sero positive or negative
seropositive inflammatory arthropathy
define RA
symmetrical inflammatory arthritis affecting mainly the peripheral joints, which if untreated can lead to joint damage and irreversible deformities leading to loss of function
epidemiology
women>men. can occur in any age group. the prevalence is increased in smokers
aetiology
cause is unknown, potential triggers include smoking, infections and stress
is there a genetic predisposition
yes - HLA-DR4 mediated
pathology
immune response is initiated against the synovium which lines the synovial joints and some tendons.
inflammatory pannus forms and then attacks and denudes cartilage leading to joint destruction.
what joints in the spine are lined by synovium
C1 and C2
what phalangeal joint is not lined by synovium
DIP
what can happen to the tendons
can rupture and soft tissue damage can occur - joint instability and subluxation
what scoring system is used for diagnosis
ACR/EULAR
what is early RA defined as
less than 2 years since symptom onset
when is the therapeutic window of opportunity
first 3 months
clinical features
prolonged morning stiffness that improves with exercise
symmetrical synovitis (doughy swelling)
involvement of small joints of hands and feet

what is a compression test
positive for MCP and MTP
painful if joints are squeezed
what is it called when synovitis occusr in tendon sheath
tenosynovitis
name some more features of RA
tenosynovitis
trigger finger
carpal tunnel syndrome (compression of medial nerve by synovial tissue bilaterally)
polymyalgia rheumatica
what is palindromic rheumatism
RA that comes and goes, patient is fine between episodes
name 2 late features in aggressive/untreated disease
swan neck deformity
Boutonniere’s

describe the nodules that can be found as an extra articular manifestation
rheumatoid nodules found on extensor surfaces or areas of frequent mechanical irritation

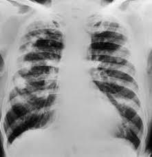
describe other organ features
lung - pleural effusions, interstitial fibrosis or pulmonary nodules
CVS morbidity and mortality increased
occular involvement
Caplan’s syndrome
rheumatoid arthritis and pneumoconiosis
combination of inhaled dust and disturbed immunity of RA that manifests as intrapulmonary nodules
occurs particularly in coal worker’s pneumoconiosis

auto antibodies
rheumatoid factor
anti-CCP
anti-CCP antibodies after treatment and associations
can remain positive despite treatment, also associated with current or previous smoking
inflammatory markers
CRP, ESR and PV normally raised