Orthopaedic X-rays (Normal) Flashcards

(18 cards)

1
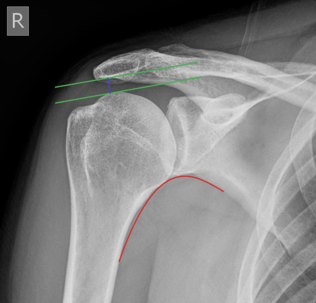
Q

What is the most important arch in shoulder XR?

A

Moloney’s arch

How well did you know this?
1
Not at all
2
3
4
5
Perfectly
2
Q

Name some shoulder special XR views + state their uses

A
  1. y-scapula view - anterior or posterior humeral dislocation
  2. velpeau view - to confirm dislocation
  3. axial view (requires abduction of arm) - to confirm dislocation
  4. bilateral zanca view - acromioclavicular joint dislocation
How well did you know this?
1
Not at all
2
3
4
5
Perfectly
3
Q

In a shaft to elbow lateral XR, the ____ and ____ should be perfectly superimposed.

A

In a shaft to elbow lateral XR, the MEDIAL EPICONDYLE and LATERAL EPICONDYLE should be perfectly superimposed.

How well did you know this?
1
Not at all
2
3
4
5
Perfectly
4
Q

State the 2 important lines of the elbow XR for PAEDIATRICS

A
  1. Anterior humeral line - line down the anterior surface of the humerus which should intersect the middle third of the capitellum
  2. Radiocapitellar line - line down the neck of the radius on any view should intersect the capitellum
How well did you know this?
1
Not at all
2
3
4
5
Perfectly
5
Q

What elbow XR view do we use to visualise a lateral condyle fracture?

A

internal oblique view

How well did you know this?
1
Not at all
2
3
4
5
Perfectly
6
Q

What elbow XR view do we use to visualise radial head fractures?

A

greenspan view

How well did you know this?
1
Not at all
2
3
4
5
Perfectly
7
Q

What are the 3 important lines in hand XR?

A

GILULA’S LINES
1. Proximal aspect of proximal carpal row
2. Distal aspect of proximal carpal row
3. Proximal aspect of distal carpal row

How well did you know this?
1
Not at all
2
3
4
5
Perfectly
8
Q

Name some wrist special view XRs

A
  1. carpal tunnel view
  2. scaphoid view
How well did you know this?
1
Not at all
2
3
4
5
Perfectly
9
Q

Name some acetabular (hip) special view XRs

A
  1. iliac oblique
  2. obturator oblique
How well did you know this?
1
Not at all
2
3
4
5
Perfectly
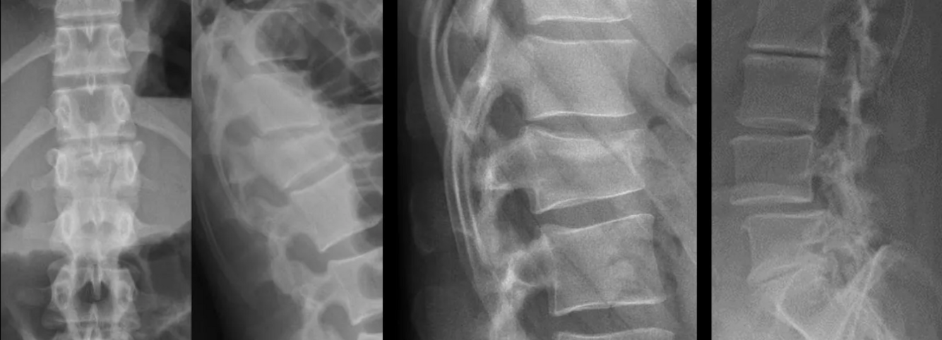
10
Q

What are the pathologies in this picture?

A
How well did you know this?
1
Not at all
2
3
4
5
Perfectly
11
Q

What is the most important line to observe in hip XR?

A

Shenton’s line

How well did you know this?
1
Not at all
2
3
4
5
Perfectly
12
Q

State the use of a Rosenberg view (+state which joint is seen)

A

Rosenberg view - accentuates medial loss of joint space in knee joint

How well did you know this?
1
Not at all
2
3
4
5
Perfectly
13
Q

State the use of a Mortise view (+state which joint is seen)

A

Mortise view - checking of mortise (space between talus and tibia + fibula)

How well did you know this?
1
Not at all
2
3
4
5
Perfectly
14
Q

Name the 4 important lines for cervical spine

A
  1. spinous process line
  2. spinolaminar line
  3. posterior vertebral body line
  4. anterior vertebral body line
How well did you know this?
1
Not at all
2
3
4
5
Perfectly
15
Q

Expand on the retropharyngeal soft tissue assessment rule

A

2-6-6-2 rule
C2 - 6mm
C6 - 22mm

How well did you know this?
1
Not at all
2
3
4
5
Perfectly
16
Q

What special neck view XR should be used to test for dynamic instability of cervical spine?

A

flexion and extension views
(vertebrae moves more during either movement)

17
Q

What is the cervical spine special XR which is largely replaced with CT scan?

A

open mouth odontoid view

18
Q

What are the pathologies present in this picture?