P3 PATHOLOGY Flashcards

not yet completed (16 cards)

1
Q

Systemic chronic inflammatory connective tissue autoimmune disease

A

Rheumatoid arthritis

How well did you know this?
1
Not at all
2
3
4
5
Perfectly
2
Q

particular gene that can cause RA

A

HLA-DR4 from class 2 MHC

How well did you know this?
1
Not at all
2
3
4
5
Perfectly
3
Q

Specific antibodies are detected against

A

Fc portion of IgG

How well did you know this?
1
Not at all
2
3
4
5
Perfectly
4
Q

mention at least 3 diseases where RF is detected

A
  • SLE
  • Lyme disease
  • sjorgen syndrome
  • cirrhosis
  • pulmonary fibrosis
How well did you know this?
1
Not at all
2
3
4
5
Perfectly
5
Q

Exudation of fibrin in joint space will cause what and described as what

A
  • causes fibrin nodules
    -described as rice bodies
How well did you know this?
1
Not at all
2
3
4
5
Perfectly
6
Q

synovial hypertrophy Manifested as

A

Exuberant papillary foldings of synovium

How well did you know this?
1
Not at all
2
3
4
5
Perfectly
7
Q

Lymphocytes that are mostly seen in the infiltrate

A

CD4 T cells

How well did you know this?
1
Not at all
2
3
4
5
Perfectly
8
Q

Outgrowth of synovium over the surface of articular cartilage

A

pannus

How well did you know this?
1
Not at all
2
3
4
5
Perfectly
9
Q

pannus product that enables the erosion of pannus

A

Collagenase

How well did you know this?
1
Not at all
2
3
4
5
Perfectly
10
Q

chemicals produced by pannus stimulates osteoporosis

A

cytokines ; IL-1 , IL-2 , TNF-ALPHA , PGE2

How well did you know this?
1
Not at all
2
3
4
5
Perfectly
11
Q

mention some pannus effects on joints

A
  • joint narrowing
    Deformities
    joint destruction
    fibrous ankylosis
  • bony ankylosis
How well did you know this?
1
Not at all
2
3
4
5
Perfectly
12
Q

Identify 1 , 2 & 3

A

1- numerous hypertrophic papillary projections
2- focal pale fibirin depositions
3- brownish : hemosiderin accumulation

How well did you know this?
1
Not at all
2
3
4
5
Perfectly
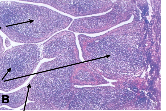
13
Q

Identify 4,5& 6

A

4- synovial hypertophy
5- hyperplasia
6- prominent lymphoid follicles

How well did you know this?
1
Not at all
2
3
4
5
Perfectly
14
Q

Identify what is seen

A

Rheumatoid nodule ,, subcutaneous mass

How well did you know this?
1
Not at all
2
3
4
5
Perfectly
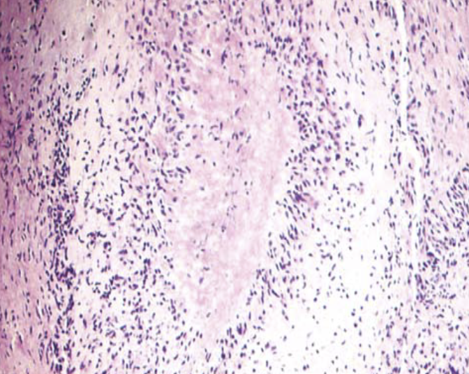
15
Q

identify what is shown
what is your diagnosis

A

Central area of necrosis surrounded by macrophages & chronic inflammatory infiltrate

How well did you know this?
1
Not at all
2
3
4
5
Perfectly
16
Q

Mention at least 4 extra-articular manifestations

A
  • rheumatoid nodules
  • vasculitis
  • cardiac disease
  • amyloidosis
  • serosal inflammation
  • pulmonary disease
    -anaemia
  • eye involvement
  • felty’s syndrome