Décrire la vascularisation des glandes surrénales
Artères
⇒
Supra rénales
Veines
⇒
Surrénale droite dans la veine cave (difficile à canuler à canuler par le radiologiste)
Surrénale gauche dans la veine rénale

Quelles sont les trois composantes anatomiques des glandes surrénales
* Masse de la surrénale chez l’adulte = 8-10g *
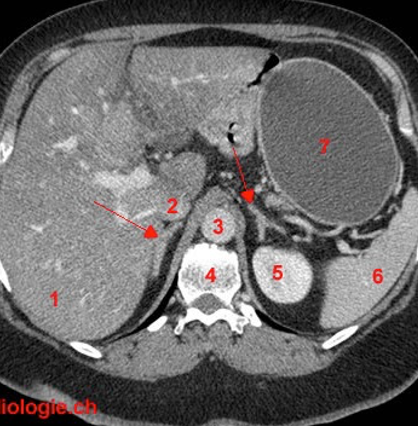
Reconnaître les surrénales à la tomodensitométrie abdominale
Forme de Y ou V inversé (accent circonflexe)
* Identifiées par les flèches rouges sur la photo *

Différencier l’histologie du cortex et de la médulla des surrénales.

D’où viennent les différences histologiques entre la médulla et le cortex?
Du fait que les 2le tissu surrénalien provient de deux tissus embryogéniques différents
Quels sont les 2 tissus embryogéniques dont surviennent les surrénales?
Cortex → Mésoderme
Médulla → Ectoderme
Décrire le développement foetale des surrénales
⇒
Naissance des cellules endocrines
⇒
Début de la stéroïdogénèse
⇒
Envahissement du cortex par les cellules de la crête neurale (ectoderme) sympathique pour former la médulla
* Il y a donc 2 organes en un *
Quelles sont les 3 hormones sécrétées par le cortex surrénalien (glande cortico-surrénale)?
⇒
Aldostérone (minéralocorticoïde)
⇒
Cortisol (glucocorticoïde)
⇒
Androgènes + cortisol
* Salty, sweety, sexy… The deeper the better *
Quelle est l’hormone sécrétée par la medulla surrénalienne (glande médullo-surrénale) ?
Catécholamines
Décrire et schématiser la régulation de l’axe corticotrope
1) Stimulation du CRH au niveau de l’hypothalamus
⇒
⇒
⇒
Le cortisol inhibe CRH et ACTH

Décrire le cycle nycthéméral du cortisol
Horloge biologique qui contrôle la sécrétion hypothalamique de CRH. Sécrétion pulsatile du CRH → ACTH
Cortisol
→
Maximum vers 4-8h pour préparer à faire la journée
Diminution en journée
Nadir vers minuit

Décrire la sécrétion de l’ACTH
L’ACTH est une hormone polypetidique sécrétée par les cellules corticotropes de l’hypophyse antérieure
Elle est synthétisée sous la forme d’une pro-hormone générée par le clivage de la POMC (pro-opio-mélanocrotine)
Rôles de la POMC
⇒
Corticotrope : ACTH
Opioïde : Endorphines
Mélanotrope : MSH

Décrire comment l’ACTH active la synthèse des hormones surrénaliennes.
L’ACTH se lie à un récepteur couplé aux protéines G et active la cascade de second messager AMPc / protéine kinase A via l’action de l’adénylate cyclase.
L’activation de la protéine Kinase A entraîne l’activation du STAR (steroid acute regulatory peptid).
Cette étape permet d’initier la synthèse des hormones stéroïdiennes de la corticosurrénale avec la mobilisation du cholestérol à l’intérieur des mitochondries.

Connaître les étapes clées de la synthèse des hormones cortico-surrénaliennes
1) Suite à son activation par le StAR, le cholestérol (matrice commune) est transporté vers la paroi interne mitochondriale et est clivé par la P450scc (cholestérol side chain cleavage).
* Étape limitante de la synthèse *
2) Voie des minérocorticoïdes
⇒
L’enzyme aldosterone synthase est présente uniquement sur les cellules de la glomérulosa. C’est pourquoi cette couche de la surrénale est spécialisée dans la production de l’aldostérone
3) Voie des glucocorticoïdes
⇒
La 17-OH-Progestérone est un intermédiaire important dans cette voie.
4) Voie de la synthèse des androgènes
⇒

Quelle est la forme du crotisol lorsqu’il est libéré dans la circulation?
Forme active
⇒
Forme inactive
⇒
Où est conjugué et éliminé le cortisol?
Quelles sont les 3 conditions augmentant les taux de CBG et le cortisol total en circulation?
Quelles sont les 2 conditions diminuant les taux de CBG et de cortisol total en circulation?
Quelles sont les 3 méthodes de mesures du cortisol?
Décrire le dosage du cortisol sérique
Décrire le dosage du cortisol urinaire
Plus difficile à mesurer que le cortisol sérique, mais mesure le cortisol libre et est donc vraiment représentatif de l’action du cortisol.
Le cortisol urinaire n’est pas affecté par les taux de CBG. Cela permet d’évaluer la production sur 24h et d’évaluer l’hypercorticisme
Décrire le dosage du cortisol salivaire
Le patient prend une salivette à minuit. En principe le cortisol devrait être bas.
Si le cortisol est en excès à minuit, c’est qu’il y a une anomalie dans sa production.
Quels sont les 2 tests dynamique du cortisol?
Décrire le test de suppression à la dexaméthasone
Test qui vérifie la boucle de contre-régulation
(inhibe CRH/ACTH)
La dexaméthasone est une cortisone synthétque donnée à 23h la veille de la prise de sang. Si son axe fonctionne adéquatement, l’hypothalamus et l’hypophyse devraient réagir en diminuant la production endogène de cortisol.
Comme la dexaméthasone est une cortisone synthétique, elle n’est pas dosée dans la cortisolémie et le cortisol mesuré reflète uniquement la production de cortisol endogène
Le cortisol devrait être excessivement bas au matin de la prise de sang en raison de la prise de déxaméthasone
* Ce test mesure le cortisol sérique (total) et peut être altéré
par les conditions modifiant les taux de CBG *