Streptococci Flashcards

(28 cards)

1
Q

describe damage by immune response seen in streptococci infection

A
  • cross-reacting antibodies get deposited on normal tissue antigens
    • e.g. Rheumatic fever
  • immune complex deposition in organs
    • e.g. glomerulonephritis
How well did you know this?
1
Not at all
2
3
4
5
Perfectly
2
Q

describe the cross-reacting antibodies seen in Rheumatic fever

A
  • initial infection with specific strains of Streptococci causing sore throat or rarely skin infections
  • lag period of 2-3 weeks after the initial infection
  • antibodies generated to M protein of the bacteria cross-react with tissue glycoprotein in joints, heart, skin, etc.
  • get deposited in the tissues and elicit inflammatory reaction at the site of deposition
  • carditis: Aschoff bodes in the heart
How well did you know this?
1
Not at all
2
3
4
5
Perfectly
3
Q

acute rheumatic fever is a type ____ hypersensitivity

A

acute rheumatic fever is a type II hypersensitivity

How well did you know this?
1
Not at all
2
3
4
5
Perfectly
4
Q

in rheumatic fever, antibodies generated to ____ cross-react with tissue glycoprotein in joints, heart, skin, etc.

A

in rheumatic fever, antibodies generated to M protein of the bacteria cross-react with tissue glycoprotein in joints, heart, skin, etc.

they get deposited in the tissues and elicit inflammatory reaction at the site of deposition

How well did you know this?
1
Not at all
2
3
4
5
Perfectly
5
Q

in acute rheumatic fever, ____ are found in the heart

A

in acute rheumatic fever, Aschoff bodies are found in the heart

How well did you know this?
1
Not at all
2
3
4
5
Perfectly
6
Q

patients with rheumatic fever then develop fever, ________ (5 other symptoms)

A

patients with rheumatic fever then develop fever, polyarthritis, carditis, chorea, skin nodules, erythema (ACCNE)

How well did you know this?
1
Not at all
2
3
4
5
Perfectly
7
Q

in rheumatic fever ____ and ___ would be elevated

A

in rheumatic fever ASO titer and ESR would be elevated

How well did you know this?
1
Not at all
2
3
4
5
Perfectly
8
Q

rheumatic carditis can become chronic and lead to _____

A

rheumatic carditis can become chronic and lead to mitral stenosis

How well did you know this?
1
Not at all
2
3
4
5
Perfectly
9
Q

describe what is seen in the image

A

acute vegetation of the mitral valve with fibrosis of the chordae tendineae

How well did you know this?
1
Not at all
2
3
4
5
Perfectly
10
Q

describe what is seen in the image

A
How well did you know this?
1
Not at all
2
3
4
5
Perfectly
11
Q

describe what is seen in the image

A
How well did you know this?
1
Not at all
2
3
4
5
Perfectly
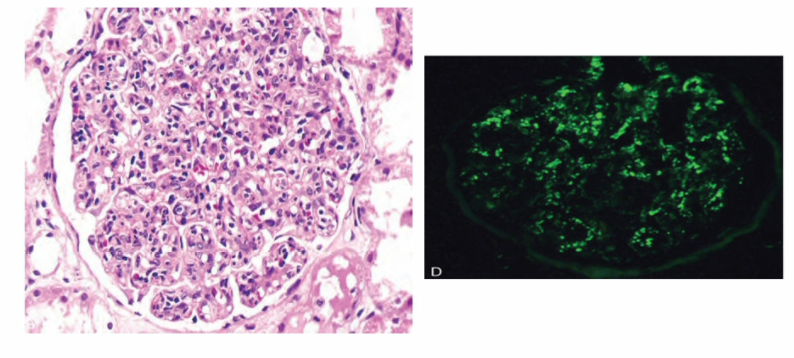
12
Q

describe post-streptococcal glomerulonephritis

A

immune complex mediated

  • initial infection with specific strains of Streptococci causing skin infections or rarely sore throat
  • lag period of 1-4 weeks after the initial infxn
  • then develop acute malaise, fever, oliguria, hematuria, azotemia (increased BUN, creatinine and decreased GFR), hypertension
How well did you know this?
1
Not at all
2
3
4
5
Perfectly
13
Q

in post streptococcal glomerulonephritis, immune complexes get deposited in the _____ of the _____

A

in post streptococcal glomerulonephritis, immune complexes get deposited in the basement membrane of the glomeruli

How well did you know this?
1
Not at all
2
3
4
5
Perfectly
14
Q

describe what is seen in the image

A
How well did you know this?
1
Not at all
2
3
4
5
Perfectly
15
Q

describe the etiology of diphtheria

A
  • etiology:
    • corynebacterium diphtheria: G+ve rod
    • commonly affect children
How well did you know this?
1
Not at all
2
3
4
5
Perfectly
16
Q

describe the pathogenesis of diphtheria

A
  • pathogenesis:
    • toxin inhibits protein synthesis by ADA-ribosylation of protein synthesis
    • affects the pharynx and tonsils and leads to necrosis of the mucosa
      • the necrotic cells, bacteria, PMN and exudate form pseudomembrane (can block the airway)
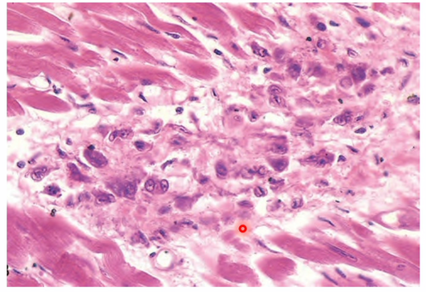
17
Q

describe the clinical features of diphtheria

A
  • clinical features:
    • fever, dysphagia
    • lymph nodes enlargement in the neck (Bull neck)
    • laryngeal edema (may need tracheotomy)
    • adherent thick gray material covering the tonsils and pharynx
18
Q

describe complications of diphtheria

A
  • C. diphtheriae can produce powerful exotoxins
    • this can cause myocarditis which can lead to heart failure (3 weeks) and spinal nerve paralysis
19
Q

_______ is an antibiotic-associated colitis

A

pseudomembranous colitis is an antibiotic-associated colitis

20
Q

describe the etiology of pseudomembranous colitis

A
  • etiology:
    • Clostridium difficile (G+ve bacillus)
21
Q

describe the pathogenesis of pseudomembranous colitis

A
  • pathogenesis:
    • broad spectrum antibiotics eliminate normal flora of the gut that normally afford protection
      • classically seen with the use of Clindamycin, cephalosporin, amoxicillin, ampicillin
    • severe mucosal suppurative inflammation (multiple ulcers) which leads to necrotic mucosa that forms a pseudomembrane (seen on colonoscopy)
    • colitis and pseudomembrane result from bacterial production of large amount of enterotoxins
22
Q

an investigation for pseudomembranous colitis is ____ in the stool

A

an investigation for pseudomembranous colitis is C. difficile in the stool

23
Q

describe the clinical features of pseudomembranous colitis

A
  • clinical features:
    • fever, abdominal cramps and diarrhea (watery, with/without blood)
25
describe clostridia perfringens
* G+ve bacilli, anaerobic, produce spores found in soil * invade traumatic and surgical wounds
26
clostridia perfringens secretes 14 toxins, with the most important being \_\_\_\_\_
clostridia perfringens secretes 14 toxins, with the most important being **Alpha toxin (Lecinthinase)**
27
clostridia perfringens degrades ____ and destroys \_\_\_\_\_
clostridia perfringens degrades **lecithin (major component of cell membrane)** and destroys **RBCs, platelets and muscle fibers (myonecrosis)**
28
describe what is seen in the image