P1 PATHOLOGY Flashcards

Osteomyelitis , infections of bones & joints (29 cards)

1
Q

inflammation of bone & bone marrow caused by pyogenic bacterial infection is know as

A

pyogenic osteomyelitis

How well did you know this?
1
Not at all
2
3
4
5
Perfectly
1
Q

first site of infection in osteomyelitis

A

metaphysis of long bone
any bone
Vertebral column

How well did you know this?
1
Not at all
2
3
4
5
Perfectly
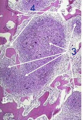
2
Q

this is a presentation of

A

chronic pyogenic osteomyelitis

How well did you know this?
1
Not at all
2
3
4
5
Perfectly
3
Q

Identify what is 3 pointed by arrow

A

main cloaca

How well did you know this?
1
Not at all
2
3
4
5
Perfectly
4
Q

Identify what is 2 pointed by arrow

A

involcrum

How well did you know this?
1
Not at all
2
3
4
5
Perfectly
5
Q

Identify what is 1 pointed by arrow

A

sequestrum

How well did you know this?
1
Not at all
2
3
4
5
Perfectly
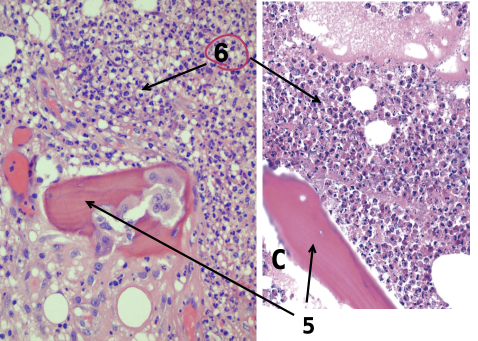
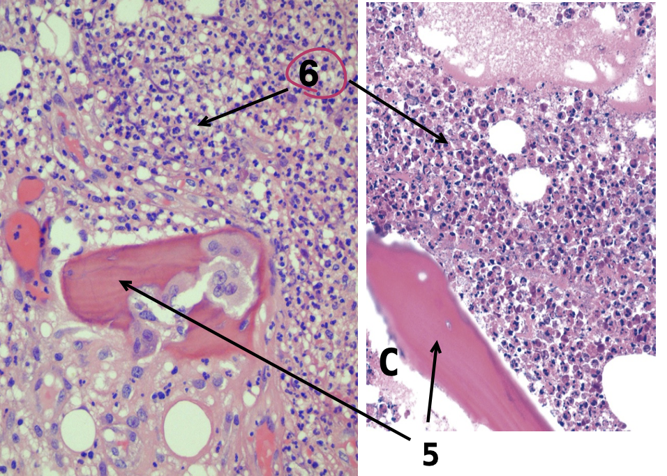
6
Q

Identify what is 6 pointed by arrow
seen in case of chronic osteomyelitis

A

mixed inflammatory exudate

How well did you know this?
1
Not at all
2
3
4
5
Perfectly
7
Q

Identify what is 5 pointed by arrow
seen in case of chronic osteomyelitis

A

bone trabeculae

How well did you know this?
1
Not at all
2
3
4
5
Perfectly
8
Q

when pus penetrates Haversian system of the metaphysis , it will lead to

A

subperiosteal abscess

How well did you know this?
1
Not at all
2
3
4
5
Perfectly
9
Q

Fragments of necrotic bone
embedded in pus is known as

A

Sequestrum

How well did you know this?
1
Not at all
2
3
4
5
Perfectly
10
Q

Perisoteal reactive new (woven) bone
formation around necrotic sequestrum
is known as

A

Involucrum

How well did you know this?
1
Not at all
2
3
4
5
Perfectly
11
Q

a hole / tract formed in the bone
formation of draining sinus is known as

A

cloaca

How well did you know this?
1
Not at all
2
3
4
5
Perfectly
12
Q

Route of Infection of Pyogenic Spondyelitis

A

Arterial haematogenous

How well did you know this?
1
Not at all
2
3
4
5
Perfectly
13
Q

common locations of Pyogenic Spondyelitis

A

thoracic , lumbar

How well did you know this?
1
Not at all
2
3
4
5
Perfectly
14
Q

spontaneous bone fusion is known as

A

Ankylosis

How well did you know this?
1
Not at all
2
3
4
5
Perfectly
15
Q

Mention at least 4 COMPLICATIONS OF OSTEOMYELITIS

A

1- septic bacterial arthritis
2- chronic osteomyelitis
3- pathological fractures
4- septicaemia
5- SCC
6- amyloidosis

16
Q

Initial focus of TB osteomyelitis in adults

17
Q

Initial focus of TB osteomyelitis in children

18
Q

pott’s disease location

A

lower thoracic & lumber vertebrae

19
Q

mention at least 3 Complications of Pott’s Disease

A

1- cold abscess
2- rupture into soft tissue
3- angulations of spine

20
Q

main vertebral deformity seen in pott’s disease

21
Q

what type of multinucleated giant cells are seen here

A

Langhan’s type of multinucleated giant cells

22
Q

Identify what is 3 pointed by the arrows
Diagnose the case

A

-Multiple granulomas
seen in TB Spondylitis

23
Q

fused bone or other hard tissue in seen in

A

septic arthritis

24
fused bone or other hard tissue is known as
Ankylosis
25
Multisystem disease caused by spirochete borrelia burgdorferi is known as
lyme disease
26
vectors of lyme disease
transmitted to man by ticks from deers
27
Viruses that causes viral arthritis
- hepatitis B - rubella - parovirus
28
mention the 3 non infectious arthritis
1- RA 2- Spondyloarthropathies 3-Juvenile arthritis