oido Flashcards

(21 cards)

1
Q

patologías que puedes ver de oido en imagen

A
  • otitis media
  • mastoiditis/otomastoiditis
  • colesteatoma
How well did you know this?
1
Not at all
2
3
4
5
Perfectly
2
Q

infección del oído medio

A

otitis media

How well did you know this?
1
Not at all
2
3
4
5
Perfectly
3
Q

Clínica de otitis media

A

Pérdida unilateral auditiva conductiva
Obstrucción del tubo de Eustaquio
Masa incidental del oído medio

How well did you know this?
1
Not at all
2
3
4
5
Perfectly
4
Q

Cuál es la causa más frecuente de otitis media

A

Por infección de vías superiores mal tratada

How well did you know this?
1
Not at all
2
3
4
5
Perfectly
5
Q

Mejor estudio de imagen y clave diagnóstica de otitis media

A

TC
Masa bien definida en oído medio (densidad intermedia) + erosiones osiculares o laberinticas

How well did you know this?
1
Not at all
2
3
4
5
Perfectly
6
Q
A
How well did you know this?
1
Not at all
2
3
4
5
Perfectly
6
Q

A que se asocia la otitis media

A

Se asocia a mastoiditis

How well did you know this?
1
Not at all
2
3
4
5
Perfectly
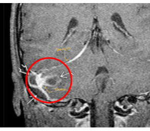
7
Q

Cuál es tu diagnóstico?

A

Otitis media

How well did you know this?
1
Not at all
2
3
4
5
Perfectly
8
Q

La RM está indicada en las complicaciones de la otitis media, ¿Coque veras en la secuencia T1 y T2?

A

T1: masa hipointensa en oído medio
T2: masa híper intensa en oído y mastoides

How well did you know this?
1
Not at all
2
3
4
5
Perfectly
9
Q

Es la infección de la apófisis mastoides que puede ser crónica o aguda. La crónica se complica con resorción ósea y desmielinización formando hueso nuevo

A

mastoiditis/otomastoiditis

How well did you know this?
1
Not at all
2
3
4
5
Perfectly
10
Q

Complicación de mastoiditis

A

Resorción ósea y desmineralización

How well did you know this?
1
Not at all
2
3
4
5
Perfectly
11
Q

A que esta asociado la mastoiditis/otomastoiditis y en quien es más común

A

comun en niños, asociado a complicación de otitis media

How well did you know this?
1
Not at all
2
3
4
5
Perfectly
12
Q

Clave en imagneología para dx de mastoiditis

A

Opacificación de celdillas mastoideas+ colección de líquido (pus o moco)

Si es crónico vemos efecto esclerodiploico que es mastoides osificada

How well did you know this?
1
Not at all
2
3
4
5
Perfectly
13
Q

Complicaciones de la mastoiditis

A

Abscesos que pueden extenderse a fosa posterior y fosa craneal media

How well did you know this?
1
Not at all
2
3
4
5
Perfectly
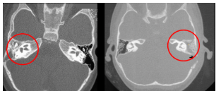
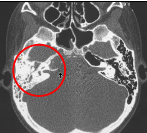
14
Q

Dx de la siguiente imagen

A

Mastoiditis

How well did you know this?
1
Not at all
2
3
4
5
Perfectly
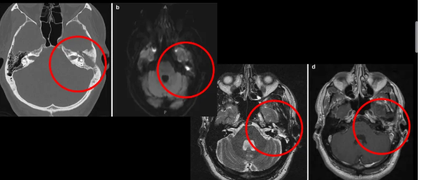
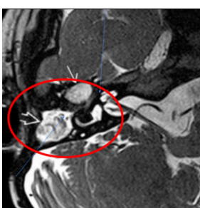
15
Q

Para que sirve la RM en mastoiditis y específicamente en T2

A

Hiperseñal, disminución de señal es senos sigmpideos y captación de contraste

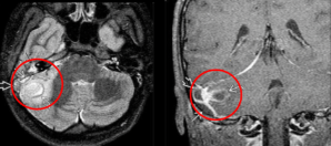
16
Q

De que enfermedad se trata y qué complicacion está presentando

A

Mastoiditis con invasión a SNC con un absceso que provoca una meningitis

17
Q

neoplasia del tejido epidérmico que crece en el interior del conducto auditivo, es una complicación de otomastoiditis

18
Q

Clínica del colesteatoma

A

Dolor retroauricular
Sordera
Meningitis
a la EF masa blanquecina en el oido
Destruye hueso y cadena osicular

19
Q

Qué estudio diagnostica el colesteatoma y cuál es la mejor pista

A

TC Y RM
Pista: Masa que destruye el hueso

20
Q

Enfermedad que con la secuencia en T2 tipo DWi se muesta una lesión hipertensa