Décrire l’anatomie macroscopique des ovaires
Les ovaires sont suspendues dans la cavité pelvienne
Leur localisation varie selon si on est nullipare ou multipare

Décrire l’anatomie microscopique des ovaires
Divisée en deux zones : zone medullaire et le cortex ovarien

Quels sont les 2 rôles des ovaires?
Quelles sont les 3 phases du cycle menstruel au niveau ovarien?
Quelle est la durée du cycle menstruel et de ses différentes phases?
⇒
Phase folliculaire a une durée variable
Phase lutéale a durée plus stable 14 jours

Quelles sont les 2 phases du cycle menstruel au niveau utérin?
⇒
Quand la partie supérieure de l’endomètre entre dans une phase de mitose et s’épaissie pour se préparer à l’implantation d’un embryon.
C’est une phase en réponse au taux élevé d’oestrogène.
Les glandes endométriales deviennent plus allongées et tortueuses
⇒
48 à 72h après l’ovulation.
Avec l’arrivée de la progestérone, l’endomètre se transforme. Il y a cessation de la mitose et les glandes endométriales s’organisent
Il y a début de sécrétion de produits riches en protéines pour préparer l’implantation du plastocyte.
S’il n’y a pas fécondation à la fin du cycle, il y a une baisse de vascularisation et menstruation
Résumer les phases du cycle menstruel

Quelle est la différence entre l’axe hypothalamo-hypophyso-ovarien par rapport aux autres axes?
Ce qui est similiaire, c’est que l’hypothalamus sécrète la GnRH pour stimuler l’hypophyse à sécréter la FH et la LH. AU niveau ovarien, cela amène la production oestrogène et de progestérone, et ces deux hormones auront un effet au niveau de l’endomètre de l’utérus. L’oestrogène et la progestrone auront également une boucle de rétroaction négative au niveau de l’hypophyse antérieur et de l’hypothalamus
Ce qui est différent, c’est que juste avant l’ovulation, il y a un feedback positif. Ceci permettra un pic de LH et secondairement un petit pic de FSH
Décrire la fonction hypothalamique dans le cycle menstruel
La fonction hypothalamique nécessite, au niveau embryologique, la migration au bon endroit des neurones sécrétrices de GnRH. Ces neurones dérivent de la placode nasale comme neurones olfactifs
Caractériser la GnRH
La GnRH a une sécrétion pulsatile.
Elle a une courte demi-vie de 2-4 minutes, ce qui la rend très peu dosable.
Quel est le rôle de pulsatilité du cycle au niveau hypophysaire?
La fréquence de la pulsatilité et l’amplitude des pics varient au coursdu cycle, ce qui amène une séquence précise de sécrétion de FSH et LH au niveau hypophysaire
À quel type de récepteur se lie la GnRH?
À un récepteur membranaire couplé à la protéine G
Décrire la sécrétion d’hormone de l’hypophyse
Selon la pulsatilité de GnRH, la sécrétion de FSH ou LH sera favorisée.
La FSH stimule la maturation des follicules et la production d’estrogènes par les cellules granulaires ou granulosa.
La LH favorise l’ovulation (pic essentiel) et la production d’androgènes par la thèque et de progestérone par le corps jaune

Expliquer la séquence de sécrétion d’hormone lors du cycle menstruel par la théorie de 2 cellules, 2 hormones.
Selon cette théorie, le follicule est divisé en deux compartiments : la cellule granulaire et la cellule Theca.
Phase folliculaire
⇒
Phase Luteale
⇒

Décrire la sécrétion d’hormones par l’ovaire
Au cours de la phase folliculaire, il y aura maturation folliculaire sous l’action de la FSH et de peptides locaux (paracrine, autocrine)
Il y aura sélection d’un follicule dominant sous l’effet des facteurs locaux)
Les follicules sécréteront des oestrogènes des androgènes et de la progestérone
Quels sont les changements au niveau de l’endomètre selon les phases du cycle menstruel?
Phase folliculaire précoce
⇒
Endomètre mince (après les menstruations)
Phase mi-folliculaire (sous l’action des oestrogènes)
⇒
endomètre prolifératif
Phase lutéale (après l’ovulation)
⇒
endomètre sécrétoire
Quelle est l’embryologie des ovaires ?
Connaître le nombre de cellules germinales selon la période de vie de la femme

De quoi dépend la croissance des follicules?
Quel est le rôle de la FSH dans la croissance des follicules?
La FSH, dans le cycle menstruel plus tard après la puberté, permettra le « sauvetage » d’une cohorte de follicules qui étaient à un niveau de croissance idéal à ce moment là de laquelle un seul follicule dominant mènera à l’ovulation
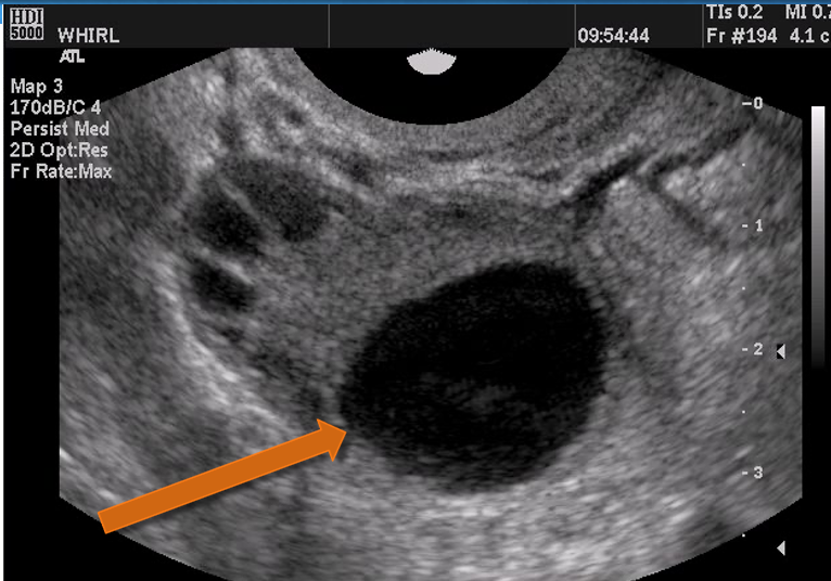
Reconnaître le follicule dominant à l’échographie

Quelles sont les 5 étapes de la croissance du follicule?
Qu’est-ce qu’un follicule primordial?
Il s’agit d’un ovocyte primaire recouvert d’une couche de cellules folliculaires granuleuses aplaties et possedant une mince membrane basale

Qu’est-ce qu’un follicule primaire (préantral)?
Le follicule devient un follicule primaire lorque l’ovocyte débute sa croissance et que les cellules folliculaires granuleuses deviennent cuboïdales
Il peut y avoir également formation d’un début de zone pellucide
* Zone pellucide: couche de glycoprotéines. Rôle de protection et dans la conception *
