Where is this tissue found?

connective tissue proper: dense irregular tissue is found in the dermis of the skin, submucosa of digestive tract, and fibrous capsules of organs and of joints

Where is this tissue found?

connective tissue proper: dense regular tissue is found in tendons, most ligaments, and aponeuroses

Where is this tissue found?

connective tissue proper: fibrocartilage is found in intervertebral discs, pubic symphysis, and discs of knee joint

Where is this tissue found?

connective tissue proper: loose adipose tissue is found under the skin, around the kidneys and eyeballs, within the abdomen, and in breasts

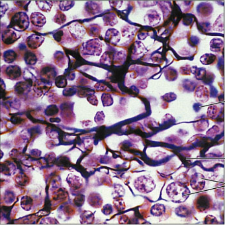
Where is this tissue found?

connective tissue proper: loose reticular tissue is found in lymphoid organs (lymph nodes, bone marrow, and spleen)

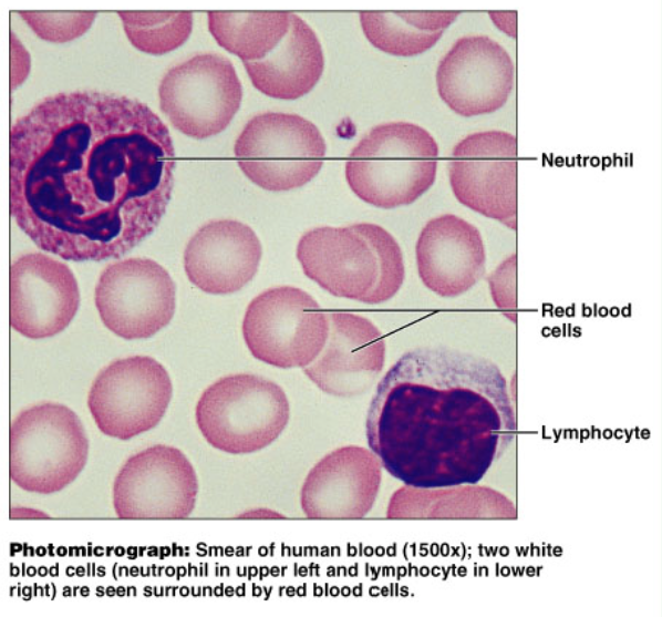
Where is this tissue found?

connective tissue specialized: blood is found in blood vessels

Where is this tissue found?

connective tissue proper: elastic cartilage is found the external ear and epiglottis

Where is this tissue found?

connective tissue proper: loose areolar surrounds the capillaries, and is widely distributed under the epithelia of the body

Where is this tissue found?

pseudostratifed columnar epithelial tissue is found in:

Where is this tissue found?

connective tissue specialized: ground bone is found in bones

Where is this tissue found?

connective tissue proper: dense elastic
Walls of large arteries; Within certain ligaments associated with the vertebral column; Within the walls of the bronchial tubes

Where is this tissue found?

connective tissue proper: hyaline cartilage is found the cartilages of the nose, trachea, and larynx; covers the ends of long bones in joint cavities; and forms most of the embryonic skeleton
