Skin Flashcards

(79 cards)

1
Q

urticaria (hives) is a common disorder of the skin characterized by localized ____ which leads to _____

A

urticaria (hives) is a common disorder of the skin characterized by localized mast cell degranulation which leads to dermal microvascular hyperpermeability

How well did you know this?
1
Not at all
2
3
4
5
Perfectly
2
Q

urticaria is due to ___-induced release of ____ from mast cells, which makes it a type ___ hypersensitivity

A

urticaria is due to antigen-inducedrelease ofvasoactive mediatorsfrom mast cells, which makes it atype 1hypersensitivity

How well did you know this?
1
Not at all
2
3
4
5
Perfectly
3
Q

list the common causes of urticaria

A

pollen

food

drugs (opiates, aspirin)

insect venom

How well did you know this?
1
Not at all
2
3
4
5
Perfectly
4
Q

on microscopic examination of urticaria, there are sparse superficial ____ consisting of ____ cells +/- ____ and _____

A

on microscopic examination of urticaria, there are sparse superficial perivenular infiltrate consisting of mononuclear cells +/- neutrophils and eosinophils

How well did you know this?
1
Not at all
2
3
4
5
Perfectly
5
Q

___ are more widely spaced as a result of superficial dermal edema, and ____ channels become dilated

A

collagen bundles are more widely spaced as a result of superficial dermal edema, and superficial lymphatic channels become dilated

How well did you know this?
1
Not at all
2
3
4
5
Perfectly
6
Q

allergic contact dermatitis stems from ____ exposure to an allergen and is caused by _____ reactions

A

allergic contact dermatitis stems from topical exposure to an allergen and is caused by delayed hypersensitivity reactions

How well did you know this?
1
Not at all
2
3
4
5
Perfectly
7
Q

atopic dermatitis is caused by defects in ____ defined as skin with increased ____; it has a ____ predisposition

A

atopic dermatitis is caused by defects in keratinocyte barrier function defined as skin with increased permeability to substances to which it is exposed; it has a genetic predisposition

How well did you know this?
1
Not at all
2
3
4
5
Perfectly
8
Q

describe the pathogenesis of delayed hypersensitivity reaction

A
How well did you know this?
1
Not at all
2
3
4
5
Perfectly
9
Q

in acute eczematous dermatitis, ___ occurs, which is edema that seeps into the intercellular spaces of the ___, splaying apart ____ particularly in the ____

A

in acute eczematous dermatitis, spongiosis occurs, which is edema that seeps into the intercellular spaces of the epidermis, splaying apart keratinocytes particularly in the stratum spinosum

How well did you know this?
1
Not at all
2
3
4
5
Perfectly
10
Q

acute eczematous dermatitis is characterized by superficial, perivascular ____ infiltrate associated with ____ edema and ____ degranulation

A

acute eczematous dermatitis is characterized by superficial, perivascular lymphocytic infiltrate associated with papillary dermal edema and mast cell degranulation

How well did you know this?
1
Not at all
2
3
4
5
Perfectly
11
Q

psoriasis is caused by an ____ disorder with shorter ____ resulting in build-up of scales

A

psoriasis is caused by an erthro-squamousdisorderwithshorter cell maturation resulting in build-up of scales

How well did you know this?
1
Not at all
2
3
4
5
Perfectly
12
Q

15% of patients with psoriasis have associated ___

A

15% of patients with psoriasis have associated arthritis (any joint, can be symmetrically involved)

How well did you know this?
1
Not at all
2
3
4
5
Perfectly
13
Q

psoriasis has a strong association with HLA-____

A

psoriasis has a strong association with HLA-C

How well did you know this?
1
Not at all
2
3
4
5
Perfectly
14
Q

lesions in psoriasis can be induced in susceptible individuals after local trauma, also known as ____ phenomenon

A

lesions in psoriasis can be induced in susceptible individuals after local trauma, also known as Koebner phenomenon

How well did you know this?
1
Not at all
2
3
4
5
Perfectly
15
Q

psoriasis is caused by sensitized populations of ____ and ____ cells as well as activated _____ cells that enter the skin and accumulate in the ____

A

psoriasis is caused by sensitized populations of CD4 Th1 and Th17 cells as well as activated CD8cells that enter the skin and accumulate in the epidermis

How well did you know this?
1
Not at all
2
3
4
5
Perfectly
16
Q

the CD4 cells and CD8 cells that accumulate in the epidermis in psoriasis secrete ____ (4 cytokines) which cause ____ proliferation

