Obstructive Lung Diseases Flashcards

(34 cards)

1
Q

list the obstructive lung diseases

A
  • emphysema
  • chronic bronchitis
  • asthma
  • bronchiectasis
How well did you know this?
1
Not at all
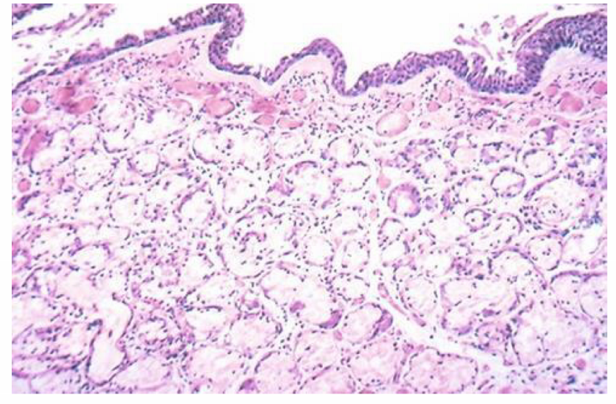
2
3
4
5
Perfectly
2
Q

list the restrictive lung diseases

A
  • acute restrictive disease
    • ARDS
  • chronic restrictive disease
    • interstitial fibrosis
    • pneumoconiosis
    • granulomatous
  • chest wall deformities
  • neuromuscular
How well did you know this?
1
Not at all
2
3
4
5
Perfectly
3
Q

summarize the differences between obstructive vs. restrictive diseases

A
How well did you know this?
1
Not at all
2
3
4
5
Perfectly
4
Q

____ is a reversible anatomic airway narrowing,

while

_____ are irreversible.

A

asthma is a reversible anatomic airway narrowing,

while

CB, emphysema, bronchiectasis are irreversible.

How well did you know this?
1
Not at all
2
3
4
5
Perfectly
5
Q

describe the structural change in emphysema

A
  • abnormal permanent airspace enlargement distal to the terminal bronchioles accompanied by destruction of airspace walls without fibrosis
How well did you know this?
1
Not at all
2
3
4
5
Perfectly
6
Q

describe the pathogenesis of emphysema

A
How well did you know this?
1
Not at all
2
3
4
5
Perfectly
7
Q

describe genetic factors involved in emphysema

A
  • A1AT deficiency
    • 1% of all emphysema
    • Pi gene on chr. 14
      • PiMM = normal, PiZZ = abnormal
    • protein accumulates in the liver if abnormal
    • chronic liver disease
  • polymorphisms in TGFB gene
  • polymorphisms in matrix metalloproteinases (MPPs)
How well did you know this?
1
Not at all
2
3
4
5
Perfectly
8
Q

describe the centrilobular vs. panlobular forms of emphysema

A
  • centrilobular (centriacinar)
    • smoking
    • upper lung zones
    • respiratory bronchioles is affected
  • panlobular (panacinar)
    • A1AT deficiency
    • lower lung zones
    • acinus distal to RB is involved
How well did you know this?
1
Not at all
2
3
4
5
Perfectly
9
Q

describe septal (distal acinar) vs. irregular (paracicatrical) forms of emphysema

A
  • septal (distal acinar) emphysema:
    • rare
    • next to atelectasis, along septa, margins of lobes, subpleural
    • more common in upper lobes
    • may form bullae
    • can lead to pneumothorax
  • irregular (__paracicatrical__) emphysema
    • surrounding scar
    • asymptomatic
How well did you know this?
1
Not at all
2
3
4
5
Perfectly
10
Q

describe the gross morphology of emphysema

A
  • gross
    • hyperinflated lungs +/- bulla formation
    • parenchyma has a “moth-eaten” appearance
  • histo:
    • destruction of alveolar septa without fibrosis
      • free floating alveolar septa in air spaces
    • destruction of elastin within small airways
      • aids in obstruction with exhalation due to airway collapse
How well did you know this?
1
Not at all
2
3
4
5
Perfectly
11
Q

describe what is seen in the image

A

emphysema

How well did you know this?
1
Not at all
2
3
4
5
Perfectly
12
Q

describe the clinical presentation of emphysema

A
  • clinical: “pink puffers”
    • symptoms appear late (earlier if coexistent chronic bronchitis)
    • barrel chest, dyspnea, prolonged expiration
    • sitting in a forward hunched position trying to squeeze air out of the lungs
    • x-ray: flat domes of diaphragm
    • weak and skinny
      • skinny because of excess puffing and panting due to hyperventilation
    • blood gases normal until late with onset of hypoxia, hypercapnia and resp. acidosis
How well did you know this?
1
Not at all
2
3
4
5
Perfectly
13
Q

chronic bronchitis is diagnosed when cough occurs ____ months in ____ years

A

chronic bronchitis is diagnosed when cough occurs in >3 consecutive months in >2 consecutive years

