genotype
a predisposition for concussions is the **APO-E** genotype
29
the key to detection of concussion is \_\_\_\_
the key to detection of concussion is **baseline data**
30
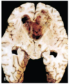
describe the etiology of a pale/bland infarct in the condition seen in the image
thrombotic/ischemic stroke: HTN → atherosclerosis → unstable plaque → thrombosis → **bland infarct**
31
describe the etiology of a red infarct in the condition seen in the image
embolic stroke atrial fibrillation + mural thrombus in left heart → legs (DVT) or BRAIN (red infarct)
32
the most commonly affected vessel in the condition seen in the image is the \_\_\_\_
the most commonly affected vessel in the condition seen in the image is the **middle cerebral artery**
33
describe the appearance of the brain seen in the condition in the image: early stroke: \_\_\_\_ old stroke: \_\_\_\_
early stroke: **red infarct** old stroke: **gliosis, scarring**
34
in the condition seen in the image, ____ is seen during 12-24 hours
in the condition seen in the image, **coagulative necrosis** is seen during 12-24 hours
35
in the condition seen in the image, \<24 hours is considered ____ while \>24 hours is considered \_\_\_\_\_
in the condition seen in the image, \<24 hours is considered **TIA** while \>24 hours is considered **stroke (permanent neurological deficit)**
36
in the condition seen in the image, ____ is seen after \>48 hours
in the condition seen in the image, **microglia → liquefactive necrosis** is seen after \>48 hours
37
in the condition seen in the image, ____ is seen after 2 weeks
in the condition seen in the image, **astrocytes → gliosis** is seen after 2 weeks
38
the condition seen in the image can be caused by long-standing _____ causing ____ which leads to _____ aneurysm
the condition seen in the image can be caused by long-standing **benign HTN** causing **hyaline arteriosclerosis** which leads to **Charcot Bouchard** **aneurysm**​
39
describe the 2 types of infarcts that HTN can lead to the condition seen in the image
* **slit hemorrhages** * hemorrhages thought to be secondary to microaneurysm rupture (Charcot Bouchard aneurysm) * **lacunar infarcts** * bland infarcts, thought to be secondary to thrombosis of a vessel w/ arteriosclerotic changes
40
describe the 4 types of vascular malformations that can lead to the condition seen in the image
* arterio-venous malformation = greatest potential for hemorrhage * cavernous hemangiomas * capillary telangiectasias * venous angiomas
41
cerebral amyloid angiopathy is a disease in which the same amyloidogenic peptides seen in ____ accumulate in the walls of ____ and can lead to the condition seen in the image
cerebral amyloid angiopathy is a disease in which the same amyloidogenic peptides seen in **Alzheimer's** accumulate in the walls of **medium and small caliber meningeal and cortical vessels** and can lead to the condition seen in the image
42
\_\_\_\_\_ is a disease in which the same amyloidogenic peptides seen in Alzheimer's accumulate in the walls of medium and small caliber meningeal and cortical vessels and can lead to the condition seen in the image
**cerebral amyloid angiopathy** is a disease in which the same amyloidogenic peptides seen in Alzheimer's accumulate in the walls of medium and small caliber meningeal and cortical vessels and can lead to the condition seen in the image
43
the most common location for the condition seen in the image is \_\_\_\_
the most common location for the condition seen in the image is **the basal ganglia**
44
describe the symptoms of the condition seen in the image when it occurs in the most common location
**basal ganglia = contralateral hemiparesis + sensory loss**
45
list the 3 conditions associated with the condition seen in the image
**Berry aneurysm seen in _Marfans, Ehlers Danlos and ADPKD_**
46
rupture of the condition seen in the image can lead to \_\_\_\_\_
rupture of the condition seen in the image can lead to **subarachnoid hemorrhage**
47
the condition seen in the image causes the "\_\_\_\_" because blood \_\_\_\_
the condition seen in the image causes the "**the worst headache of their life**" because blood **irritates leptomeninges and mimics meningitis (nuchal rigidity, photophobia, LOC, seizures)**
48
investigations for the condition seen in the image includes seeing blood in ___ and after 12 hours, seeing ____ which is also called \_\_\_\_
investigations for the condition seen in the image includes seeing **blood in CSF** and after 12 hours, seeing **bile in the CSF** which is also called **xanthochromia**
49
list the 2 complications of the condition seen in the image
**-ischemic stroke from cerebral vasospasms** **-communicating hydrocephalus**
50
name the 3 most common causes of the condition seen in the image in **neonates**
* E. coli * Group B Strep. (S. agalactiae) * Listeria
51
name the 3 most common causes of the condition seen in the image in **children**
* S. pneumoniae * Neisseria * H. influenzae
52
name the 2 most common causes of the condition seen in the image in **adolescents**
