4 mecanismos fisiopatologicos de instalação de pneumonias?
Microaspiração (principal)
Inalação
Hematogênica
Contiguidade (extensão direta)
5 Principais etiologias, em ordem, de PAC? Típicos ou atípicos…
outros: Klebsiella (típico), Leigionella (atípico, ar condicionado), S. aureus (típico), Pseudomonas (típico)
Diferenças entre organismo típico de atípico?
Típico: cora bem pelo gram e responde bem a beta-lactâmico (penicilinas e cefalosporinas)
Atípico: não cora bem pelo gram e não responde bem a beta-lactâmico… preferir macrolídeos
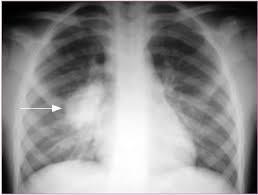
Organismo típico, + comum, diplococo, gram +, que pode causas qualquer manifestação no Rx de tórax…
Quais manifestações principais?
S. pneumoniae
Diagnóstico: antígeno urinário
Rx: derrame pleural, pneumonia redonda “pseudotumoral”, abscesso

Organismo atípico, que pode causar sindrome gripal + … Miringite bolhosa, Anemia hemolítica, Aumento de IgM
Sindromes associadas…
Mycoplasma pneumoniae
Steven Johnson
Raynaud
Guillain-Barré…

Organismo típico, cocobacilo gram -, comum em pacientes com DPOC…
Haemophilus influenzae
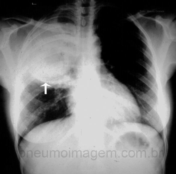
Organismo típico, bacilo gram -, presdispoe quadros graves em etilistas e diabéticos, podendo causar pneumonia do lobo pesado…
Klebsiella pneumoniae

Organismo atípico, bacilo gram -, causa quadro típico grave + sinal de Faget, diarreia, dor abdominal, hiponatremia, aumento de transaminases…
Leigionella
Germe também hospitalar, ar condicionados
Pode ser diagnosticado com antígeno urinário, assim como S. pneumoniae
Organismo típico, coco gram +, podendo causar quadro grave em neonatos, lactentes, pós influenazae, usuários de drogas IV…
Condições associadas…
Complicações comuns no Rx…
S. aureus
Condições associadas: fibrose cística e bronquiectasias…
Radiografia de tórax:

Organismo típico, bacilo gram -, podendo causar quadro grave em neutropênicos, imunossuprimidos, fibrose cística, bronquiectasias…
Pseudomonas aeruginosa
Condições clínicas associada a pneumonia por Leigionella?
Quadro típico grave + sinal de Faget, diarreia, dor abdominal, hiponatremia, aumento de transaminases
Condições clínicas associada a pneumonia por pseudomonas?
Fibrose cística, bronquiectasias, corticoide, neutropênicos…
Quando procurar o microorganismo na PAC? Como procurar?
Em pacientes refratários ao tratamento, graves ou CTI
No restante, tratamento empírico
Escarro (exame direto, cultura), hemocultura, antígeno urinário (s. pneumoniae, leigionella), testes moleculares
Broncoscopia (escolha para VAI)
Diferenças entre pneumonia típica e atípica?
Pneumonia típica
Quadro clássico de febre, tosse, dispneia, dor torácica, creptações, aumento de frêmito toraco-vocal, broncofonia
Rx: broncopneumonia ou lobar
+ comum pneumococo
Pneumonia atípica
Quadro insidioso, febre baixa, tosse não produtiva, exame respiratório pobre
Rx: infiltrado intersticial
+ comum, mycoplasma

Verdadeiro ou falso
Organismo tipico so causa pneumonia tipica e organismo atípico só causa pneumonia atípica!
Falso
Depende da resposta imune do hospedeiro…
Como realizar o diagnóstico de PAC?
Clínica + imagem (sempre que disponível)
Se imagem indisponível, pode iniciar ATB só pela clínica
Como decidir entre tratamento ambulatorial e hospitalar na PAC?
* Ureia _>_43 mg/dL em algumas referências

Como decidir entre tratamento na enfermaria ou no CTI em PAC?
IDSA/ATS
Critérios maiores:
Critérios menores:
CTI = 1 maior ou 3 menores
Tratamento de PAC
Vírus Influenza
Clínica, SRAG e diagnóstico?
Clínica: febre + tosse seca + fadiga + algias
Síndrome respiratória aguda grave (SRAG)
Sindrome gripal + dispneia, SatO2 < 95%, aumento FR, desconforto, diminuição PA, piora na doença de base
Diagnóstico: swab nasofaringeo + PCR
Vírus Influenza
Quem tratar e como tratar?
Oseltamivir, zanamivir
se SRAG ou risco alto para evoluir:
Mecanismo pelo qual anaeróbios causam pneumonia? Pacientes suscetiveis e local mais comum de acometimento?
Dentes em mau estado + macroaspiração
Alcoolatras, diminuição da consciência, disturbios da deglutição, perda do reflexo de tosse
macroaspiração em declive: parte superior do lobo inferior direito
macroaspiração em zero graus: parte post do lobo superior direito
Alcoolatra, com dentes em mau estado, desenvolve pneumonia com evolução lenta…
Agente, local mais comum de acometimento pulmonar, e conduta
Anaeróbios
se em declive: superior do lobo inferior direito
se em decúbito: posterior do lobo superior direito
Conduta:
Clindamicina ou amoxicilina + clavulanato ~ 3 semanas
Cirurgia se não melhora em 7-10 dias ou abscesso > 6-8 cm
Organismos causadores de pneumonia capazes de evoluir com abscesso (> 2 cm)?
Anaeróbios: doença periodontal, broncoaspiração, alcoolismo, distúrbios deglutição
S. aureus: drogas IV, endocardite, fibrose cistica, neonatos
Klebsiella: etilistas, DM
Actiniomicose: fistula com pele