what age group are primary bone tumours common in
younger
what do bony lesions in older population usually relate to
metastases from epithelial malignancies
describe the pain that metastatic cancer affecting the bone produces
severe and usually worse at night systemic symptoms may present
when do 1y bone tumours present
late - tend to have already metastasised some have an ill defined bony swelling
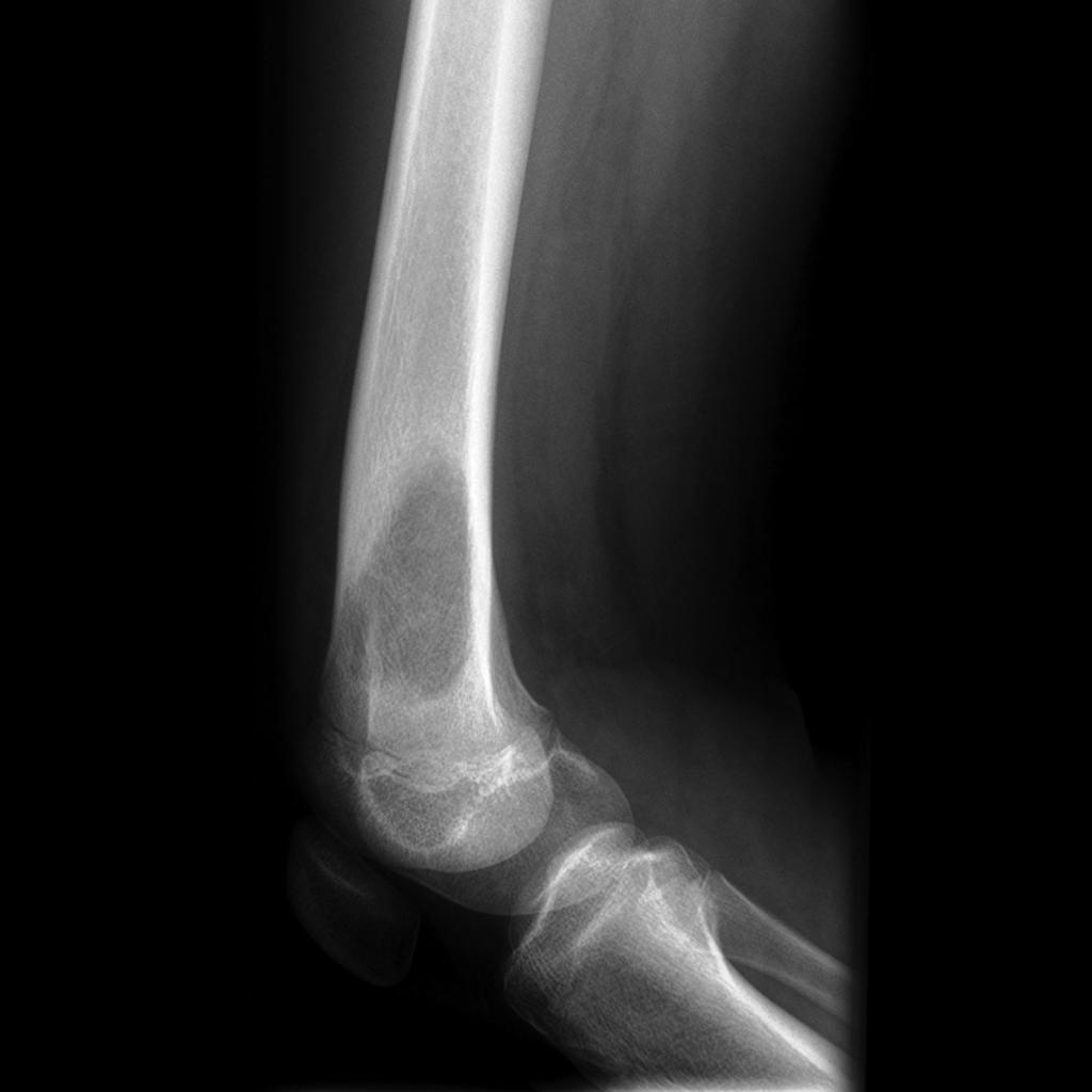
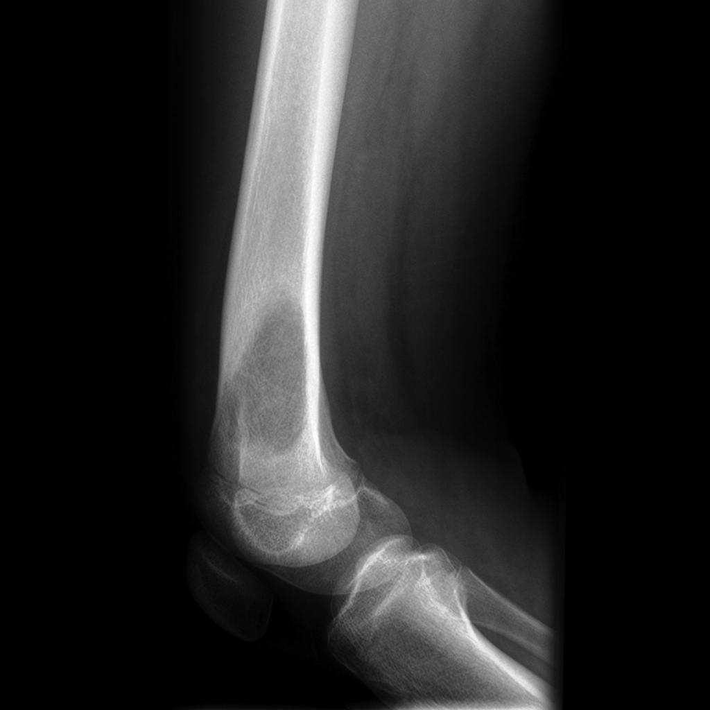
what is seen on X ray
cortical destruction, periosteal reaction, new bone formation and extension into surrounding soft tissue

what is a periosteal reaction
formation of new bone in response to periosteum (injury to)
most common form of primary bone tumour
osteosarcoma
what mutation are most osteosarcomas associated with
mutations in Retinoblastoma gene (tumour suppressor protein)
where do most osteosarcomas occur
60% bones around knee also proximal femur, proximal humerus and pelvis

what can prolong survival with osteosarcomas
chemotherapy
chondrosarcoma
cartilage producing primary bone tumour
what age group does chondrosarcoma tend to present in
older (45)
where do chondrosarcoma tend to occur
pelvis and proximal femur
describe the characteristics of chondrosarcoma
large and slow to metastasise compared to osteosarcomas which are fairly aggressive
what is the prognosis of chondrosarcoma dependent on
histological grade - majority low grade
what is the effect of radio and chemo therapy on chondrosarcoma
not effective
who is Ewings sarcoma most commonly seen in
teenagers , highly malignant
where do Ewings sarcomas tend to occur
along long bones
what is the radiological appearance of Ewings sarcoma
onion skin

what group do ewings sarcoma belong to
small round blue cell tumours - wide DD
what translocation is Ewings sarcoma associated with
t11:22 translocation involving EWS gene on chromosome 22
what CF is Ewings sarcoma assoicated with
fever, raised inflammatory markers and warm swelling (may be misdiagnosed as osteomyelitis)
is ewings sarcoma radio or chemo sensitive
both
outline the treatment of primary bone tumours
usually surgery to remove the tumour and surrounding tissue to prevent recurrence
amputations and limb salvage surgery also used