Es la infección del oído medio:
Otitis media
¿Cuál es la presentación clínica de la otitis media?

¿Cuál es el mejor estudio para la otitis media?
TC
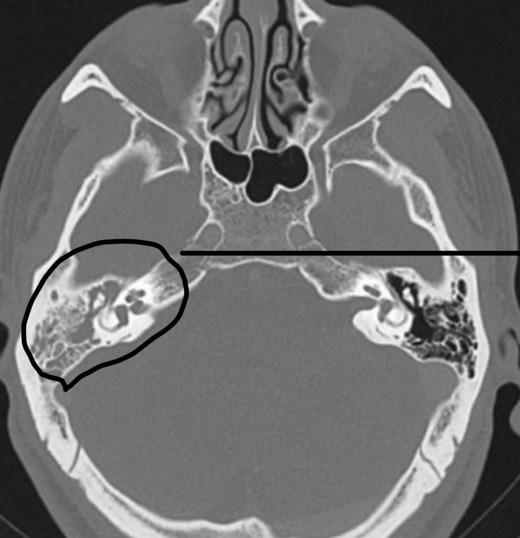
¿Cuáles son las pistas diagnósticas en la TC de la otitis media?

¿Para qué se utiliza la RM en otitis media y cuáles son sus hallazgos?
Para complicaciones
Es la infección de la apófisis mastoides que puede ser crónica o aguda:
Mastoiditis
La mastoiditis crónica se complica con:
La mastoiditis comunmente se presenta en niños y se asocia a:
Otitis media
Signo característico de la mastoiditis:
Signo de Battle

¿Cuál es el mejor estudio dx para la mastoiditis?
TC
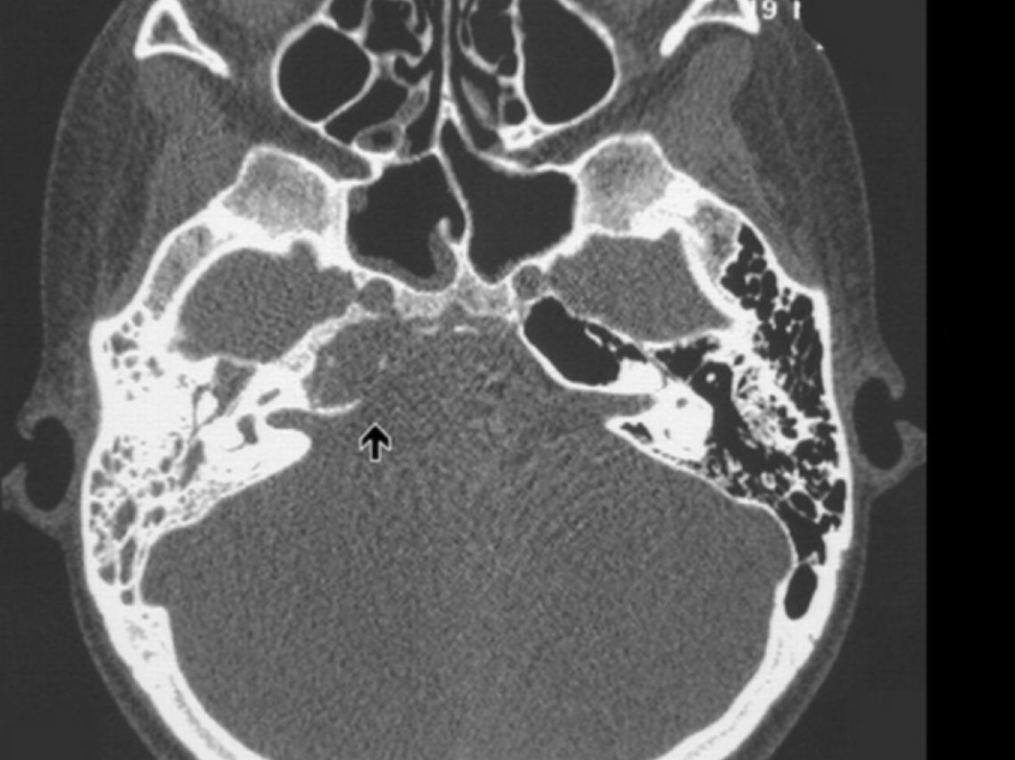
¿Cuáles son los hallazgos radiológicos en la TC de mastoiditis?

¿Qué abscesos se pueden formar secundarios a la mastoiditis?

Es la neoplasia de tejido epidérmico que crece en el conducto auditivo:
Colesteatoma
El colesteatoma es una complicación de:
Otitis media
El colesteatoma es benigno, pero se comporta como maligno, V/F:
Verdadero
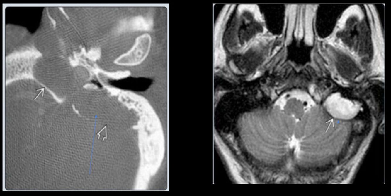
El colesteatoma destruye:
¿Cuál es la presentación clínica del colesteatoma?
Los hallazgos en otitis y mastoiditis son los mismos que se encuentran en el colesteatoma, V/F:
Verdadero
¿Cuál es una pista característica del colesteatoma?
Destruye hueso

En la RM del colesteatoma, ¿cómo se observa en T2?
Hiperintensa
