Quando está indicado transfusão de hemaceas em um quadro de pancitopenia? e de plaquetas?
Quanto que aumenta em valores no hemograma?
Transfusão de hemáceas
Instabilidade com Hb < 10
1 UI aumentar 1 ponto de Hb e 3% no Ht
Transfusão de plaquetas
Plaquetas < 10.000 ou < 50.000 com sangramento
*PTT não transfundir // PTI evitar transfusão
1 UI para cada 10kg sobe 10.000 plaquetas
Como considerar neutropenia febril e quais as bases de tratamento? Indicações para tratamento ambulatorial?
Neutrófilos < 500 e febre > 38,5o
Colher culturas, Rx de tórax, e internar
Tratamento ambulatorial com amoxicilina + clavulanato + cipro se:
Paciente com quadro de pancitopenia, hepatoesplenomegalia, linfonodomegalia, sangue periférico com dacriócitos, aspirado de medula “vazia”, biopsia de medula com hipocelularidade e zonas de fibrose…
Diagnóstico, tipos, tratamento
FIBROSE DE MEDULA ÓSSEA
Sangue: hemáceas em lágrima (dacriócitos), leucoeritroblastose (formas jovens)
Diagnóstico: biópsia de M.O. (hipocelular + fibrose)
Tratamento: suporte
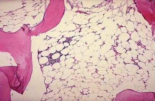
Paciente com quadro de pancitopenia e mais nada, aspirado de medula “vazia”, biopsia de medula com hipocelularidade e gordura…
Diagnóstico, fatores de risco, tratamento
APLASIA DE MEDULA
Anemia aplásica, lesão na célula tronco
Pancitopenia e mais nada
FR: intoxicação por benzeno, parvovirus B19, crise falciforme aplásica
Diagnóstico: biópsia de M.O. (hipocelular + gordura)
Tratamento: transplante de M.O. // transfusão

Paciente idoso, pancitopênico, de evolução insidiosa, com presença de celulas anormais no aspirado de M.O., e biospia de M.O. evidenciando < 20% de blastos…
Diagnóstico, tratamento
MIELODISPLASIA
Mutação de celulas na medula: sideroblastos em anel, plaquetas gigantes, eliptócitos, acantócitos…
Diagnóstico: citopenias + celulas anormais + < 20% blastos na M.O.
Dx diferencial com qualquer doença hematológica
Tratamento: suporte, quimio, transplante de M.O.
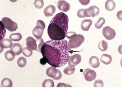
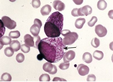
Como acontece a leucemia aguda?


Paciente idoso, anemico e plaquetopenico, com leucocitose, com astenia, febre, petequias e equimoses, com hepatoesplenomegalia, hiperplasia gengival e cloromas com biospia de M.O. evidenciando > 20% de blastos e aspirado mostrando bastonetes de auer
Diagnóstico, tratamento

LEUCEMIA MIELOIDE AGUDA
> 20% de blastos na M.O.
Tratamento:
Quimioterapia / transplante
M3: ATRA (ácido transretinoico)

Caracteristicas dos blastos na M.O. da LMA
Morfologia, citoquimica, imunofenotipagem, citogenética…
Morfologia: bastonetes de Auer
Citoquimica: mieloperoxidase ou Sudan Black B
Imunofenotipagem: CD 34, 33, 13, 14
Citogenética: M2 t (8,21), M3 t (15,17), M4 inv (16)

