Es la protusión anormal del globo ocular por una alteración que ocupa espacio en la órbita:
Proptosis/exoftalmos

¿Cuál es la presentación clínica del exoftalmos?
¿Cuál es el valor de la exoftalmometría normal?
16 a 17 mm
¿Cuáles son los hallazgos radiológicos en la TC del exoftalmos?

¿Qué es la disociación índice globo ocular?
Es la diferencia en la distancia del ojo izquierdo con el derecho
¿Cuáles son los hallazgos radiológicos en la RM del exoftalmos?

Enfermedad autoinmune orbital asociada con disfunción en la tiroides, es la causa más común de exoftalmos:
Orbitopatía tiroidea
¿Cuál es la presentación clínica de la orbitopatía tiroidea?
La orbitopatía tiroidea es más común en ___, y más severa en ___:
Mujeres, hombres.
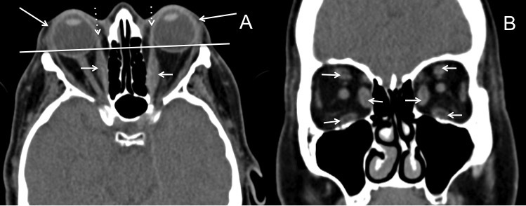
¿Cuáles son los hallazgos radiológicos en la TC de la obitopatía tiroidea?

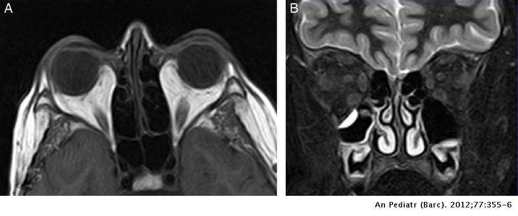
¿Cuáles son los hallazgos radiológicos en la RM de la obitopatía tiroidea?

Es el tumor maligno primario de la retina:
Retinoblastoma
¿Cuáles son los subtipos del retinoblastoma?
Subtipo en el cual el retinoblastoma es bilateral + tumor neuroplástico:
Trilateral
Subtipo en el cuál el retinoblastoma es bilateral + tumores pineales y supraselares:
Cuadrilateral
¿Cuál es la presentación clínica del retinoblastoma?
¿Cuál es la mejor pista diagnóstica en imagenología?
Calcificaciones intraoculares

La TC en orbitopatía tiroidea se usa para ___, mientras que la RM se usa para __.
La TC en retinoblastoma es útil para ___, mientras que la RM para ___.
¿Qué hallazgos radiológicos podemos encontrar en la TC del retinoblastoma?

El retinoblastoma puede ocasionar hemorragia, V/F:
Verdadero
El desprendimiento de la retina ocurre en las __ capas del lecho ocular.
9
¿Cuáles son las dos causas del desprendimiento de la retina?
¿Cuáles son los métodos diagnósticos para el desprendimiento de la retina?