Vasculitis Flashcards

(40 cards)

1
Q

in vasculitis, there is inflammation and necrosis of the ____

A

in vasculitis, there is inflammation and necrosis of the blood vessels, including arteries, veins and capillaries

How well did you know this?
1
Not at all
2
3
4
5
Perfectly
2
Q

list the vasculitis disorders that are immune complex-mediated

A
  • immune complex-mediated
    • hepatitis B or C virus-mediated
    • SLE and rheumatoid arthritis
    • drug induced
How well did you know this?
1
Not at all
2
3
4
5
Perfectly
3
Q

describe the vasculitis disorders that are ANCA-mediated

A
  • ANCA-mediated
    • Wegener’s granulomatosis
    • Churg-Strauss
How well did you know this?
1
Not at all
2
3
4
5
Perfectly
4
Q

list the vasculitis disorders that are direct antibody attack-mediated

A
  • direct antibody attack-mediated
    • Kawasaki disease (anti-endothelial cells antibodies)
How well did you know this?
1
Not at all
2
3
4
5
Perfectly
5
Q

describe the vasculitis disorders that are cell-mediated

A
  • cell-mediated
    • allograft organ rejection
How well did you know this?
1
Not at all
2
3
4
5
Perfectly
6
Q

___ is the most common type of vasculitis

explain this vasculitis

A

giant cell (temporal) arteritis (GCA)is the most common type of vasculitis

  • affects mainly the arteries in the head
    • aorta (giant cell aortitis)
    • temporal
    • vertebral
    • ophthalmic → can lead to blindness
  • T-cell mediated immunologic rxn against elastin (?)
How well did you know this?
1
Not at all
2
3
4
5
Perfectly
7
Q

describe the histology of giant cell arteritis

A
  • focal, nodular thickening with reduction of lumen
  • granulomatous inflammation of intima and inner media
  • giant cells, mononuclear cells
  • fragmentation of IEL
How well did you know this?
1
Not at all
2
3
4
5
Perfectly
8
Q

describe diagnosis of GCA

A
  • diagnosis:
    • elevated ESR
    • temporal artery biopsy
      • 2-3 cm. segment, multiple section
      • elastic trichrome stain
    • association with polymyalgia rheumatica
How well did you know this?
1
Not at all
2
3
4
5
Perfectly
9
Q

describe the treatment of giant cell arteritis

A
  • treatment:
    • steroids, analgesics
How well did you know this?
1
Not at all
2
3
4
5
Perfectly
10
Q

describe Takayasu arteritis

A
  • granulomatous vasculitis of medium and large arteries with narrowing and obliteration of lumen
  • most commonly affects arch of aorta with narrowing or virtual obliteration of the origins of the great vessels arising in the arch
  • can also involve pulmonary, coronary and renal arteries
How well did you know this?
1
Not at all
2
3
4
5
Perfectly
11
Q

describe the clinical features of Takayasu arteritis

A
  • most common in females < 40 yrs
  • ocular changes: visual disturbances, retinal hemorrhages, blindness
  • progressive diminution of upper limb pulses with coldness or numbness of fingers → pulseless disease
  • low BP in upper limb
  • neurologic defects → dizziness, focal weakness or complete hemiparesis
How well did you know this?
1
Not at all
2
3
4
5
Perfectly
12
Q

which disease shows the following:

progressive diminution of upper limb pulses with coldness or numbness of fingers → pulseless disease

A

Takayasu arteritis

How well did you know this?
1
Not at all
2
3
4
5
Perfectly
13
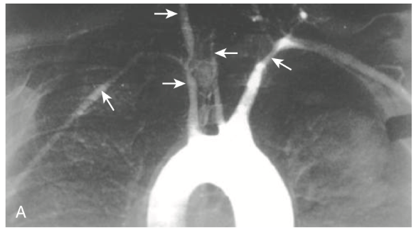
Q

describe what is seen in the image

A

Takayasu disease

aortic arch angiogram showing reduced flow of contrast material into the great vessels and narrowing of the brachiocephalic, carotid and subclavian arteries

How well did you know this?
1
Not at all
2
3
4
5
Perfectly
14
Q
A

Takayasu arteritis

  • cross-sections of the right carotid artery demonstrating marked intimal thickening and luminal narrowing
How well did you know this?
1
Not at all
2
3
4
5
Perfectly
15
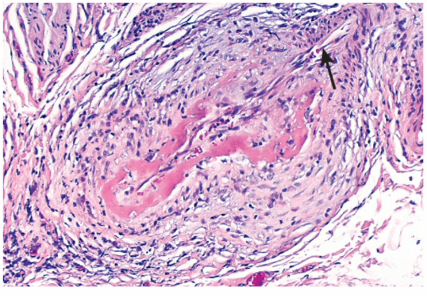
Q

describe what is seen in the image

A

Takayasu arteritis

  • histo illustrating destruction and fibrosis of the arterial media associated with mononuclear infiltrates and giant cells (arrows)
How well did you know this?
1
Not at all
2
3
4
5
Perfectly
16
Q

describe polyarteritis nodosa

A
  • systemic vasculitis
  • transmural necrotizing inflammation of small or medium-sized muscular arteries
  • typically involves renal and visceral arteries and spares the pulmonary circulation (PAN = Pulmonary Arteries Not affected)
  • arterioles, capillaries and venules are not affected
How well did you know this?
1
Not at all
2
3
4
5
Perfectly
17
Q