* N. meningitides * S. pneumoniae
53
name the 2 most common causes of the condition seen in the image in **adults**
* S. pneumoniae * Listeria
54
in the condition seen in the image, there is exudate covering ____ & engorgement of \_\_\_\_
in the condition seen in the image, there is exudate covering **the leptomeninges** & engorgement of **meningeal vessels**
55
describe CSF levels in the condition seen in the image
**increased WBCs** and **protein** **decreased glucose** (bacteria are using it)
56
list the **2 fungi** that cause the **meningeal** form of meningitis
* **Cryptococcosis** = soap bubble abscesses * **Candida** = microabscesses
57
list the **2 fungi** that cause the **vasoinvasive** form of meningitis
* Aspergillus * Mucormycosis
58
viral encephalitis is characterized by: perivascular ___ infiltrate individual ___ necrosis focal collections of \_\_\_\_
viral encephalitis is characterized by: perivascular **lymphocytic** infiltrate individual **neuronal** necrosis focal collections of **microglia**
59
the most common cause of viral encephalitis worldwide is \_\_\_\_
the most common cause of viral encephalitis worldwide is **HIV-E**
60
\_\_\_\_ causes aggressive encephalitis in immunocompromised hosts and causes asymmetric involve of ___ lobes
**Herpes virus** causes aggressive encephalitis in immunocompromised hosts and causes asymmetric involve of **temporal** lobes
61
HIV infects ___ cells and ____ leading to patchy loss of \_\_\_\_
HIV infects **microglial cells** and **macrophages** leading to patchy loss of **myelin**
62
in AIDS patients, there can be reactivation of ____ which leads to \_\_\_\_
in AIDS patients, there can be reactivation of **JC virus (polyomavirus)** which leads to **progressive multifocal leukoencephalopathy (PML)**
63
CJD is ___ while variant CJD is associated with \_\_\_\_\_
CJD is **sporadic** while variant CJD is associated with **bovine spongiform encephalopathy (BSE) meat consumption**
64
in prion diseases, there is accumulation of altered form of prion protein which leads to ____ death, \_\_\_\_, accumulation of \_\_\_\_, and vacuolization of \_\_\_
in prion diseases, there is accumulation of altered form of prion protein which leads to **neuronal** death, **gliosis,** accumulation of **extracellular amyloid (kuru plaques)** and vacuolization of **grey matter**
65
describe the presentation of CJD vs. variant CJD
**CJD** = rapidly progressive dementia & myoclonus **variant CJD** = slower onset, more personality changes
66
describe the 2 etiologies of the condition seen in the image
* _hematogenous_ * usually d/t **sepsis** or **septic emboli from left-sided endocarditis** * _contigual__/direct spread_ = more common * sinusitis, mastoiditis, otitis media, dental infxns
67
the condition seen in the image is characterized by a collection of infection in ____ with ____ necrosis w/ \_\_\_\_\_
the condition seen in the image is characterized by a collection of infection in **the parenchyma** with **liquefactive necrosis** w/ **PMNs & cellular debris**
68
describe the presentation of the condition seen in the image
spiking fever, confusion, projectile vomiting, focal neurological deficits
69
describe what is seen in lumbar puncture in the condition seen in the image
**increased protein and neutrophils** **NORMAL glucose** (infection NOT in CSF, unlike in meningitis)
70
how does the lumbar puncture results differ in the condition seen in the image vs. meningitis
brain abscess = NORMAL glucose meningitis = LOW glucose
71
CT scan of the condition seen in the image would show \_\_\_\_
CT scan of the condition seen in the image would show **ring-enhancing lesions**
72
list the 5 conditions where ring-enhancing lesions are seen on CT scan
**GMALT** G = gliobastoma multiforme M = metastasis A = abscess L = lymphoma T = Toxoplasmosis
73
describe a complication of the condition seen in the image
rupture into ventricles → ventriculitis → obstruction of ventricles → **hydrocephalus**
74
the early onset form of condition seen in the image is caused by ___ located on chr. ___ and ____ located on chr. \_\_\_\_
the early onset form of condition seen in the image is caused by **APP** located on chr. **21** and **Presenilin (which codes for gamma-secretase)** located on chr. **1 & 14**
75
the late onset form of the condition seen in the image is caused by a mutation in ___ located on chr. \_\_\_\_
the late onset form of the condition seen in the image is caused by a mutation in **APO-E** located on chr. **19** **homozygous APOE4 = greatest risk** APOE2 = decreased risk
76
the pathogenesis of the condition seen in the image arises from defective ___ of \_\_\_\_
the pathogenesis of the condition seen in the image arises from **defective cleavage** of **transmembrane cellular proteins**
77
on histology of the condition seen in the image, ____ proteins accumulate intracellularly, while ____ accumulate extracellularly
on histology of the condition seen in the image, **Tau proteins (neurofibrillary tangles)** accumulate intracellularly, while **A-B amyloid plaque** accumulate extracellularly
