The majority of the pancreas (superior head, body, tail) are formed from which pancreatic bud?
The dorsal bud
What is it called when the two pancreatic buds do not fuse during development?
Pancreas divisum
What developmental anomaly of the pancras can cause small bowel obstruction, leading to gastric distension and vomiting?
Annular pancreas

Name three conditions that pancreas divisum can predispose a person to.
Name the causes of acute pancreatitis. Which ones are the most common?
GET SMASHED mnemonic
G: gallstones (called choledocholelithiasis if they’re in the common bile duct)
E: ethanol
T: trauma
S: steroids (corticosteroids)
M: mumps
A: autoimmune
S: scorpion stings (boards exams like this)
H: hypercalcemia (ex. from hyper-PTH) and hypertriglyceridemia
E: ERCP procedure
D: drugs
Gallstones and alcohol are the most common causes!

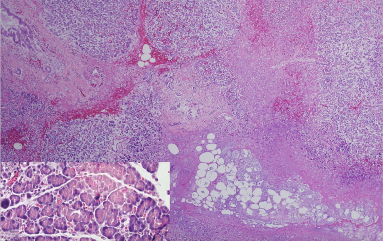
This is from the pancreas. What’s up wit it?

Fat necrosis and hemorrhage
Name the complications of acute pancreatitis.
ARDS, DIC, duodenal obstruction, pseudocyst formation (if rupture -> hemorrhage), abscess formation, hypocalcemia

Are the structural changes in the pancreas due to chronic pancreatitis reversible? Name some complications of chronic pancreatitis.
Not reversible. Complications include pseudocyst formation, duct obstruction -> malabsorption and steatorrhea, secondary diabetes from islet cell destruction
What is the #1 cause of chronic pancreatitis?
Alcohol abuse
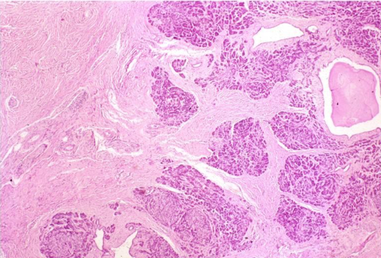
This is a pancreas. Do you think this is a case or acute, or chronic pancreatitis?

Chronic, there is a ton of scarring!
What type of cancer is chronic pancreatitis a risk factor for?
Pancreatic carcinoma (most are adenocarcinomas)
Your patient suffers from recurrent duodenal ulcers and on CT scan you see a pancreatic mass. Name a syndrome that could possibly be responsible for this.
Zollinger-Ellison Syndrome
