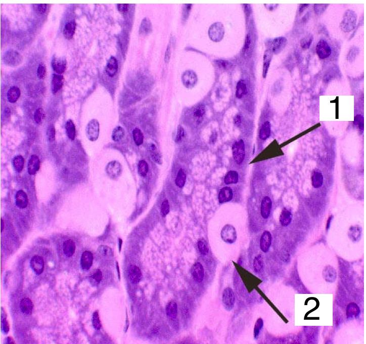
Which one is a chief cell and which one is a parietal cell?

Chief cells are purple, parietal cells are pink

Why are parietal cells pink?
They have a lot of mitochondria to power the H+/K+ ATPase for acid secretion.
What are the products of parietal cells?
Acid, intrinsic factor
What do chief cells make?
Pepsinogen
Name three things that can cause acute gastritis.
Chronic gastritis caused by autoimmune disease can also lead to what two sequelae due to destruction of parietal cells?
Megaloblastic anemia (no B12 cuz of no IF) and achlorhydria (no HCl)
Name four shitty things that H. pylori can cause.
What can be seen histologically from a biopsy in a patient with H. pylori?

What are the two types of gastric adenocarcinoma? Describe their associations and characteristics.
Intestinal type - associated with H. pylori, chronic gastritis, and dietary nitrosamines (in smoked meats)
Diffuse Linitis Plastica type - not associated w/ H. pylori; signet ring cells are characteristic; makes the stomach like a leather bag
An older patient presents for routine check-up and you note an enlarged left supraclavicular lymph node. What is this node called and what are you concerned about?
Virchow’s node - possible sign of gastric adenocarcinoma
Other than a Virchow’s node, what are two other common sites of metastasis of gastric adenocarcinoma?
Subcutaneous periumbilical metastasis –> Sister Mary Joseph’s nodule
Metastasis to ovaries –> Krukenberg tumor
Gastrointestinal stromal tumors (GIST) originate from _________ cells of ______, which are involved in peristalsis. They often have mutations in ______.
originate from interstitial cells of Cajal; often have C-kit mutations.