How well did you know this?
1
Not at all
2
3
4
5
Perfectly
14
Q

describe the etiology of chronic bronchitis

A
  • etiology:
    • common among smokers and urban dwellers
      • inhaled irritants: cigarette smoke, SO2, NO2
    • can occur in conjunction with emphysema
How well did you know this?
1
Not at all
2
3
4
5
Perfectly
15
Q

in chronic bronchitis, irritants induce…

A
  • inhaled irritants induce…
    • hypertrophy of seromucous glands
    • increased goblet cells (via metaplasia) in surface epithelium
How well did you know this?
1
Not at all
2
3
4
5
Perfectly
16
Q

describe the pathogenesis of chronic bronchitis

A
  • pathogenesis:
    • airflow obstruction in CB is peripheral (distal) and results from:
      • small airways disease: goblet cell metaplasia at the level of the bronchioles accompanied by inflammation, smooth muscle hyperplasia and peribronchiolar fibrosis
      • coexisting emphysema increases impairment
      • coexistent infxn can complicate and exacerbate symptoms
      • infiltrate of CD8+ T cells, macrophages and PMNs
        • no eosinophils in contrast to asthma
      • distinctive feature is hypersecretion of mucus​
17
Q

describe the Reid index and name a disease where it is increased

A
  • Reid index = ratio of the thickness of the mucous gland layer to the thickness of the wall between the epithelium and cartilage
    • this is increased in chronic bronchitis because of the seromucous gland hyperplasia
18
Q

describe the clinical presentation of chronic bronchitis

A
  • clinical = blue bloaters
    • hypoxia, hypercapnia, cyanosis
      • persistent hypercapnia → respiratory centers insensitive to pCO2
      • respiratory drive is driven by low pO2
    • complicated by secondary infxns
    • over time → pulm. hypertension → cor pulmonale
      • common in any disease where hypoxia occurs
20
Q

summarize the differences between chronic bronchitis and emphysema

21
Q

describe the etiology of asthma

A
  • etiology:
    • chronic inflammatory disease
    • hyperactive airways
    • recurrent wheezing, breathlessness, chest tightness and cough
    • episodic, reversible bronchoconstriction
22
Q

describe the pathogenesis of type 1 hypersensitivity seen in atopic asthma

A
  • pathogenesis:
    • allergic sensitization; type I IgE mediated hypersensitivity rxn
      • patients often have allergic rhinitis or eczema
    • Th2 → cytokines
      • IL-4 stimulates IgE production
      • IL-5 activates eosinophils
      • IL-13 stimulates mucus production and promotes IgE production by B-cells
    • IgE coats mast cells which degranulate with antigen exposure
23
Q

describe the pathogenesis of mast cell degranulation in atopic asthma

24
Q

describe the pathogenesis of non-atopic asthma

A
  • no evidence of sensitiation
    • serum IgE = normal
  • virus induces mucosal damage → lower threshold of subepithelial vagal receptors to irritants
  • drug induced asthma
    • triad: recurrent rhinitis, nasal polyps, urticaria and bronchospasm
    • aspirin inhibits COX without affecting lipo-oxygenase route → bronchoconstriction mediated by leukotrienes
25
aspirin-induced asthma results in.... (4 symptoms)
* aspirin-induced asthma results in: * recurrent rhinitis * nasal polyps * urticaria * bronchospasm
26
describe occupational asthma
* asthma stimulated by fumes, organic dusts, chemical dusts and gases * epoxy resins, plastics * wood, cotton, platinum * toluene * asthma attacks following repeated exposure
27
describe what is seen in the image
* Curschmann spirals = strings of mucus with dead epithelial cells in it
28
describe the clinical presentation of asthma
* recurrent sudden attacks of resp. distress, tightness of chest * expiratory dyspnea, wheezing/ronchi * thick sputum * progressive hyperinflation of lungs with air trapped distal to mucous packed bronchi * episodic = nights and early mornings * attacks last a couple hours and subside spontaneously or with therapy
29
describe pulmonary function tests in asthmatics
* FEV1 \<30%, hyperventilation * hypoxia, hypercapnia, resp. acidosis * symptom-free intervals but residual resp. defects on spirometry
30
describe the etiology of bronchiectasis
* bronchiectasis: permanent dilation of bronchi/bronchioles secondary to destruction of supporting tissue * etiology: * obstruction and chronic infxn * bronchial obstruction: tumor, foreign body * congenital/hereditary conditions * CF, immunodeficiency states, Kartagener syndrome * necrotizing/suppurative pneumonia * virulent organisms (S. aureus, Klebsiella spp.)
31
describe the pathogenesis of bronchiectasis
32
describe what is seen in the image
33
describe microscopic findings in bronchiectasis
* intense acute and chronic inflammatory exudate in bronchial walls, necrotizing ulceration * squamous metaplasia of bronchial epithelium * lung abscesses may be present * fibrosis of bronchial walls leading to bronchiolitis obliterans * cultures are usually positive
34
name a hereditary cause of bronchiectasis
* primary ciliary dyskinesia (Kartagener syndrome): * AR disorder of ciliary microtubules * structural abnormalities of cilia impair mucociliary escalator * persistent infxns → bronchiectasis * decreased motility of spermatozoa → sterility in males * 1/3 have situs inversus