Subtipos de LMA
Rara, ruim, indiferenciada
Rara, ruim, com diferenciação minima
+ comum, t (8,21), bom prognóstico
Melhor prognóstico, t (15,17), CIVD, tratamento com ATRA
Regular, Hiperplasia gengival, inv (16)
Regular, Hiperplasia gengival
Relacionada a sindrome de down
Criança, com anemia, febre, petequias, equimoses, hepatoesplenomegalias, dor ossea, adenomegalais, acometimento testicular e de SNC, com leucocitose e mais de 20% de blasto na M.O.
Diagnóstico, características e tratamento?
LEUCEMIA LINFOCÍTICA AGUDA
Câncer mais comum na infância
Caracteristicas dos blastos:
Tratamento: Quimioterapia
Caracteristicas dos blastos na M.O. na LLA
Citoquimica, imunofenotipagem, citogenética
Subtipos de LLA
Variante infantil, + comum
Variante adulto, ruim
Burkitt-like
L1: Variante infantil, + comum
L2: Variante adulto, ruim
L3: Burkitt-like
Como acontece a leucemia mieloide cronica?
Acumulo da linhagem mieloide adulta
Causa mais comum: cromossomo philladelphia t (9,22)
gene híbrido bcr/abl -> forma tirosino quinase p210 (propriedade de multiplicação) -> clone neoplasico
Laboratório: leucocitose granulocítica com desvio para a esquerda
Paciente com anemia, esplenomegalia e hemograma evidenciando leucocitose acentuada (50-100.000) sem presença de infecção…
Diagnóstico, laboratório, tratamento
LEUCEMIA MIELOIDE CRÔNICA
Cromossomo philadelphia t (9,22)
Leucocitose granulocítica intensa com desvio para esquerda
Pode ter sindrome de leucostase (hiperviscosidade sanguinea)
Pode evoluir para crise blástica (LMA)
Diagnóstico: clinica + cromossomo philadelphia
Tratamento: mesilato de imatinibe (inibidor a tirosino-quinase)
Se não responder: transplante de M.O.
Paciente idoso, com adenomegalia, esplenomegalia, infecções de repetição, com hemograma evidenciando mais de 5.000 linfocitos…
Diagnóstico, tratamento
LEUCEMIA LINFOCITICA CRÔNICA
Linfócito B que não vira plasmócito, não produzindo anticorpos, acumulando linhagem linfoide adulta
+ comum de todas leucemias, idosos
Associado com PTI e AHAI
Diagnóstico: > 5.000 linfócitos B CD5, CD19, CD20, CD 23
Tratamento: paliativo com QT, corticoide se PTI ou AHAI
Paciente com LLC começa a apresentar febre, sudorese noturna, perda ponderal…
Síndrome de Richter
Transformação em Linfoma de Hodgkin agressivo
Como realizar o estadiamento de LLC e tratamento…
RAI
BINET
III e IV e C: tratamento com clorambucil ou fludarabina
Leucemia crônica, clone neoplásico derivado de células B…
Leucemia de células pilosas (tricoleucemia)
Paciente com quadro de pancitose (aumento de Hb, plaquetas e leucocitos), com pletora facial, prurido, esplenomegalia, úlcera péptica, pletora facial, palmas das mãos eritematosas, e trombose…
Diagnóstico, tratamento…
POLICITEMIA VERA
Pancitose na ausência de estimulos fisiológicos
Hb > 16,5 ou Ht> 49% em homens
Hb > 16 ou Ht > 48% em mulheres
Eritropoetina baixa
Mutação JAK2
Eritromelalgia: mão vermelhas
Hiperviscosidade, trombofilias
Tratamento: flebotomia, AAS, hidroxiureia
Paciente com quadro de aumento de plaquetas, sem fator desencadeante, e esplenomegalia, evoluindo com tromboses e sangramento, além de vermelhidão de palmas das mãos…
Diagnóstico, tratamento
TROMBOCITEMIA ESSENCIAL
Produção exagerada de plaquetas, na ausência de estimulo fisiológico
Pode evoluir com sangramentos se > 1.000.000 plaquetas (DVWb adiquirida)
Diagnóstico: excluir trombocitose reativa, > 450.000 plaquetas, biopsia de M.O., mutação JAK2, CALR, MPL
Tratamento: hidroxiureia/anagrelida, AAS
Qual a causa mais comum de trombocitose?
TROMBOCITOSE REATIVA
Infecções, neoplasias, carência de ferro…
Quando é mais provavel de acontecer neutropenia febril após sessão de quimioterapia? Como tratar?
Durante o nadir da quimioterapia (entre 7 e 14 dias da ultima dose)
Nesse caso, se neutropenia, iniciar cefepime
Se mucosite (s. viridans), infecção de cateter (s. epidermidis) associar vanco desde o inicio do tratamento
Paciente idoso, com quadro de anemia, plaquetocitose e leucocitose intensa, com presença de inflamação/infecção sistemica….
Reação leucemoide aguda
Leucocitose intensa (com desvio a esquerda), se assemelhando a LMC, porém com quadro infeccioso documentado
Trombocitose pode estar associado devido a trombocitose reacional a infecção
Nesse caso se torna necessario antibioticoterapia
*Se não tivesse infecção que justificasse quadro, pensaria-se em LMC, com investigação de cromossomo philadelphia
Qual o subtipo de LMA de melhor prognóstico, qual condição esta associada, qual o tratamento especifico e qual a complicação fatal do tratamento?
LMA promielocitica (M3)
Associada a CIVD
Tratamento com ATRA (ácido transretinoico)
Transforma os blastos mutados em blastos normais
Complicação: síndrome retinoide (superleucocitose com liberação de citocinas inflamatorias - lesão multissistemica inflamatoria)