Repaso Flashcards

(20 cards)

1
Q

¿Cuál de los siguientes **no **es una definición de los rayos X?

  • No ionizante
  • Artificial
  • Electromagnética
  • Ionizante
A

No ionizante

How well did you know this?
1
Not at all
2
3
4
5
Perfectly
2
Q

En la escala de Hounsfield, el agua tiene un valor numérico de:

A

0

How well did you know this?
1
Not at all
2
3
4
5
Perfectly
3
Q

En ultrasonido, ¿en qué estado de la materia se encuentra un cuerpo anecoico?

A

Líquido

How well did you know this?
1
Not at all
2
3
4
5
Perfectly
4
Q

Es una de las desventajas del ultrasonido:
* Es accesible
* Es económico
* No usa radiación ionizante
* Es operador dependiente

A

Es operador dependiente

How well did you know this?
1
Not at all
2
3
4
5
Perfectly
5
Q

Es el descubridor de los rayos X:

A

Roentgen

How well did you know this?
1
Not at all
2
3
4
5
Perfectly
6
Q

¿Cómo se aprecia el líquido (sinovial, LCR, pleural, etc) en la secuencia de T2?

A

Hiperintenso

How well did you know this?
1
Not at all
2
3
4
5
Perfectly
7
Q

La RM es excelente para valorar todo lo siguiente, excepto:
* Vías aéreas
* Degradación de Hb
* Cartílago
* Médula ósea

A

Vías aéreas

How well did you know this?
1
Not at all
2
3
4
5
Perfectly
8
Q

En la protección radiológica, a mayor distancia de la fuente emisora, se obtiene mayor radiación. V/F.

A

Falso

How well did you know this?
1
Not at all
2
3
4
5
Perfectly
9
Q

Partícula subatómica con la cuál trabaja la RM:

A

Protón

How well did you know this?
1
Not at all
2
3
4
5
Perfectly
10
Q

Es una desventaja de la TC:
* Su utilidad en vías aéreas y tubo digestivo
* Su utilidad para partes blandas
* Su utilidad para estructuras pequeñas como huesecillos del oído
* Su capacidad de ser cuantitativa y cualitativa

A

Su utilidad para partes blandas

How well did you know this?
1
Not at all
2
3
4
5
Perfectly
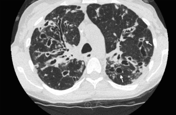
11
Q

¿Cuál es el diagnóstico?

A

Bronquiectasias

How well did you know this?
1
Not at all
2
3
4
5
Perfectly
12
Q

En 25% de los px con asma, la rx es normal, V/F.

A

Falso

How well did you know this?
1
Not at all
2
3
4
5
Perfectly
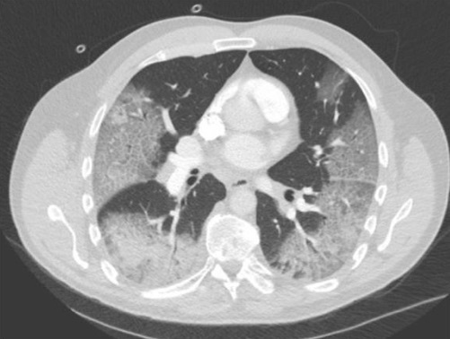
13
Q

¿Cuál es el diagnóstico?

A

Consolidación vidrio esmerilado y empedrado loco.

How well did you know this?
1
Not at all
2
3
4
5
Perfectly
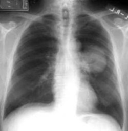
14
Q

¿Cuál es el dx?

A

Carcinoma broncogénico

How well did you know this?
1
Not at all
2
3
4
5
Perfectly
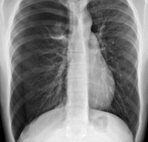
15
Q

¿Cuál es el dx?

A

Neumotórax

How well did you know this?
1
Not at all
2
3
4
5
Perfectly
16
Q

¿Cuál es el dx?

17
Q

Método ideal para dx cáncer tiroideo:

18
Q

Gold standard para dx de MAV:

19
Q

El infierno tiroideo se puede encontrar en:

A

Hipertiroidismo

20
Q

Tumoración benigna más común del cráneo: