Patrones pulmonare Flashcards

(36 cards)

1
Q

en imagen se ve redondo y mide <3 cm

A

nodulo

How well did you know this?
1
Not at all
2
3
4
5
Perfectly
2
Q

en imagen se ve redondo y mide >3 cm

A

masa

How well did you know this?
1
Not at all
2
3
4
5
Perfectly
3
Q

def: Es una estructura anatómica que se ve en la tomografía, divido en septos interlobulillares

A

lobulillo pulmonar secundario

How well did you know this?
1
Not at all
2
3
4
5
Perfectly
4
Q

def: Es la forma en la que se presenta la radiopacidad/hiperdensidad o radiolucidez/hipodensidad de una lesión

A

patrones pulmonares

How well did you know this?
1
Not at all
2
3
4
5
Perfectly
5
Q

tipos de distribución en los patrones pulmonares (6)

A
  • central/parahilear
  • subpleural/ periférica
  • total/difusa
  • focalizada
  • focalizada periferica
  • central/parahilear bilateral
How well did you know this?
1
Not at all
2
3
4
5
Perfectly
5
Q

tipos de patones pulmonares (9)

A
  • patrón de ocupación alveolar/ consolidación
  • patrón intersticial/reticular
  • patrón nodular
  • patrón de atelectasia
  • patrón de quiste
  • patrón de cavitación
  • patrón de bronquietasia
  • patrón de hiperclaridad
  • patrón de enfisema
How well did you know this?
1
Not at all
2
3
4
5
Perfectly
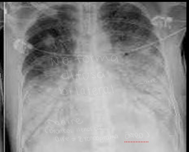
6
Q

Este patrón pulmonar ocurre por ocupación del espacio aéreo alveolar (sangre, pus, agua, exudados).

A

patrón de ocupación alveolar

How well did you know this?
1
Not at all
2
3
4
5
Perfectly
7
Q

Enfermedad más frecuente que presente el patrón pulmonar consolidación/alveolar

A

Neumonía

How well did you know this?
1
Not at all
2
3
4
5
Perfectly
8
Q

en este patrón no podemos ver estructuras, se verá blanco muy sólido, veremos una radiopacidad en RX o una hiperdensidad en TC de forma irregular y difusa

A

consolidación

How well did you know this?
1
Not at all
2
3
4
5
Perfectly
9
Q

en el patrón de consolidación/ ocupación alveolar también podremos ver los bronquios llenos de aire, como se le llama a esto

A

broncograma aéreo

How well did you know this?
1
Not at all
2
3
4
5
Perfectly
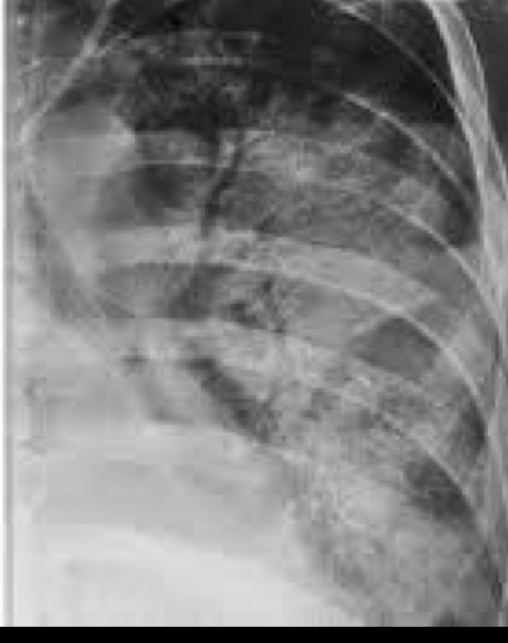
10
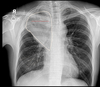
Q

que patrón pulmonar es

A

consolidación

How well did you know this?
1
Not at all
2
3
4
5
Perfectly
11
Q

En este patrón si podemos ver estructuras (se ve gris)

A

patrón de vidrio despulido

How well did you know this?
1
Not at all
2
3
4
5
Perfectly
12
Q

Cuando decimos que es de alt atenuación es porque

A

se ve blanco

How well did you know this?
1
Not at all
2
3
4
5
Perfectly
13
Q

cuando decimos que es de baja atenuación es porque

A

se ve negro

How well did you know this?
1
Not at all
2
3
4
5
Perfectly
14
Q

Este patron pulmonar ocurre por ocupación o enfermedad del intersticio, dando una forma de “red” o “telaraña” con pequeños puntos en el centro

A

patrón intersticial/reticular

How well did you know this?
1
Not at all
2
3
4
5
Perfectly
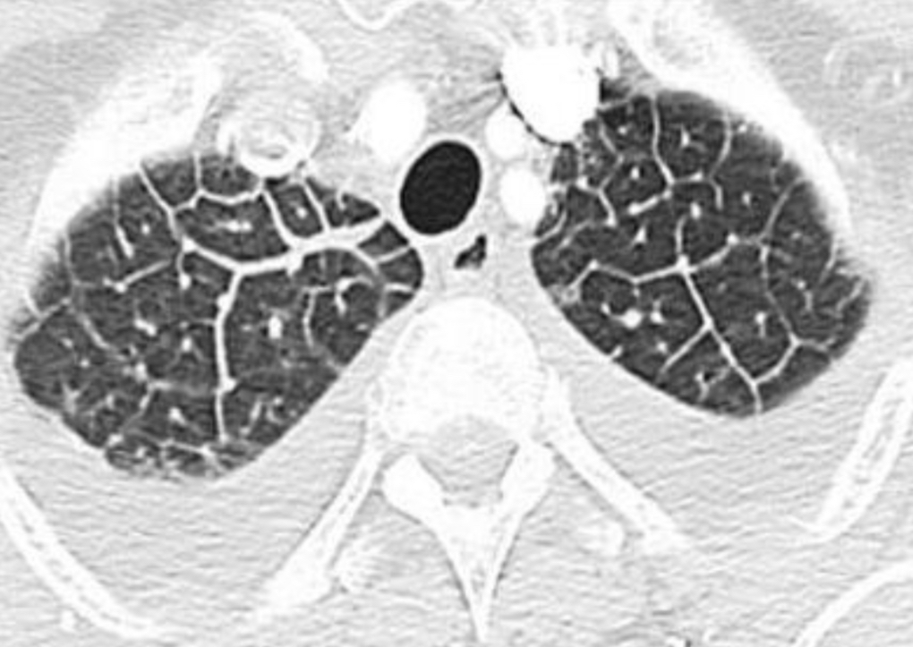
15
Q

¿Cómo se ve el patrón intersticial/reticular en TC y RX?

A

RX: líneas finas o gruesas que se ven en los extremos del pulmón
TC: Líneas finas o gruesas

16
Q

Cuando vemos patrón intersticial/reticular, cuáles son tus 4 sospechas clínicas

A
  • edema pulmonar
  • linfoma
  • sarcoidosis
  • diseminación linfática
17
Q

en el patron intersticial/ reticular habrá dos patologías que nos darán un aspecto arrosariado. Cuáles son?

A
  • sarcoidosis
  • diseminación linfangitica
18
Q

En RX de un patrón intersticial/reticular veremos unas líneas en bases pulmonares, son difíciles de identificar. Cuál es el nombre estás líneas

A

Lineas de Kerley

19
Q

Que patrón pulmonar es

A

Intersticial/reticular

20
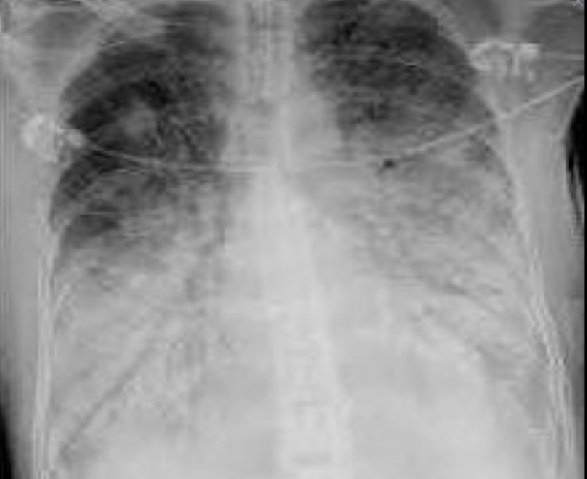
Q

que patrón pulmonar es?

A

Intersticial/reticular

21
Q

Patrón pulmonar que se da frecuentemente en enfermedades granulomatosas

A

patrón nodular

22
Q

morfología que se presenta en el patrón nodular

A

morfología redonda (<3 cm= nodulo)

23
Q

Un nódulo solitario te hace pensar en qué enfermedades

A

Cáncer
TB primoinfección
Neumonía redonda en niños

24
Muchos nódulos en el pulmón te hacen pensar en:
Metástasis
25
En qué enfermedad es frecuente ver el patrón nodular en “árbol en brote”
Enfermedades por micobacterias, sarcoidosis, linfoma y carcinomatosis
26
¿Cuáles son los patrones de distribución que pueden tener los nódulos en el patrón nodular?
27
¿Cuál es el acomodo de los nodulos en el patrón miliar?
patrón aleatorio
28
¿Qué tipo de nódulo se puede ver?
árbol en brote
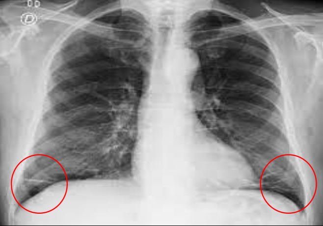
29
en el este patrón pulmonar hay un colapso del tejido pulmonar con pérdida del volumen, donde el parénquima pulmonar se colapsa
atelectasia
30
¿Qué patrón es el siguiente?
atelectasia
31
causas de una atelectasia
- obstrucción de un bronquio - compresión externa por derrame pleural - contracción por fibrosis pulmonar - heridas de arma
32
morfología de una atelectasia
triangular con base hacia la pleura y vértice hacia íleo o morfología lineal, ocasionando una retracción de estructuras
33
¿Qué lesión provoca la atelectasia sobre el parenquima y que estructura anatómica es importante buscar para sospechar el dx?
Ocasiona una retracción de estructuras Buscar tráquea.Ocasiona una retracción de estructuras Buscar tráquea
34
¿Qué puede causar este patrón?
Obstrucción del bronquio por un objeto o colección dentro de este
35
¿Qué patrón puedes ver?
atelectasia de morfología líneal