30% of PAN patients also have _____

A

30% of PAN patients also have Hep B

18
Q

describe the gross morphology of PAN and the order in which organs are affected

A
  • gross:
    • distribution of lesions in descending order of frequency → kidney, heart, liver, GIT (lungs NOT involved)
    • lesions have a predilection for branching points​
19
Q

describe the histo morphology of PAN

A

all stages of activity may coexist in different vessels or even within the same vessel which is a characteristic feature

  • histo:
    • acute stage: transmural inflammation, fibrinoid necrosis of the inner half of the vessel wall
    • later stages: inflammation is replaced by fibrous thickening of the vessel wall
20
Q

describe the image

A

PAN

  • associated with segmental fibrinoid necrosis and thrombotic occlusion of a small artery. note that part of the vessel (arrow) is uninvolved
21
Q

list complications of PAN

A
  • weakening of arterial wall owing to inflammatory process may cause aneurysmal dilatation or localized rupture
  • impairment of perfusion causing ulcerations, infarcts, ischemic atrophy, or hemorrhages in the areas supplied by these vessels
22
Q

describe Kawasaki disease

A
  • arteritis involving the large, medium and small arteries (often coronary arteries)
  • also called mucocutaneous lymph node syndrome (MCLNS)
  • usually in young children and infants
  • leading cause of acquired heart disease in children in the US
23
Q

in Kawasaki disease there are ___ against ____ leading to acute vasculitis

A

in Kawasaki disease there are autoantibodies against endothelium, smooth muscle cells leading to acute vasculitis

24
Q

describe the clinical features of Kawasaki disease

25
describe the treatment of Kawasaki disease
26
describe the morphology of Kawasaki disease
* lesions may range from: * severe destruction of all constituents of the wall by a segmental necrotizing process, with moderate fibrinoid change and dense infiltrate of inflammatory cells, to * mild changes involving intima only * acute vasculitis may lead to **coronary aneurysm formation** and associated thrombosis with MI
27
describe Buerger disease (Thromboangiitis obliterans)
* Buerger disease (thromboangiitis obliterans) * characterized by segmental, thrombosing, acute and chronic inflammation of medium-sized and small arteries * mainly the tibial and radial arteries and sometimes secondarily extending to veins and nerves of the extremities
28
in Buerger disease (thromb. obliterans), the ___ and ___ arteries are mainly affected
in Buerger disease ( thromb . obliterans), the **tibial** and **radial** arteries are mainly affected
29
the main predisposing factor for Buerger disease is _____ and mainly affects ____ (3 populations)
the main predisposing factor for Buerger disease is **cigarette smoking (HS reaction to tobacco → direct endothelial injury)** and mainly affects **people from India, Israel and Japan**
30
describe the clinical features of Buerger disease
* affects males most commonly (\<35 yrs) * superficial nodular phlebitis, cold insensitivity (Reynaud's), claudication pain on the instep, severe progressive pain (due to neural involvement) on exercise and at rest * chronic ulceration of the toes, feet or finger may appear followed by gangrene
31
describe the morphology seen in Buerger disease
* sharply segmental acute and chronic vasculitis: medium and small-sized arteries of extremities * acute and chronic inflammation permeating the arterial walls, accompanied by thrombosis of the lumen
32
describe microscopic polyangiitis (hypersensitivity or leukocytoclastic vasculitis)
* necrotizing vasculitis of capillaries, arterioles and small venules * segmental fibrinoid necrosis of media with focal transmural necrotizing lesions - PMNs * no infarcts - small size vessels * absence of granulomatous response * all organs affected including lungs * all lesions same age
33
microscopic polyangiitis may be caused by hypersensitivity to drugs, like ____ and infections by \_\_\_\_\_
microscopic polyangiitis may be caused by hypersensitivity to drugs, like **penicillin** and infections by **Strep**
34
patients with microscopic polyangiitis test positive for ____ aka _____ and there is absence of \_\_\_\_
patients with microscopic polyangiitis test positive for **MPO-ANCA** aka **p-ANCA** and there is absence of **IgG (pauci-immune)**
35
describe the clinical features of microscopic polyangiitis
* hemoptysis, hematuria, proteinuria * blood in the stool * cutaneous purpura * respond to removal of the offending agent
36
describe the triad seen in granulomatosis with polyangiitis (Wegener Granulomatosis)
* triad: * acute necrotizing granulomas of upper and lower resp. tract * focal necrotizing or granulomatous vasculitis affecting small to medium-sized vessels * renal disease in the form of focal or necrotizing, often crescentic glomerulonephritis
37
patients with GPA/Wegeners test positive for \_\_\_\_
patients with GPA/ Wegeners test positive for **c-ANCA**
38
describe the clinical features of GPA/WG
* M\>F * persistent pneumonitis with bilateral nodular and cavitary infiltrates * hemoptysis * chronic sinusitis * mucosal ulceration of the nasopharynx * evidence of renal disease (hematuria, acute renal failure) * 80% of untreated patients die within 1 year
39
describe Churg-Strauss Syndrome
* allergic granulomatosis and angiitis * allergic rhinits, bronchial asthma, peripheral eosinophilia * positivity for p-ANCA
40
summarize the small blood vessel vasculitis conditions