78
describe the presentation of the condition seen in the image
**slowly progressive dementia** (impaired cognition) but motor & sensory intact **start with short-term memory loss** (temporal) → paralysis & bed-ridden (frontal & parietal)
79
on CT scan of the condition seen in the image, there is flattening of ___ with enlarged \_\_\_\_
on CT scan of the condition seen in the image, there is **flattening of sulci & gyri** with **enlarged ventricles**
80
the most common cause of death in the condition seen in the image is \_\_\_\_
the most common cause of death in the condition seen in the image is **aspiration pneumonia**
81
describe how a complication of the condition seen in the image is lobar hemorrhages
**cerebral amyloid angiopathy** = deposition of amyloid in the walls of cerebral vessels
82
patients with Parkinson's disease have an increased risk for developing \_\_\_\_
patients with Parkinson's disease have an increased risk for developing **Alzheimer's disease**
83
Parkinson's disease can be caused by a mutation in \_\_\_\_
Parkinson's disease can be caused by a mutation in **the synnuclein gene** (synuclein is a component of Lewy bodies)
84
Parkinson's disease can be caused by ____ abuse
Parkinson's disease can be caused by **cocaine** abuse
85
Parkinson's disease is caused by atrophy of ___ (which contains the nucleus of \_\_\_\_) with a presence of ___ later
Parkinson's disease is caused by atrophy of **substantia nigra** (which contains the nucleus of **dopaminergic neurons in the midbrain**) with a presence of **Lewy bodies** in the atrophied neurons
86
describe the presentation of Parkinson's disease
**tremor** **rigidity** **akinesia** **shuffling gait**
87
Huntington's disease is caused by ___ repeats that interfere with \_\_\_\_
Huntington's disease is caused by **CAG** repeats that interfere with **nucleic acid or protein regulations**
88
Huntington's disease displays genetic ____ which means that an increased number of repeats indicates \_\_\_\_
Huntington's disease displays **genetic anticipation** which means that an increased number of repeats indicates **an earlier onset in successive generations**
89
Huntington's disease is caused by atrophy of \_\_\_\_
Huntington's disease is caused by atrophy of **caudate & putamen**
90
which 2 mutations are associated with ALS?
**Chr. 9 hexanucleotide repeat** **SOD**
91
ALS is characterized by neuronal loss in \_\_\_\_\_
ALS is characterized by neuronal loss in **spinal cord anterior horns (motor cortex)**
92
describe the 2 cytoplasmic inclusions seen in ALS
**ubiquitin** (deposited in response to cell injury) **TDP-43, FUS** (DNA/RNA binding/stabilizing proteins)
93
where do ALS symptoms first begin?
usually begins with subtle **asymmetric distal extremity weakness**
94
what is the most common cause of death in ALS?
when the disease involves the resp. muscles, there are **recurrent bouts of** **pulm****. infection** which is the usual cause of death
95
what is spared in ALS?
intellect, sensation, sphincter control & eye movements
96
list risk factors for the condition seen in the image
* smoking * low vit. D * EBV * maternal history * moving to endemic area before puberty
97
HLA-\_\_\_ and HLA-\_\_\_ are associated with the condition seen in the image, which leads to antibodies destroying \_\_\_\_
**HLA-DR2** and **HLA-DR15** are associated with the condition seen in the image which leads to antibodies destroying **oligodendrocytes**
98
the condition seen in the image is caused by immune-mediated patchy loss of \_\_\_\_
the condition seen in the image is caused by immune-mediated patchy loss of **myelin in grey and white matter**
99
\_\_\_ is the most commonly affected nerve, which can lead to:
**CN II** is the most commonly affected nerve, which can lead to **optic neuritis → pain on eye movement, blurred vision and diplopia**
100
in the condition seen in the image, there is destruction of the MLF; what can this cause?
ipsilateral eye cannot adduct while contralateral eye undergoes nystagmus
101
"young Caucasian female in temperate climate......recurrent UTIs" explain
**MS → bladder affected → stasis of urine → UTIs**
102
describe what is seen on MRI in the condition seen in the image
**periventricular demyelination of white matter**
103
describe what is seen on lumbar puncture in the condition seen in the image
**oligoclonal bands of IgG in the CSF**
104
histology of the condition seen in the image would show abundant ____ containing \_\_\_\_
histology of the condition seen in the image would show abundant **macrophages** containing **PAS-positive debris**
105
central pontine myelinolysis massive axonal ____ in ____ white matter secondary to \_\_\_\_
central pontine myelinolysis massive axonal **demyelination** in **pontine white matter** secondary to **osmotic changes, as seen in rapid correction of hyponatremia**
106
"patient had viral infection and now presents with rapidly progressive neurologic symptoms and altered mental status" dx?
