What is the name of this tissue?

skeletal muscle tissue

What is the name of this tissue?

simple columnar epithelial tissue

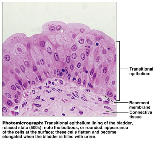
What is the name of this tissue?

transitional epithelial tissue

What is the name of this tissue?

connective tissue proper: dense irregular connective tissue

What is the name of this tissue?

connective tissue proper: dense elastic connective tissue

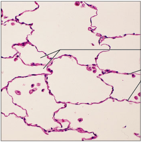
What is the name of this tissue?

simple squamous epithelial tissue

What is the name of this tissue?

stratified cuboidal epithelial tissue

What is the name of this tissue?

cardiac muscle tissue

What is the name of this tissue?

simple columnar epithelial tissue

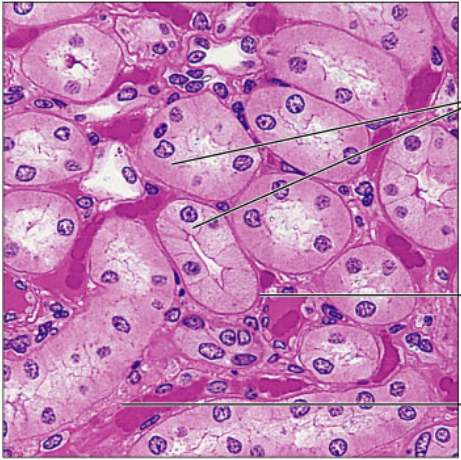
What is the name of this tissue?

simple cuboidal epithelial tissue

What is the name of this tissue?

connective tissue proper: loose areolar connective tissue

What is the name of this tissue?

simple squamous epithelial tissue

What is the name of this tissue?

cartilage: hyaline

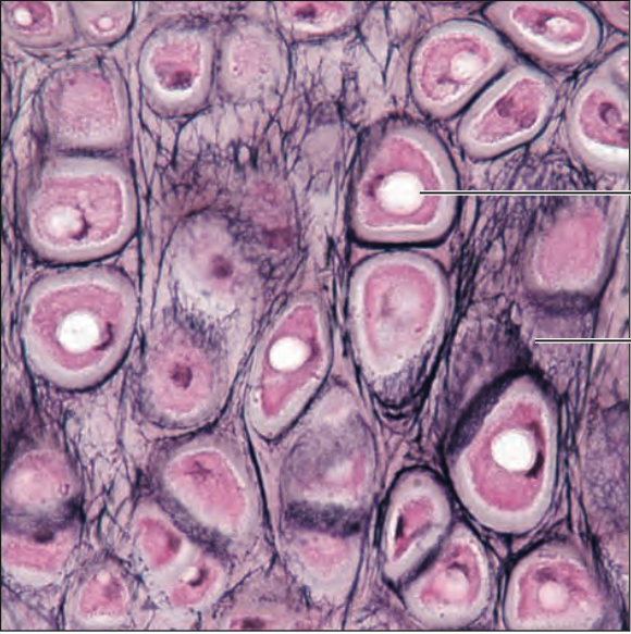
What is the name of this tissue?

cartilage: elastic

What is the name of this tissue?

neuron

What is the name of this tissue?

smooth muscle tissue

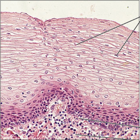
What is the name of this tissue?

stratified squamous epithelial tissue

What is the name of this tissue?

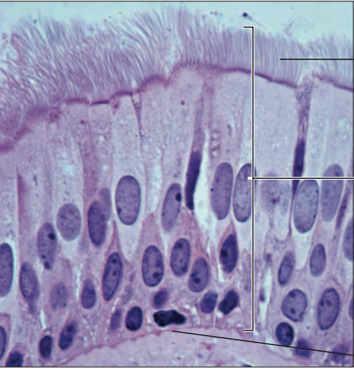
pseudostratified columnar epithelial tissue

What is the name of this tissue?

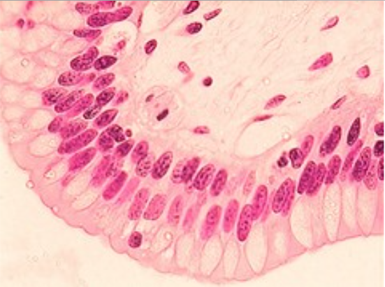
stratified columnar epithelial tissue

What is the name of this tissue?

stratified columnar epithelial tissue