A

the CD4 cells and CD8 cells that accumulate in the epidermis in psoriasis secrete IL-12, TNF, IFN-gamma, IL-17 which cause keratinocyte proliferation

How well did you know this?
1
Not at all
2
3
4
5
Perfectly
17
Q

early psoriatic lesions are ____ pustules

while

later lesions are ____-demarcated, symmetrical, ___-colored plaques covered by loosely adherent ____

A

early psoriatic lesions are erythematous pustules

while

later lesions are well-demarcated, symmetrical, salmon-colored plaques covered by loosely adherent silvery scales

How well did you know this?
1
Not at all
2
3
4
5
Perfectly
18
Q

describe the nail changes seen in psoriasis

A

discoloration

dimpling/pitting

How well did you know this?
1
Not at all
2
3
4
5
Perfectly
19
Q

on microscopic examination of psoriasis, there is acanthosis, which is _____

A

on microscopic examination of psoriasis, there is acanthosis, which is diffuse epidermal hyperplasia (implies increased thickness of the Malpighian layer)

How well did you know this?
1
Not at all
2
3
4
5
Perfectly
20
Q

on microscopic examination of psoriasis, there are downward elongation of ____ as well as thinned ____ with extensive ____ scales

A

on microscopic examination of psoriasis, there are downward elongation of rete ridges as well as thinned stratum granulosum with extensive parakeratotic scales

How well did you know this?
1
Not at all
2
3
4
5
Perfectly
21
Q

on microscopic examination of psoriasis, ____ form small aggregates in superficial epidermis, forming ____

A

on microscopic examination of psoriasis, neutrophils form small aggregates in superficial epidermis, forming pustules

How well did you know this?
1
Not at all
2
3
4
5
Perfectly
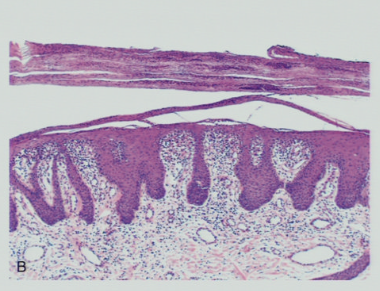
22
Q

describe the image and what condition it is seen in

A

psoriasis

How well did you know this?
1
Not at all
2
3
4
5
Perfectly
23
Q

resolution of Lichen Planus leaves post-inflammatory ____

A

resolution of Lichen Planus leaves post-inflammatory hyperpigmentation

How well did you know this?
1
Not at all
2
3
4
5
Perfectly
24
Q

the oral lesion in Lichen Planus may persist for years, where the chronic mucosal lesions can result in ____

A

the oral lesion in Lichen Planus may persist for years, where the chronic mucosal lesions can result in squamous cell carcinoma

