orbita Flashcards

(31 cards)

1
Q

cuáles son las 4 patologías de orbita que veremos en imagen

A
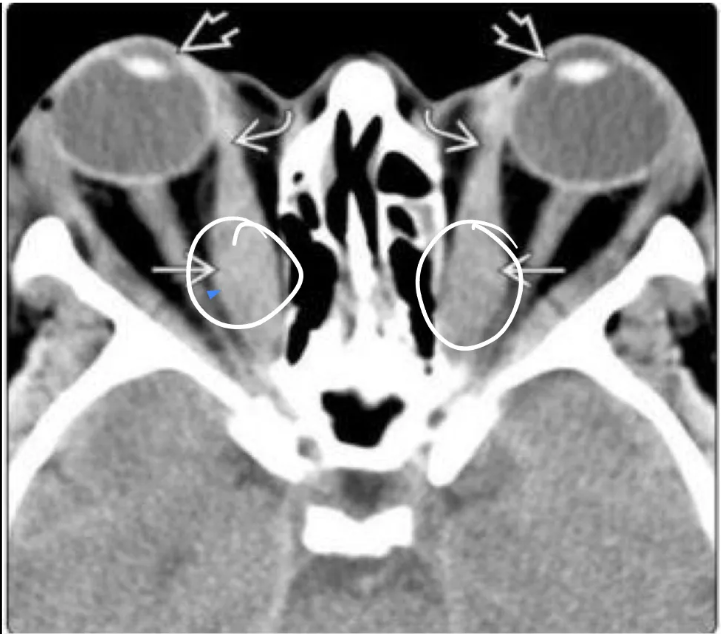
  • exoftalmos
  • orbitopatia tiroidea
  • retinoblastoma
  • desprendimiento de retina
How well did you know this?
1
Not at all
2
3
4
5
Perfectly
2
Q

Protusión anormal de uno o dos globos oculares, debido a una alteración que ocupa el espcaio de la órbita, esto es?

A

exoftalmos

How well did you know this?
1
Not at all
2
3
4
5
Perfectly
3
Q

Causa más común de exoftalmos

A

Orbitopatía tiroidea

How well did you know this?
1
Not at all
2
3
4
5
Perfectly
4
Q

Clínica de exoftalmos

A

Edema palpebral
Dolor retroocular
Diplopía
ojos saltones

How well did you know this?
1
Not at all
2
3
4
5
Perfectly
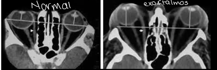
5
Q

Cómo se diagnostíca exoftalmos y cuál es el valor normal de la prueba

A

Exoftalmometría
Normal 16-17 mm
diferencia de 2mm es anormal y <14 es enoftalmos

How well did you know this?
1
Not at all
2
3
4
5
Perfectly
6
Q

qué esperas ver en una TC por exoftalmos

A

protrusión ocular anormal, Disociación índice globo ocular-línea intercigomática (Si línea no cruza los ojos es anormal)

How well did you know this?
1
Not at all
2
3
4
5
Perfectly
7
Q
A
How well did you know this?
1
Not at all
2
3
4
5
Perfectly
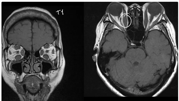
8
Q

Qué esperas ver en una RM de exoftalmos

A

Protusion ocular anormal, Disociación índice ocular-línea intercantal y Masas ocupativas retroocular

How well did you know this?
1
Not at all
2
3
4
5
Perfectly
9
Q

Llamada enfermedad de graves, enfermedad autoinmune orbital asociada con disfunción de la tiroides

A

orbitopatía tiroidea

How well did you know this?
1
Not at all
2
3
4
5
Perfectly
10
Q

Px llega con edema periorbital, dolor, ojo seco, retracción del párpado, ¿de qué enfermedad es esta clínica

A

Clínica de orbitopatía tiroidea

How well did you know this?
1
Not at all
2
3
4
5
Perfectly
11
Q

Clave en imagen para diagnosticar la orbitopatía tiroidea

A

Agrandamiento BILATERAL de los músculos extraoculares

How well did you know this?
1
Not at all
2
3
4
5
Perfectly
12
Q

Hallazgos que podemos encontrar en una TC de orbitopatía tiroidea

A

Agrandamiento de los músculos extraoculares
Áreas de baja densidad debido a depósitos de glucosaminoglicano
Exoftalmos
Nervio óptico estirado

How well did you know this?
1
Not at all
2
3
4
5
Perfectly
13
Q

¿Qué características esperas encontrar en una RM en secuencia T1 en la enfermedad de orbitopatía tiroidea?

A

Agrandamiento de músculos extraoculares

How well did you know this?
1
Not at all
2
3
4
5
Perfectly
14
Q

¿Qué características esperas encontrar en una RM en secuencia T2 en la enfermedad de orbitopatía tiroidea?

A

Aumento de señal en músculos extraoculares en fase agudas
Diámetro disminuido del nervio óptico

How well did you know this?
1
Not at all
2
3
4
5
Perfectly
15
Q

Tumor maligno primario de la retina

A

retinoblastoma

How well did you know this?
1
Not at all
2
3
4
5
Perfectly
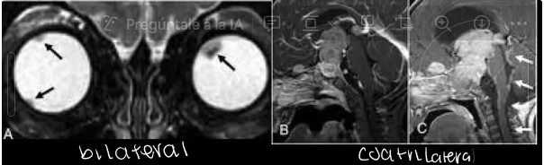
16
Q

Cuantos subtipos de retinoblastoma existen

A

Trilateral: retinoblastoma bilateral + tumor neuroplástico (en glandula pineal)
Cuadrilateral: retinoblastoma bilateral + tumores pineales y supraselares (en región supraselar)

17
Q

Paciente de 18 meses con leucocoria, pérdida de visión, estrabismo. Diagnóstico?

A

Retinoblastoma

18
Q

Clave en imagen para dx de retinoblastoma

A

Calcificaciones intraoculares

19
Q

El USG es útil para dx de retinoblastoma?

A

Sí, podemos ver lesiones hiperecogénicas con calcificaciones

20
Q

¿Qué esperas ver en una TC por retinoblastoma?

A

Calcificación “manchada” o punteada
Capta contraste
masa con densidad intermedia

21
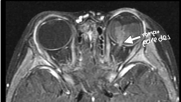
Q

Que evalúa la RM en retinoblastoma

A

evalúa implicaciones intra y extraoculares asi como intracraneales- Identificación de hemorragia retinal y rompe paredes

22
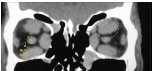
Q

¿de qué enfermedad nos habla la siguiente imagen?

A

retinoblastoma bilateral y cuadrilateral

23
Q

Involucra a las 9 capas del ojo, y es una causa importante de ceguera y muy comun

A

desprendimiento de retina

24
Q

Dos tipos de desprendimiento de retina

A

Regmatógeno
No regmatógeno

25
Características del desprendimiento regmatógeno
más común causado por traumatismos
26
El desprendimiento no regmatogeno se divide en
Exudativo por neoplasias Traccional por retinopatía diabética
27
Como diagnosticar desprendimiento de retina
Fondoscopia US/TC RM para evaluar neoplasias
28
Que estudio es y que se puede ver
USG que muestra retina doblada y brillante
29
¿De qué enfermedad sospechas?
Desprendimiento de retina
30
Que podemos ver en una RM y TC en desprendimiento de retina
Hipersensidad Fluido subretiniano Neoplasias
31
Cuál es tu diagnóstico
Desprendimiento de retina