What is the name of this tissue?

pseudostratified columnar epithelial tissue

What is the name of this tissue?

connective tissue proper: loose areolar tissue

What is the name of this tissue?

connective tissue proper: loose adipose tissue

What is the name of this tissue?

connective tissue proper: loose reticular tissue

What is the name of this tissue?

connective tissue proper: dense regular tissue

What is the name of this tissue?

connective tissue proper: dense irregular tissue

What is the name of this tissue?

connective tissue proper: fibrocartilage

What is the name of this tissue?

connective tissue proper: elastic cartilage

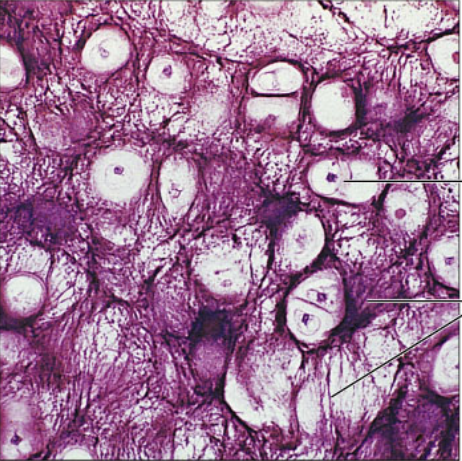
What is the name of this tissue?

connective tissue proper: hyaline cartilage

What is the name of this tissue?

connective tissue specialized: ground bone

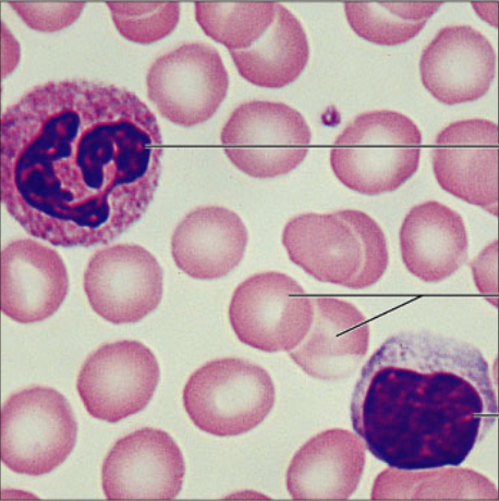
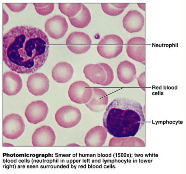
What is the name of this tissue?

connective tissue specialized: blood

What is the name of this tissue?

smooth muscle tissue