How well did you know this?
1
Not at all
2
3
4
5
Perfectly
25
the pathogenesis of Lichen Planus is altered antigens in ____ elicit a ____ cell response
the pathogenesis of Lichen Planus is altered antigens in **basal epidermal cells** elicit a **CD8 T cell** response
26
describe the clinical presentation of Lichen Planus
6 P's of Lichen Planus ## Footnote **pruritic** **purple** **Polygonal Planar Papules** **plaques**
27
the lesions in Lichen Planus are usually multiple, ____ distributed on the extremities, often around the ___ and \_\_\_\_
the lesions in Lichen Planus are usually multiple, **symmetrically** distributed on the extremities, often around the **wrists** and **elbows**
28
the papules in Lichen Planus are often highlighted by ___ dots or lines called ____ which are created by areas of \_\_\_\_
the papules in Lichen Planus are often highlighted by **white** dots or lines called **Wickham striae** which are created by areas of **hypergranulosis**
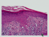
29
what is seen in the image and what condition is characterized by these lesions?
30
on microscopic examination of Lichen Planus, ____ show degeneration and necrosis which leads to an angular contour/\_\_\_\_ of the rete ridges
on microscopic examination of Lichen Planus, **basal keratinocytes** show degeneration and necrosis which leads to an angular contour/**saw-toothing** of the rete ridges
31
on microscopic examination of Lichen Planus, there are dense, continuous ____ infiltrate at the ___ junction
on microscopic examination of Lichen Planus, there are dense, continuous **lymphocytic** infiltrate at the **dermo-epidermal** junction
32
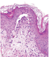
describe the image and the condition it is seen in
**lichen planus**
33
superficial fungal infections of the skin are confined to the stratum ____ and are caused primarily by \_\_\_\_
superficial fungal infections of the skin are confined to the stratum **corneum** and are caused primarily by **dermatophytes**
34
tinea capitis usually occurs in children and causes ____ patches of skin associated with mild \_\_\_, ___ formation and \_\_\_\_
tinea capitis usually occurs in children and causes **hairless** patches of skin associated with mild **erythema**, **crust** formation and **scaling**
35
tinea corporis is seen in persons of all ages (but especially children) and occurs in cases of excessive ___ and \_\_\_, exposure to \_\_\_\_
tinea corporis is seen in persons of all ages (but especially children) and occurs in cases of excessive **heat** and **humidity** and exposure to **infected animals**
36
tinea corporis is characterized by an expanding, round, slightly erythematous ____ with an elevated \_\_\_\_\_
tinea corporis is characterized by an expanding, round, slightly erythematous **plaque** with an elevated **scaling border**
37
organisms causing tinea may be identified in scrapings with ___ mount or ____ stain
organisms causing tinea may be identified in scrapings with **KOH** mount or **PAS** stain (bright pink to red)
38
pemphigus vulgaris is a blistering disorder caused by autoantibodies against ____ within the ___ and \_\_\_
pemphigus vulgaris is a blistering disorder caused by autoantibodies against **desmosomes** within the **epidermis** and **mucosal epithelium**
39
in pemphigus vulgaris, the ____ lesions precede the ____ lesions, and these lesions are associated with \_\_\_\_
in pemphigus vulgaris , the **oral** lesions precede the **skin** lesions, and these lesions are associated with **pain**
40
pemphigus vulgaris is caused by ____ autoantibodies against ____ which disrupts the \_\_\_\_
pemphigus vulgaris is caused by **IgG** autoantibodies against **desmogleins** which disrupts the **desmosomes**
41
do the lesions in pemphis vulgaris rupture easily?
**YES, lesions rupture easily** and leave **shallow erosions covered with dried serum and crust**
42
in pemphigus vulgaris, there is ____ in the supra-basal layer
in pemphigus vulgaris , there is **acantholysis** in the supra-basal layer
43
on direct immunofluorescence in pemphigus vulgaris, lesions show a characteristic ____ pattern of ____ deposits
on direct immunofluorescence in pemphigus vulgaris , lesions show a characteristic **net-like** pattern of **intercellular IgG** deposits
44
explain the image and the condition it is seen in
45
in bullous pemphigoid, the ____ lesions appear first followed by the ____ lesions
in bullous pemphigoid, the **cutaneous** lesions appear first followed by the **oral** lesions
46
bullous pemphigoid is caused by ___ autoantibodies to \_\_\_\_\_, where the antibody deposition occurs in a ____ pattern at \_\_\_\_\_
bullous pemphigoid is caused by **IgG** autoantibodies to **hemidesmosomes**, where the antibody deposition occurs in a **linear** pattern at **dermo-epidermal junction**
47
in bullous pemphigoid, the autoantibodies also activate ___ which recruit ___ and ____ and disrupt epidermal attachment
in bullous pemphigoid, the autoantibodies also activate **complement** which recruit **neutrophils** and **eosinophils** and disrupt epidermal attachment
48
do the lesions seen in bullous pemphigoid rupture easily?
NO, they are tense bullae that do not rupture easily and heal without scarring
49
describe the Nikolsky sign for pemphigus vulgaris vs. bullous pemphigoid
Nikolsky sign = lesions rupturing upon contact pemphigus vulgaris = POSITIVE Nikolsky sign bullous pemphigoid = NEGATIVE Nikolsky sign
50
dermatitis herpetiformis is associated with ___ and responds well to ___ diets