107
Wernicke-Korsakoff is seen in ___ patients due to ___ deficiency
Wernicke-Korsakoff is seen in **chronic alcoholic** patients due to **thiamine (B1)** deficiency
108
Wernicke-Korsakoff syndrome is caused by destruction of \_\_\_\_
Wernicke-Korsakoff syndrome is caused by destruction of **mamillary bodies**
109
describe the presentation of Wernicke-Korsakoff
"Wernicke problems come in a CAN'O beer" C = confusion A = ataxia N = nystagmus O = ophthalmoplegia
110
the most common cause of hypoglycemia encephalopathy is \_\_\_\_
the most common cause of hypoglycemia encephalopathy is **excessive exogenous insulin**
111
the condition seen in the image originates from \_\_\_\_
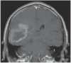
the condition seen in the image originates from **glial cells/astrocytes**
112
there is a ____ appearance on gross in the condition seen in the image
there is a **butterfly** appearance on gross in the condition seen in the image
113
histology of the condition seen in the image would show a central ____ surrounded by \_\_\_\_
histology of the condition seen in the image would show a **central area of necrosis** surrounded by **pseudo-palisading of the malignant cells**
114
presentation of the condition seen in the image is recurrent ____ that is worse in the ____ and while \_\_\_\_
presentation of the condition seen in the image is recurrent **headaches** that is worse in the **mornings** and while **straining**
115
describe the presentation of the condition seen in the image
sudden onset recurrent headaches that are worse in the mornings & while straining seizures papilledema contralateral hemiparesis
116
\_\_\_\_ is a tumor marker for the condition seen in the image
**GFAP** is a tumor marker for the condition seen in the image
117
the condition in the image has a better prognosis if there is a mutation is in ____ or \_\_\_\_
the condition in the image has a better prognosis if there is a mutation is in **IDH-1** or **IDH-2**
118
list factors that lead to a good prognosis of the condition seen in the image
younger (-) EGFR (+) IDH-1, IDH-2 (+) p53 (+) MGMT methylation
119
list 3 factors that make the condition seen in the image have a poor prognosis
infiltrate unresectable resistant to treatment
120
oligodendroglioma has a ____ appearance
oligodendroglioma has a **fried-egg** appearance
121
the etiology of an oligodendroglioma is loss of heterozygosity for chr. ___ & \_\_\_
the etiology of an oligodendroglioma is loss of heterozygosity for **chr. 1 & 19**
122
the origin of the condition seen in the image is ___ cells
the origin of the condition seen in the image is **arachnoid** cells
123
oligodendroglioma has a better prognosis if it there is a ____ or ____ deletion
oligodendroglioma has a better prognosis if it there is a **1p** and/or **19q** deletion
124
the condition in the image is associated with \_\_\_\_
the condition in the image is associated with **NF2** (vestibuloschwannoma + meningioma)
125
the condition seen in the image is a \_\_\_-shaped tumor of meningothelial cells of the ____ that attaches to \_\_\_\_
the condition seen in the image is a **dome**-shaped tumor of meningothelial cells of the **arachnoid** that attaches to **the underside of the dura**
126
the ___ type of the condition seen in the image is the most common and contains ___ bodies
the **papillary** type of the condition seen in the image is the most common and contains **psammoma** bodies
127
in the condition seen in the image, there is a ___ pattern of cell growth with \_\_\_\_
in the condition seen in the image, there is a **whorled** pattern of cell growth with **psammoma bodies**
128
\_\_\_\_ is the most common primary CNS tumor in childhood
**pilocytic astrocytoma** is the most common primary CNS tumor in childhood
129
pilocytic astrocytoma is a (well-differentiated or poorly-differentiated?) tumor in the ___ & \_\_\_\_
pilocytic astrocytoma is a **well-differentiated** tumor in the **cerebellum** & **hypothalamus**
130
the condition seen in the image arises from \_\_\_\_
the condition seen in the image arises from **the vermis of the cerebellum**
131
describe the histology of the condition seen in the image
**Homer-Wright rosettes (pseudorosettes)** with **small round blue cells**
132
the condition seen in the image is mainly seen in (children or adults?)
the condition seen in the image is mainly seen in **children**
133
describe the presentation of the condition seen in the image
**cerebellar signs = ataxia, slurred speech, intention tremor, nystagmus + 3 Ds (dysmetria, dysdiadochokinesia, dysarthria)**
134
the condition seen in the image is a malignant tumor and spreads via \_\_\_\_
the condition seen in the image is a malignant tumor and **spreads via** **CSF**
135
the condition seen in the image has a better prognosis if there is _____ expression
the condition seen in the image has a better prognosis if there is **beta-catenin** expression