P2 RADIOLOGY Flashcards

Radiology of fractures (7 cards)

1
Q

in the shown radiograph
1- what type of fracture
2- site of fracture
3- describe anything else you can see

A

1- transverse fracture
2- mid humeral shaft ( diaphysis)
translation & angulation

How well did you know this?
1
Not at all
2
3
4
5
Perfectly
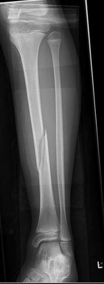
2
Q

in the shown radiograph
1- what type of fracture
2- site of fracture

A

Oblique fracture of tibial mid shaft

How well did you know this?
1
Not at all
2
3
4
5
Perfectly
3
Q

in the shown radiograph
1- what type of fracture
2- site of fracture

A

Spiral fracture of the mid shaft of the humerus

How well did you know this?
1
Not at all
2
3
4
5
Perfectly
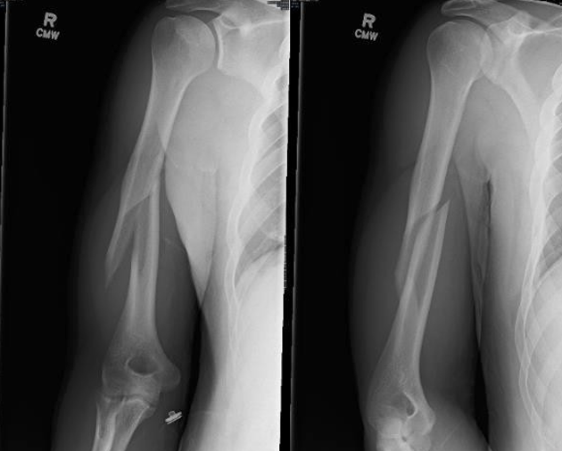
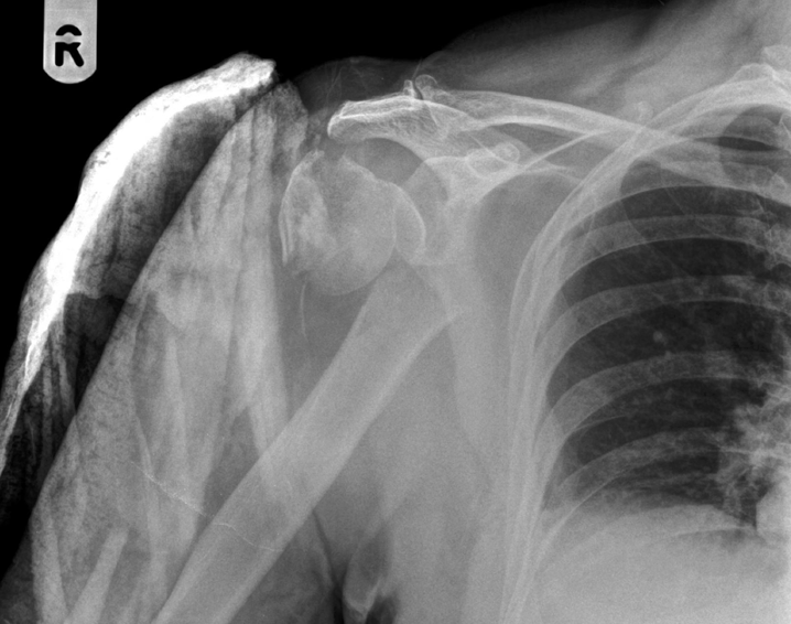
4
Q

in the shown radiograph
1- what type of fracture
2- site of fracture
3- any dislocation

A

Comminuted fracture of proximal humeral metaphysis with shortening and dislocation of the shoulder joint

How well did you know this?
1
Not at all
2
3
4
5
Perfectly
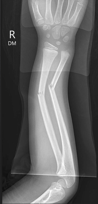
5
Q

in the shown radiograph
1- what type of fracture
2- site of fracture
3- describe anything else you can see

A

Greenstick fracture of the radial mid-diaphysis and a complete transverse fracture of the mid-diaphysis of the ulna, both associated with angulation

How well did you know this?
1
Not at all
2
3
4
5
Perfectly
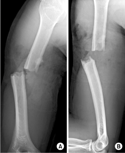
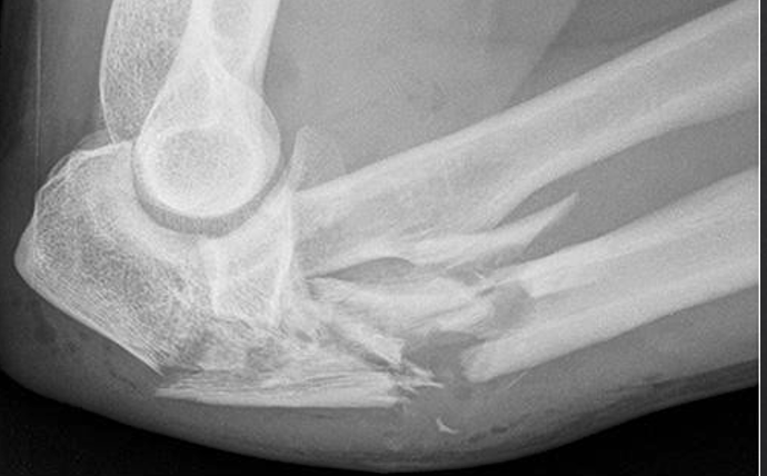
6
Q

in the shown radiograph
1- what type of fracture
2- site of fracture
3- describe anything else you can see

A

Left elbow. Open intra-articular comminuted fracture of the proximal radius and ulna, with air in the soft tissues

How well did you know this?
1
Not at all
2
3
4
5
Perfectly
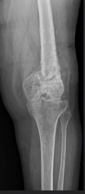
7
Q

Identify the complication seen by the radiograph

A

Distal femur fracture malunion

How well did you know this?
1
Not at all
2
3
4
5
Perfectly