dermatitis herpetiformis is associated with **Celiac disease** and responds well to **gluten-free** diets
51
in dermatitis herpetiformis, ___ antibodies cross-react with ____ which is an anchoring filament that tethers the ___ to the \_\_\_\_
in dermatitis herpetiformis, **IgA** antibodies cross-react with **reticulin** which is an anchoring filament that tethers the **epidermis** to the **superficial dermis**
52
in dermatitis herpetiformis, ___ and ___ accumulate at the tips of dermal papillae forming \_\_\_\_
in dermatitis herpetiformis, **fibrin** and **macrophages** accumulate at the tips of dermal papillae forming **micro-abscesses**
53
in dermatitis herpetiformis, the basal layer overlying the microabscesses show ___ and ____ which ultimately forms bilsters
in dermatitis herpetiformis, the basal layer overlying the microabscesses show **vacuolization** and **dermoepidermal separation** which ultimately forms bilsters
54
on direct immunofluorescence in dermatitis herpetiformis, it shows ____ granular deposits of ___ that selectively localize in the \_\_\_\_
on direct immunofluorescence in dermatitis herpetiformis, it shows **discontinuous** granular deposits of **IgA** that selectively localize in the **tips of dermal papillae**
55
describe the image and the condition it is seen in
**dermatitis herpetiformis**
56
seborrheic keratosis is caused by ___ mutations in ____ pathway
seborrheic keratosis is caused by **activating** mutations in **FGFR3 signaling** pathway
57
describe the appearance and color of lesions seen in seborrheic keratosis
**round, exophytic, coin-like plaques** **tan to dark brown** with velvety surface
58
seborrheic keratosis is a benign neoplasm of ____ cells with \_\_\_\_\_
seborrheic keratosis is a benign neoplasm of **basal cells** with **melanin pigmentation**
59
seborrheic keratosis is ___ at the surface with \_\_\_-filled cysts
seborrheic keratosis is **hyperkeratosis** at the surface with **keratin**-filled cysts
60
actinic keratosis is caused by ___ exposure
actinic keratosis is caused by **sun** exposure
61
actinic keratosis is caused by \_\_\_-induced DNA damage, with ___ mutations
actinic keratosis is caused by **UV**-induced DNA damage, with **TP53** mutations
62
actinic keratosis may rarely progress to \_\_\_\_
actinic keratosis may rarely progress to **squamous cell carcinoma**
63
the color of actinic keratosis is ___ and has a \_\_\_\_-like feel to touch
the color of actinic keratosis is **tan-brown to red** and has a **sandpaper**-like feel to touch
64
on microscopic examination of actinic keratosis, there is cytologic ___ and hyperplasia of ____ cells
on microscopic examination of actinic keratosis, there is cytologic **atypia** and hyperplasia of **basal cells**
65
on microscopic examination of actinic keratosis, the superficial dermis has grey-blue \_\_\_, which is called \_\_\_\_
on microscopic examination of actinic keratosis, the superficial dermis has grey-blue **elastic fibers**, which is called **elastosis**
66
squamous cell carcinoma of the skin is due to DNA damage induced by \_\_\_\_
squamous cell carcinoma of the skin is due to DNA damage induced by **exposure to UV light**
67
list other predisposing factors for squamous cell carcinoma of the skin
68
\_\_\_ and ___ mutations are implicated in squamous cell carcinoma of the skin
**TP53** and **KRAS** mutations are implicated in squamous cell carcinoma of the skin
69
the lesions in squamous cell carcinoma of the skin appear as ____ defined, red, scaly papules or plaques
the lesions in squamous cell carcinoma of the skin appear as **sharply** defined, red, scaly papules or plaques
70
invasive squamous cell carcinomas of the skin are usually nodular with ____ scales and may \_\_\_\_
invasive squamous cell carcinomas of the skin are usually nodular with **hyperkeratotic** scales and may **ulcerate**
71
squamous cell carcinoma of the skin can arise from which precancerous lesion?
**actinic keratosis**
72
on microscopic examination of squamous cell carcinoma of the skin, the cells are enlarged and ____ cells are see in ____ of the epidermis
on microscopic examination of squamous cell carcinoma of the skin, the cells are enlarged and **hyperchromatic** cells are see in **all layers of the epidermis**
73
\_\_\_\_\_ is the most common invasive cancer in humans
**basal cell carcinoma** is the most common invasive cancer in humans
74
basal cell carcinomas are due to mutations that activate the ___ signaling pathway
basal cell carcinomas are due to mutations that activate the **Hedgehog** signaling pathway
75
basal cell carcinoma presents as ___ papules with \_\_\_\_
basal cell carcinoma presents as **pearly** papules with **telangiectasia**
76
basal cell carcinoma tumor cells resemble ___ cells and are therefore not seen over \_\_\_\_
basal cell carcinoma tumor cells resemble **basal germinitive** cells and are therefore not seen over **mucosal surfaces**
77
describe the 2 types of basal cell carcinomas
**multifocal superficial growths**: originate from epidermis **nodular lesions**: growing into dermis as cord of basophilic, hyperchromatic cells in a fibrous or mucinous stroma
78
in malignant melanomas, mutations involving which 3 genes are more frequently implicated?
p16 RAS BRAF
79
list features that confer a better prognosis for malignant melanoma
**lesser depth** **none or very few mitoses** **tumor infiltrating lymphocyte response** **lack of ulceration** **lack of regional LN involvement**